Інформаційні технології в сфері

охорони здоров'я

Програмні пакети Vitrea


КАРДІОЛОГІЧНІ ПАКЕТИ

ОНКОЛОГІЧНІ ПАКЕТИ

НЕВРОЛОГІЧНІ ПАКЕТИ


CT Cardiac Analysis* дає змогу клініцистам визначити наявність та ступінь обструктивної хвороби коронарних артерій за допомогою зображення в різних видах. Інтерфейс та автоматизовані інструменти допомагають ефективно аналізувати коронарні артерії. 

Ключові переваги:

  • Упорядкований робочий процес з автоматичним позначенням коронарних артерій та оптимізованими вікнами перегляду, такими як об'ємна візуалізація, MIP, MPR, криві та прямі види MPR
  • SUREPlaque™** інструмент допомагає клініцистам в оцінці характеристик всередині кровоносних судин:

- Кількісна оцінка бляшок та неінвазивне коронарне ремоделювання

- Візуалізація анатомії та ступеню враження коронарних судин

- Характеристика м’яких та твердих бляшок і відповідне позначення їх різними кольорами.

  • Можливості повного дослідження судин для аналізу коронарних артерій, включаючи інструменти: Lesion Tool, Vessel Walk та Cath View
  • Класифікація основних висновків для звітності про кардіологічні процеси

Функціональний аналіз серця (CT Cardiac Functional Analysis (CFA)) використовує КТ зображення серця та допомагає кардіологам і радіологам оцінити функцію лівого шлуночка. Клініцисти зможуть переглядати серцеві фази в динаміці та отримати автоматично обчислені результати.

Ключові переваги:

  • Автоматичний розрахунок регіональних показників, включаючи: рух стінки; відсоток потовщення стінок, фракція викиду; і полярні карти з живою 3D-візуалізацією серця
  • Автоматична сегментація серця, лівого шлуночка та міокарда в різних фазах
  • Автоматична калькуляція загальних показників, включаючи:
  • кінцевий діастолічний об'єм, кінцевий систолічний об'єм, об'єм інсульту, фракція викиду, серцевий викид, серцевий індекс, індекс інсульту та маса міокарда
  • Коротка вісь, довга вісь та вигляд чотирьох камер серця
  • Ключові висновки для консолідованої звітності всіх серцевих процесів

Пакет EP Planning створений для аналізу та оцінки лівого передсердя і легеневих вен. Він пропонує оптимізовані 2D та 3D перегляди з інструментами для діагностики й експорту 3D-моделей.

Ключові переваги:

  • Автоматична сегментація лівого передсердя та легеневої вени
  • Автоматичні межі центральної лінії та стінок судини з 3D-реконструкцією для візуалізації та вимірювання устя легеневої вени
  • Можливість експорту результатів у файл STL
  • Експорт 3D-моделі в систему навігації та картування EP (EnSiteTM)

Пакет CT Multi-Chamber CFA використовує КТ зображення серця в різних фазах і допомагає кардіологам та рентгенологам оцінювати серцеву функцію окремих камер серця. Це дозволяє візуалізувати биття серця. КТ Multi-Chamber CFA обчислює функціональні показники такі як: індекс інсульту, обсяг інсульту, фракція викиду та серцевий викид.

Ключові переваги:

  • Напівавтоматична сегментація лівого передсердя (LA), правого шлуночка (RV), лівого шлуночка (LV) та міокарда, включаючи ідентифікацію довгих осі та меж мітрального клапана в декількох фазах.
  • Автоматичний розрахунок кінцевого діастолічного об'єму RV / LV (EDV), кінцевого систолічного об'єму (ESV), обсягу інсульту (SV), серцевого викиду (CO), 3-точки LA, фракції регургітації LV / RV, серцевого індексу та маси міокарда
  • Розрахунок регіональних показників, включаючи рух стінки, відсоток потовщення стінки, регіональну фракцію викиду та полярні ділянки
  • Основна класифікація результатів консолідованої звітності про серцеві процеси

