АКЦІЇ! ПЕРЕГЛЯНУТИ ПОВНИЙ ПЕРЕЛІК ДОСТУПНИХ ПРОПОЗИЦІЙ МОЖНА ТУТ
РАЗОМ,
НОВИЙ ПІДХІД
ДО ІНТЕРВЕНЦІЙ.
Ця ангіографічна система з кріпленням на стелі спеціально розроблена для використання в операційній кімнаті. С-арка інтегрується з операційним столом та встановлюється в операційній.
С-арка оснащується новим плоским детектором для високоякісних зображень в режимі скопії та графії.
Питання для розгляду. Запитання, які виникають.
Створення (запуск) гібридної операційної це набагато більше, ніж встановлення ангіографічної системи в операційну кімнату. У більшості випадків, запуск справжньої гібридної операційної – це найскладніша задача, яка зустрічається при проектуванні госпіталю. Для того, щоб все запрацювало, потрібно залучати численних медичних фахівців, щоб врахувати потреби кожної бригади та спеціалізації в одному приміщенні (кожен може мати своє бачення гібридної операційної та необхідної конфігурації):
Продумати:
Система зі стельовим кріпленням розроблена з урахуванням використання ламінарного потоку.

Широкі інтервали між стельовими рейками дозволяють забезпечити гігієнічні умови експлуатації.

Вибір розміру детектора:
30 x 40 см
Найкраще анатомічне покриття, для ангіографічних досліджень
Дуже компактний корпус
Синхронізоване обертання детектору і коліматора для відтворення прямого зображення на моніторі незалежно від кута повороту детектора
На корпусі детекторі розміщені додаткові кнопки для програмування зручних функцій:
Стандартні кнопки на кожному зі всіх розмірів детекторів відповідають за:
Вибір операційного столу:

Конфігуруються численні вкладки відповідно до потреб користувачів:
Операційний стіл Maquet Magnus (виробництво Getinge):
Основні характеристики в залежності від конфігурації:

Конфігуруються численні вкладки відповідно до потреб користувачів:
Операційний стіл TruSystem™ 7500 (виробництво Trumpf Medical):
- Ангіографічна дека столу (для ендоваскулярних втручань),
- Модульна хірургічна дека столу (для відкритих операцій);
Основні характеристики в залежності від конфігурації:
Система Alphenix Hybrid+ (в основі якої система Sky+) має унікальну конструкцію подвійної С-арки, завдяки цьому забезпечується:
Завдяки ізоцентричному обертанню система Alphenix Hybrid+ забезпечує неперевершений доступ та покриття навіть при найскладніших втручаннях. Подвійна конструкція С-арки з можливістю обертанням як справа, так і зліва від пацієнта з найбільшою швидкістю дозволяє скоротити час затримки дихання, зменшити кількість контрасту та отримати бездоганний 3D об'єм від голови до п’ят без необхідності переміщувати пацієнта:
Крім того, забезпечується:
Технології контролю та зменшення дози:
Технології, що включені у базову конфігурацію:
Оснащується системою гемодинамічних досліджень QMAPP®
Найбільш компактна, сучасна та вдосконалена система вимірювання гемодинаміки.
Простий у користуванні пристрій, що приєднується до ангіографу всього одним лише одним кабелем. Оснащується програмним забезпеченням, яке дійсно дозволяє зосередити увагу на своїх пацієнтах.
Програмне забезпечення:
Блок сигналів:
QMAPP забезпечує вимірювання:
Stent Enhancer* забезпечує візуалізацію стента за рахунок придушення анатомічних структур та фонового шуму.
Stent Mode забезпечує покращену візуалізацію стента в реальному часі без необхідності додаткової окремої обробки або післяобробки.
Multi-modality fusion*
Технологія 3D накладання об’єму 3D на «живе» флюороскопічне зображення. Можливе накладання як отриманого на ангіографі 3D об’єму, так і об’єму КТ/МРТ.
QCA* забезечує автоматичне виявлення контуру та аналіз області, що цікавить. Доступні різні методи калібрування, такі як по катетеру, по сфері та по відстані.
3D-QCA* виконує реконструкцію стенотично уражених коронарних артерій і дозволяє відображати кількісну інформацію поперечного перерізу. Можливий як, односегментний аналіз, так і аналіз біфуркації.
* опційно
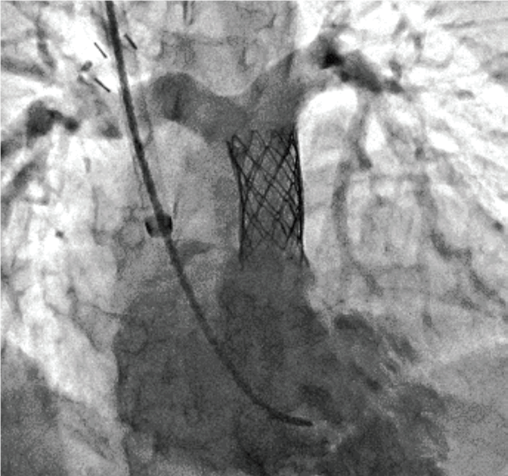
CAAS vFFR (судинний фракційний резервний кровотік, так званий віртуальний) обчислює падіння тиску в коронарних судинах без необхідності використання провідника з датчиком тиску. Модуль vFFR будує 3D-реконструкцію на основі двох ангіографій і оцінює падіння тиску, в результаті чого отримує значення vFFR. Крім того, 3D-реконструкція дозволить оцінити ступінь тяжкості та відсоток стенозу.
Інформація про функціональне ураження:
Інформація про анатомічне ураження:
Переваги:
Програмне забезпечення MM Roadmap (або Multi-modality fusion) забезпечує додаткову інформацію завдяки 3D-візуалізації судинної анатомії, що успішно використовується при плануванні та навігації транскатетерної заміни клапану для лікування вроджених вад серця.
MM Roadmap дозволяє суміщувати 2D-флюороскопічні зображення з раніше отриманим 3D-об’ємом. Це може бути КТ або МРТ об’єм при чому незалежно від виробника сканера, або з ангіографічної системи Canon.
Суміщене зображення на моніторі змінюватиметься синхронно в залежності від нахилу С-арки, зміни SID, поля огляду, висоти та положення деки столу.
Можливість використання програмного забезпечення MM Roadmap під час складних втручань допомогає скоротити тривалість опромінення та об’єм введеної контрастної речовини..
МРТ зображення
Ангіографія
Режим Multimodality Roadmap
Встановлення стенту
Встановлення клапану Melody®
Контрольна ангіографія
Завдяки маркерам співставляють МРТ об’єм зі скопічним зображенням.
Для точного співставлення використовують рентген зображення в прямій та боковій проекціях.
3D анатомія використовується як дорожня карта (так зв. Roadmap)
Накладений 3D об‘єм полегшує маніпуляцію катетером через складну анатомію пацієнта, допомогає точно розташувати стент і клапан легеневої артерії.
Програмне забезпечення AlphaCT для КТ-подібних зображень
Доповненням до 3D зображення є функція КТ-подібних зображень (так зв. Cone-beam CT), яка є інформативної для відображення областей з низьким контрастом, судин з різною густиною, а також стентів і катетерів, наприклад, контролю кровотечі під час нейро інтервенційної процедури або емболізації судин черевної порожнини.
Режим Dynamic trace
Dynamic trace – режим дослідження кінцівок, передбачає рух деки столу за напрямком поширення контрастної речовини по периферичних судинах в режимі рентгенографії.
Програмне забезпечення Parametric Imaging
Використовується для візуальної оцінки і аналізу функціональності кровообігу. Параметричне зображення показує всю послідовність зображень у вигляді одного складеного зображення, яке характеризує динаміку контрастної речовини та полегшує візуальну оцінку. Крива залежності інтенсивності від часу аналізується для кожного окремого пікселя.
Для покращення розуміння кровотоку в судинах можливим є створення відео за рахунок пересування по кольоровій шкалі (Color Coded Circulation (CCC).
Програмне забезпечення для планування ендоваскулярного стентування аорти (EVAR)
Програмне забезпечення 3D реконструкції
В основу покладена робота в режимі 3D DA або 3D DSA. Зйомку можна виконувати як з операційної, так і з пультової кімнати для зменшення дози на персонал, зі швидкістю обертання С-арки до 50°/с.
Численні режими візуалізації та реконструкції:
Програмне забезпечення 3D Roadmap
Флюороскопія в реальному масштабі часу накладається на об’ємні 3D зображення, що були отримані під час 3D ангіографії. При русі столу під час роботи в режимі 3D Roadmap автоматично відбувається співставлення зображення 3D та флюороскопічного. Всі рухи системи пов’язані з накладанням 3D об’єму та скопічних зображень, включаючи зміну кута нахилу С-арки, SID, розміру поля огляду, висоти позиціонування столу. Можливим є зсув попіксельно вручну для більш точного співставлення об’єму та флюоро.
Режим Spot Fluoro
Режим Spot Fluoro передбачає асиметричну, сфокусовану на проблемній ділянці колімацію з одночасним відображенням оточуючої області та збереженням дози до 70%.
При цьому навколо ROI (область інтересу) знаходиться останнє збережене зображення (LIH). Таким чином знижується доза опромінення на пацієнта та розсіяне випромінювання на персонал, що буде особливо необхідним при довготривалих дослідженнях.
Програмне забезпечення MM Roadmap
3D об’єм, отриманий з КТ або МРТ (будь-якого виробника мед.обладнання) та скопічне зображення можуть бути автоматично (або вручну) накладені та виведені на монітор. Зображення на моніторі змінюватиметься синхронно в залежності від нахилу С-арки, зміни SID, поля огляду, висоти та положення деки столу.