АКЦІЇ! ПЕРЕГЛЯНУТИ ПОВНИЙ ПЕРЕЛІК ДОСТУПНИХ ПРОПОЗИЦІЙ МОЖНА ТУТ
УЗД апарат Canon Medical Systems Aplio beyond
Під замовлення
Стан: новий
Виробник: Canon Medical Systems (Японія)
Гарантія: 12 місяців
Сервісний супровід: гарантійний та післягарантійний
Умови оплати
Доставка
Очікуйте більшого. Досягайте кращого.
Для отримання надійних та високоефективних результатів у вирішенні широкого спектру клінічних завдань обирайте Aplio beyond. Наповнений інтуїтивно зрозумілими інструментами на основі штучного інтелекту як для рутинної, так і для спеціалізованої візуалізації, а також для точних втручань, Aplio beyond забезпечує виняткову діагностичну точність і максимальну продуктивність, що дозволить вам забезпечити лікування за найвищими стандартами.
Продуктивність
Краща діагностика починається тут
iBeam+
Особливі технології обробки зображень Aplio можуть допомогти покращити якість зображення шляхом зменшення шумів, посилення сигналу та покращення візуалізації.
Система обробки зображень iBeam+ використовує вдосконалену обробку сигналів для більш точного й гнучкого керування ультразвуковими променями, що робить зображення більш глибоким і чітким.
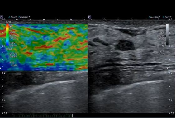
Precision+ Режим точної обробки
Precision+ відомий своєю видатною продуктивністю у створенні однорідних зображень із чіткими контурами, покращеною рівномірністю зображення та зменшенням артефактів. Новий режим Fine Processing Aplio beyond забезпечує ще чистіші зображення з більш чіткими контурами.
Програми з підтримкою ШІ
Спрощуйте процеси, підвищуйте ефективність.
Зі збільшенням робочого навантаження, нижчою компенсацією та зосередженістю на послідовності обстежень і результатах пацієнтів медичні працівники стикаються з дедалі більшим навантаженням. Aplio beyond пропонує різноманітні інструменти анатомічної обізнаності, робочого процесу та підтримки прийняття рішень, які можуть допомогти оптимізувати ваші клінічні робочі процеси та підвищити діагностичну впевненість у широкому діапазоні застосувань.
Інтелектуальні алгоритми можуть допомогти виявити анатомічні структури, такі як ворітна вена, що покращує робочий процес шляхом ідентифікації анатомічних маркерів за допомогою автоматизованої реєстрації при комплексному застосуванні досліджень.
Індикації в акушерстві з підтримкою алгоритму глибокого навчання* допомагають ідентифікувати стандартні анатомічні структури для пришвидшення робочого процесу та посилення рівномірності результатів обстеження.
Автоматизоване відстеження та
підтримка вимірювань за допомогою ШІ може допомогти покращити послідовність
і ефективність робочого процесу в широкому діапазоні застосувань.
Автоматизовані інструменти вимірювання та аналізу з підтримкою штучного інтелекту можуть допомогти підвищити точність, послідовність і швидкість досліджень. За допомогою Auto GLS (Quick Strain) комплексна оцінка лівого шлуночка або іншої камери серця, включаючи фракцію викиду та глобальну поздовжню деформацію, досягається простим вибором відповідного зображення.
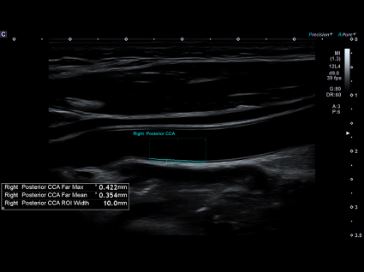
Автоматичне вимірювання комплексу інтима-медіа Auto IMT допомагає підвищити як точність, так і швидкість допплерівських досліджень сонної артерії.
Клінічні зображення
Ультра широкий огляд печінки та нирок надає більше інформації в одній площині.
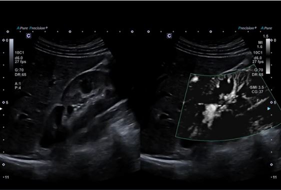
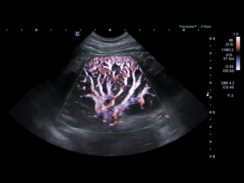
Технологія візуалізації мікропотоків (SMI) відображає кровотоки низької швидкості у нирці.
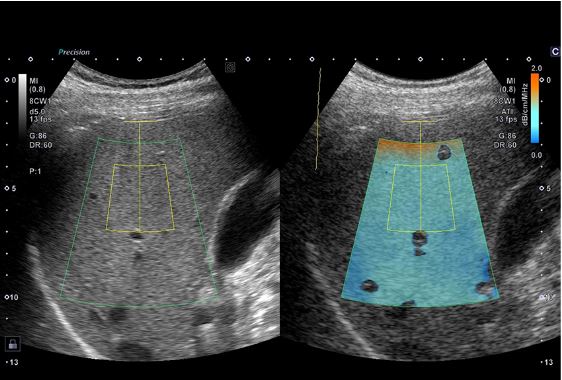
Технологія Attenuation Imaging (ATI) – кількісна оцінка стеатозу печінки, візуально показує ослаблення ультразвуку в печінці.