Пакет Myocardial Perfusion дозволяє візуалізувати та аналізувати дефіцит перфузії в міокарді. Напівавтоматична сегментація та реєстрація сприяє доступному та спрощеному робочому процесу

Ключові переваги:

  • Напівавтоматична сегментація камер серця та міокарда
  • Якісні вимірювання, включаючи масу міокарда, об'єм міокарда та щільність в одиницях Хаунсфілда (HU)
  • Графіки полярних карт (контраст, коефіцієнт трансмурального дефекту перфузії, індекс перфузії), що підкреслює потенційні дефекти міокарда
  • Інструмент підрахунку дефектів надає користувачам альтернативний спосіб:
  • Визначення розмірів більш щільних областей
  • Обчислення відсотків ураженого міокарда дозволяє візуалізувати та аналізувати дефіцит перфузії в міокарді. Напівавтоматична сегментація та реєстрація доступні в спрощеному робочому процесі.

Пакет CT SURFPlaque* забезпечує візуалізацію і вимірювання стінок судин і характеристики бляшок в артеріальних судинах, використовуючи кольорові діапазони щільності (HU). Це може допомогти розподілити атеросклероз пацієнтів за відповідними групами.

Ключові переваги:

  • Інструменти SURFPlaque допомагають клініцистам в оцінці характеристик всередині кровоносних судин:
  • Кількісно оцінюють пласти бляшок та проводять коронарне неінвазивне ремоделювання
  • Візуалізація анатомії та уражень коронарних судин за допомогою визначення щільності HU
  • Характеристики уражень в стінці судини: як кальцинатів, так і м’яких бляшок
  • Сегментація за допомогою одного кліку миші з автоматично прокладеною центральною лінією та контурами стінок судин
  • Автоматичне вимірювання та відображення: площі та діаметра просвіту судини; область з бляшками; протяжність бляшок; співвідношення площі стінки та просвіту; об'єм бляшок; та індекс бляшок

Пакет CT Transcatheter Aortic Valve Replacement (TAVR)* допомагає оцінити аортальний клапан в доопераційному плануванні та після операції оцінити ефективність процедури транскатетерної заміни клапана.

Ключові переваги:

  • Можливість завантаження декількох об’ємів або серій, що дозволяє користувачам аналізувати та проводити вимірювання в різних фазах серцевого циклу за допомогою комбінованої звітності
  • Автоматична сегментація кореня аорти, аорто-клубових артерій з декількома варіантами перегляду, включаючи об'ємне зображення, MIP, MPR, криві та прямі MPR реконструкції
  • Спеціальні шаблони звітності з автоматизованим аналізом та вимірюваннями включаючи:
  • Кола з діаметром, площею та окружністю
  • Вимірювання правого і лівого устя
  • Діаметр і розмір синутобулярного з'єднання (STJ)
  • Ширина і висота синуса Вальсальви
  • Діаметр маршруту доступу, площа та звивистість
  • Гнучкість, що дозволяє планувати трансфеморальний, підключичний та трансапікальний доступи із відображенням кутів C-Arm

Пакет CT Endovascular Stent Planning (EVSP) дозволяє візуалізувати та вимірювати судини аорти для оцінки, лікування та спостереження за патологіями. Автоматизована можливість 3D-сегментації аорти дає можливість моделювання постановки стентів на основі шаблону, наданого виробниками стентів для створення високоефективного робочого процесу.

Ключові переваги:

  • Автоматична сегментація кісток та діагностика за допомогою інструментів для редагування центральної лінії судин і її контурів.
  • Робочий процес керується користувачем з автоматизованою ідентифікацією анатомічних орієнтирів та специфічними для стента ендоваскулярними вимірюваннями.
  • Автоматичне заповнення звітів з вибраними вимірюваннями для відповідного стандарту стента.

