АКЦІЇ! ПЕРЕГЛЯНУТИ ПОВНИЙ ПЕРЕЛІК ДОСТУПНИХ ПРОПОЗИЦІЙ МОЖНА ТУТ
Комп'ютерний томограф Canon Medical Systems Aquilion Exceed LB
Під замовлення
Стан: новий
Виробник: Canon Medical Systems (Японія)
Гарантія: 12 місяців
Сервісний супровід: гарантійний та післягарантійний
Умови оплати
Доставка
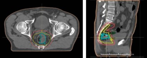
За останні роки поширеність онкологічних захворювань різко зростає, точне планування променевої терапії відіграє ключову роль в лікуванні онкопатології. Представляємо абсолютно новий Aquilion Exceed LB.
Технічні характеристики:
Відео
ПЕРЕДОВЕ РІШЕННЯ ДЛЯ РАДІАЦІЙНОЇ ОНКОЛОГІЇ
Завдяки великій апертурі гентрі Aquilion Exceed LB дозволяє легко позиціонувати пацієнтів з винятковою точністю. Потужні технології візуалізації на основі штучного інтелекту та передові функції, що враховують особливості лікування, дозволяють ефективно організувати робочий процес у галузі радіаційної онкології без шкоди для пацієнта, якості зображення та клінічної цінності.
Комплексна ідентифікація цілей і контурування органів з злоякісними новоутвореннями є ключовим для успішного проведення променевої терапії. З огляду на це Aquilion Exceed LB дозволяє виконанувати високоякісні КТ-дослідження з низькими дозами, які забезпечують чітке уявлення про локалізацію пухлин і дозволяє оптимізувати моделювання точного положення для високоточного планування терапії.
СУЧАСНІ ТЕХНОЛОГІЇ ЗНИЖЕННЯ ДОЗИ ТА ПОКРАЩЕННЯ ЯКОСТІ ЗОБРАЖЕННЯ:

ПЕРЕДОВІ ТЕХНОЛОГІЇ ВІЗУАЛІЗАЦІЇ
Видалення артефактів від металу – стандартно для всіх досліджень
SEMAR™ (Single Energy Metal Artifact Reduction) – технологія зниження артефактів від металу з одним енергетичним рівнем є новітнім доповненням до набору адаптивних діагностичних технологій.
Цей складний алгоритм дозволяє практично виключити металеві артефакти, поліпшуючи візуалізацію імплантів в кістках і прилеглих м'яких тканинах для безпомилкової і впевненої постановки діагнозу.
На відміну від двохенергетичного сканування, Вам не потрібно заздалегідь планувати дослідження, Ви завжди можете зробити реконструкцію із застосуванням технології SEMAR™ після дослідження пацієнта, при необхідності.
Технологія детектора PUREViSION покращує світловіддачу на 40%, що дозволяє більш ефективно використовувати фотони. 80-рядний детектор має повністю ізотропний елемент детектора, що забезпечує отримання зрізів товщиною всього 0,5 мм.
Нова технологія PUREViSION Optics забезпечує значне покращення ефективності зображення від генерації фотонів до детектування. Оптимізований спектр променя у поєднанні з більш ефективним детектором забезпечує кращий баланс між якістю зображення та дозою. Фільтри, що формують особливу форму променів, забезпечують оптимізований спектр рентгенівського випромінювання та більш однорідний розподіл по пацієнту, що покращує детектування досліджень з низькою контрастністю на 20%.
Області застосування:
Режим сканування – SURESubtraction
Унікальний режим субтракційного сканування автоматично синхронізує збір даних і параметри реконструкції для пре- і постконтрастного сканування.
Техніка КТ субтракції потребує безконтрастне (натив) зображення - «маску» для субтракції, зібрану за допомогою низькодозового сканування та контрастне дослідження.
В результаті ми отримуємо ідеальне зображення судин без кісткових структур, кальцинатів або стентів.
Спектральний аналіз сканування з різними енергіями
За допомогою спеціального програмного забезпечення для аналізу Spectral Analysis, встановленого на робочій станції Vitrea, можливий більш складний аналіз, такий як вимір ефективного атомного номера і електронної щільності, автоматичне створення віртуальних монохроматичних зображень та йодних карт.
Автоматична субтракція для отримання йодної карти легень – SURESubtraction Lung*
Дозволяє визначити розподіл накопичення йоду в паренхімі легенів для оцінки периферичного дефекту контрастування при хронічній ТЕЛА. Легенева КTA є широко розповсюдженим обстеженням для оцінки пацієнтів з підозрою на легеневу емболію. Проте, виявлення невеликої або субсегментарної емболії може бути ускладнене або неможливе. Субтракція дає можливість створити йодну карту паренхіми легень з високим співвідношенням контрасту до шуму. Використання кодування кольором дозволяє легко визначити області гіпоперфузії в легенях, підвищуючи реальну діагностичну цінність у хворих з прихованою емболією.
Так як тромбоемболія легеневої артерії пов'язана зі значним ризиком для життя пацієнтів, прогноз залежить від правильно і вчасно поставленого діагнозу і лікування.
Спектральний аналіз сканування з різними енергіями
За допомогою спеціального програмного забезпечення для аналізу Spectral Analysis, встановленого на робочій станції Vitrea, можливий більш складний аналіз, такий як вимір ефективного атомного номера і електронної щільності, автоматичне створення віртуальних монохроматичних зображень та йодних карт.
Автоматична субтракція для кісток – SURESubtraction Ortho*
Алгоритм SURESubtraction для кісток використовує динамічну реєстрацію з високою роздільною здатністю, щоб забезпечити точну субтракцію скелетних структур і кальцифікованих бляшок. Цей алгоритм створений для роботи з великим обсягом даних і складних обчислень. Зображення незамінні для судинних хірургів при виконанні планування лікування.
Ця програма також успішно використовується для ідентифікації посилення в межах коркової і мозкової речовини кісток як в статичних, так і в динамічних перфузійних дослідженнях. КТ з субтракцією може чітко візуалізувати кісткові метастази і інвазію первинної пухлини з більш високою роздільною здатністю, ніж ПЕТ / ОФЕКТ або МРТ.
SUREFluoro™ – режим КТ-флюороскопії*
Завдяки повністю автоматизованій КТ-флюороскопії, SUREFluoro™ покращує точність дослідження та прискорює пропускну здатність пацієнтів при проведенні інтервенційних процедур.
Автоматизоване інтервенційне КТ керування:
Дозволяє проводити пункції і біопсії під контролем КТ. У комплект входить монітор на стійці і спеціальний пульт управління, що дозволяють проводити маніпуляції біля столу пацієнта
Новий варіабельний Helical Pparameters з трьома фазами сканування* (vHP3)
Можливість проведення дослідження з різними параметрами для різних анатомічних зон. Наприклад, при політравмі - сканування шиї з детальними параметрами, потім зі стандартними та синхронізацією з ЕКГ, і з низькодозовими абдомінальну область і таз. Дозволяє знизити дозу на пацієнта, прискорити сканування і заощадити контраст.
Оцінка перфузії головного мозку
За допомогою динамічного сканування та спеціального програмного забезпечення, можна проводити оцінку перфузії головного мозку. Розрахунок карт перфузії для регіонарного мозкового кровотоку, регіонарного мозкового об'єму крові, середнього часу кровотоку, часу досягнення максимального значення і затримки перфузії, що допомагає лікарям визначити наявність гострих церебральних інфарктів в тканини мозку при гострому інсульті.
Dynamic Volume CT – 4D рух суглобів
КТ дослідження в динаміці дає клініцистам детальну інформацію про кістки та суглоби під час руху.