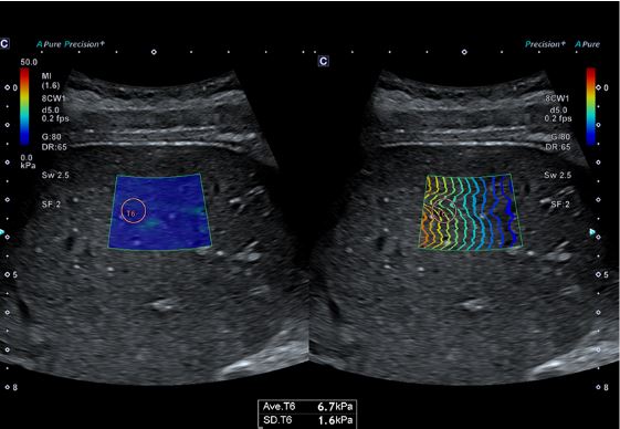
Еластографія зсувної хвилі (SWE) візуалізує швидкість зсувної хвилі та еластичність тканини для аналізу фіброзу печінки.
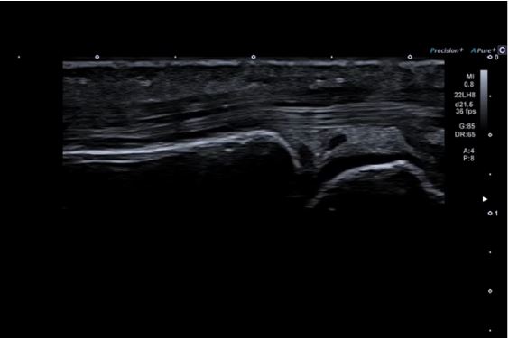
Високочастотний датчик-ключка 22MHz забезпечує деталізацію високої роздільної здатності при дослідженні п'ястно-фалангового суглоба.
Однорідність структури щитовидної залози демонструється за допомогою лінійного датчика PLU-805BT.
Нова вдосконалена технологія компресійної елестографії Strain Elastography забезпечує покращену часову та просторову роздільну здатність, високу відтворюваність і дозволяє вибирати ROI навіть після замороження кадру.
Smart Body Mark відстежує та відображає шлях сканування датчика, підтверджуючи, що охоплена потрібна область сканування для прискорення часу обстеження.
3D MPR зображення матки в трьох площинах з високою роздільною здатністю дозволяє клініцистам оцінити порожнину матки.
Технологія Advanced Dynamic Flow (ADF) підтримує просторову та часову роздільну здатність за допомогою короткоімпульсної доплерівської візуалізації, що забезпечує гемодинамічну оцінку серця плода з високою роздільною здатністю.
Удосконалені інструменти візуалізації, такі як 3D/4D luminance додають обличчю плода реалістичного вигляду.
Автоматичне допплерівське стеження спрощує робочий процес за допомогою імпульсно-хвильових допплерівських (PWD) вимірювань.
Висока частота кадрів підтримується за допомогою SMI відображаючи перфузію в нирці при використанні мікроконвексного датчика.
Вигляд 2D LV PLAX. Кольоровий допплер з високою чутливістю може забезпечити чітку візуалізацію аортальної регургітації.
Стійкість
Інновації для здоровішого майбутнього
У Canon ми сприяємо прогресу в галузі охорони здоров’я за допомогою ефективних, стійких рішень, які сприяють кращим результатам ведення пацієнтів і покращенню доступу до якісної медичної допомоги. Ми постійно вдосконалюємо наші процеси виробництва, щоб мінімізувати вплив на навколишнє середовище та максимізувати корисність і довговічність нашої продукції протягом її життєвого циклу.
Дизайн і виготовлення
Aplio beyond це багатоцільова система зі стабільно високою продуктивністю в широкому діапазоні клінічних застосувань. Завдяки понад 30 датчикам і багатьом доступним опціям систему можна налаштувати відповідно до ваших потреб зараз і в майбутньому.
Упаковка і доставка
Екологічне пакування та транспортування є невід’ємною частиною нашого зобов’язання відповідальності поставок. Ми зменшили вагу упаковки на 45%, відмовившись від використання дерева та металу, гарантуючи, що всі матеріали повністю розділяються та переробляються. Крім того, ми надаємо пріоритет транспортуванню залізничним, автомобільним і морським транспортом, щоб мінімізувати вплив на навколишнє середовище в нашому ланцюзі поставок.
Щоденне використання
Значна частка сукупного енергоспоживання пристроїв для діагностики зображень накопичується при скануванні пацієнтів. Ось чому ми розробили Aplio beyond щоб він був особливо енергоефективним у режимах використання та очікування. Короткий час завантаження та додатковий вбудований акумулятор забезпечують швидку роботу з мінімальною затримкою.
Навчання та освіта
Canon Medical Academy світового рівня, розташовані по всьому світу, забезпечують виїзне та віртуальне навчання клініцистів, біомедичних інженерів і технологів, допомагаючи вам використовувати обладнання в повній мірі.
Сервіс і підтримка
Інструменти віддаленого обслуговування Canon можуть не лише допомогти вам підтримувати оновлення системи. У малоймовірному випадку проблеми з обслуговуванням ми можемо надати допомогу дистанційно або діагностувати проблеми, гарантуючи прибуття інженерів підготовленими, що може заощадити час, гроші та зменшити вплив на навколишнє середовище.
Міцність і довговічність
Системи медичної обробки зображень Canon забезпечують високу якість роботи навіть після відновлення. Наша програма відновлення SecondLife відповідає IEC63077 і може допомогти продовжити термін служби дозволяючи купувати або продавати високоякісне вживане обладнання. Крім того, більшість матеріалів, які використовуються в наших продуктах, підлягають повторній переробці після закінчення життєвого циклу.
*Порівняно з Aplio i-серією
Дизайн та ергономіка
Оновіть своє робоче місце.
Дизайн Aplio допомагає зручніше сканувати та підвищити вашу продуктивність у рутинних щоденних завданнях, а також і при більш складних випадках. Системна консоль Aplio регулюється для використання сидячи або стоячи та легко адаптується до різних користувачів. Плаваюча панель системи дозволяє добре вирівняти лікоть, зап’ястя та трекбол у ергономічно надійному та зручному для пацієнта положенні.
Створіть своє ідеальне робоче місце, насолоджуйтесь необмеженою мобільністю.
Aplio beyond маленький і легкий, маневрений, простий у налаштуванні, ергономічній і надійний для широкого діапазону сканувань. Завдяки широкому спектру варіантів позиціонування систему можна швидко налаштувати, щоб забезпечити зручне, орієнтоване на пацієнта положення сканування.
Робота з Aplio beyond особливо спокійна та приємна. При високій продуктивності робочого процесу та візуалізації система працює безшумно, що створює заспокійливу атмосферу під час обстеження.
Віддалене з’єднання
Підключайтеся, співпрацюйте та спілкуйтеся
Оснащений комплексним набором інтуїтивно зрозумілих параметрів документування, зберігання, постобробки та віддаленого зв’язку, Aplio beyond допомагає зберегти продуктивність і ефективність робочого процесу.
Віддалене приєднання
Потрібна порада експерта? Або бажаєте поділитись знахідками з колегами?
Опція ApliGate - рішення, з яким можна безпечно взаємодіяти прямо з робочого місця.
Хмарні сервіси
Опція системи Tricefy™* надає прямий доступ до хмарного зв’язку, керування зображеннями та документівання. За допомогою Tricefy ви можете миттєво ділитися медичними зображеннями та звітами з направляючими лікарями та пацієнтами.
*Tricefy є торговою маркою Trice Imaging, Inc.
* Потрібна додаткова підписка третьої сторони та може бути доступною не в усіх регіонах.
Віддалена підтримка
Підключення Aplio до віддаленої підтримки Canon InnerVision просте, безпечне та надає вам масу переваг, якими ви зможете насолоджуватися безпосередньо у своїй системі.
Інтервенційне втручання
Завдяки спеціальним інструментам візуалізації та навігації Aplio також можна інтегрувати з інтервенційними рішеннями, такими як Alphenix 4D CT, щоб підвищити впевненість і точність інтервенційних процедур і подальшого спостереження.
Датчики Aplio beyond характеризуються чудовою клінічною універсальністю, ергономічною формою та тонкими гнучкими кабелями. Вони забезпечують високоякісне зображення та відповідають широкому спектру клінічних цілей.
Конвексний датчик PVU-475BTW (8CW1)
Монокристалічний конвексний датчик забезпечує зображення високої роздільної здатності для абдомінальних досліджень. Висока щільність елементів у поєднанні з iBeam+ забезпечує ультрашироке поле огляду 140°, яке наразі доступне лише для Aplio i-серії.
Конвексний датчик PVU-574BT (10C1)
Високочастотний монокристалічний конвексний датчик забезпечує високу просторову роздільну здатність і проникнення для підвищення клінічної впевненості в акушерських, неонатальних та інших дослідженнях.
Лінійний датчик PLU-1204BX (18LX7)
Високочастотний матричний лінійний датчик забезпечує виняткову чіткість деталей. На додаток до центрального маркера, він забезпечує лінії кожні 5 мм, щоб допомогти в точному позиціонуванні під час виконання клінічних процедур.
Секторний датчик PSU-28BT (6S1)
Широкосмуговий монокристалічний секторний датчик забезпечує вищу чутливість і роздільну здатність, завдяки чому ви отримуєте чіткі зображення, які допоможуть підвищити клінічну впевненість під час обстеження серця. Крім того, він має спеціально розроблений дизайн конструкції для полегшення тривалого сканування.