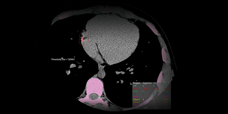
Додаток CT VScore  - це програма оцінки кальцію, яка надає можливість візуалізувати, вимірювати та створювати звіт про  кальцій в коронарних судинах та проводити  обчислення  кальцію за допомогою безконтрастної КТ серця. Це дозволяє клініцистам оцінити рівень  кальцинації коронарних артерій та створити відповідну звітність..

Ключові переваги:

  • 2D та 3D візуалізація
  • Автоматичне заповнення шаблонів звітності
  • Розрахунок кількості кальцію за шкалою Агастона, об'єму чи маси
  • Перцентиль кальцію відображається на графіку, що порівнює навантаження відкладень кальцію на судинах хворого пацієнта та судинах безсимптомних осіб того ж вікового діапазону та / або етнічної групи

Інструмент аналізу церебральної аневризми полегшує екстракцію та сегментацію визначеної користувачем аневризми в мозкових артеріях.
Програмне забезпечення може бути використане як доповнення для аналізу розмірів аневризми - скорочення часу обробки та підвищення точності.


Пакет CT Brain Perfusion 4D допомагає оцінювати дефіцит перфузії головного мозку, в вигляді 4D-DSA (цифрової субтракційної ангіографії) кровотоку в судинах та тривимірних карт перфузії. Програмне забезпечення допомагає лікарю у візуалізації  перфузії крові в тканинах головного мозку, уражених гострим інсультом. Автоматизовані інструменти допомагають ефективно візуалізувати анатомію та патологію.

Ключові переваги:

  • Автоматичний підрахунок кількісних результатів перфузії мозку:
  • Місцевий об'єм церебральної крові (rCBV)
  • Середній час кровотоку (MTT)
  • Місцевий церебральний кровотік (rCBF)
  • Час досягнення максимуму для кривої часу реакції тканини (TTP)
  • Затримка кривої реакції тканини
  • Зведена карта для перегляду результатів перфузії
  • 4D кліп DSA для візуалізації потоку контрасту через судини

Пакет CT Brain Perfusion 2D дозволяє візуалізувати виражений кровотік, об'єм крові і середній час кровотоку (MTT), що допомагає лікарям визначити наявність гострих церебральних інфарктів  тканини мозку, ураженої при гострому інсульті.

Основні функції:

  • Автоматичне обчислення кількісних показників перфузії головного мозку
  • Зведена карта для поєднання результатів перфузії
  • Дзеркальне відображення області досліджень
  • Автоматичне налаштування кривої і корекція руху

Пакет CT Lung Analysis допомагає виміряти та охарактеризувати вузлики в легенях. Інтерфейс та автоматизовані інструменти допомагають ефективно визначати зміни в динаміці та робити їх порівняння.

Ключові переваги:

  • Автоматизована сегментація легень та дихальних шляхів з попередніми експертними налаштуваннями візуалізації
  • Інструменти сегментації легеневих вузликів за допомогою одного натискання клавіші, щоб включити тверді вузлики та вузлики в вигляді матового скла (GGO)
  • Кількісне визначення легеневих вузликів та порівняння їх змін в динаміці
  • Створення звітів порівняння вузликів протягом всіх проведених досліджень в динаміці

Пакет CT Lung Density Analysis допомагає аналізувати щільність і об'єм легень. Додаток дозволяє зручно компонувати зображення як одного так і декількох досліджень. 

Основні функції:

  • Автоматична сегментація правої та лівої легень, а також дихальних шляхів
  • Візуалізація щільності легень за допомогою кольорових діапазонів одиниць Хаунсфілда (HU)
  • Кількісні результати оцінки щільності легень за допомогою діапазону щільності в HU, вимірювання об'єму, індекс щільності легень і вимір показника PD15%
  • Графік / гістограма відносних частот класифікованих об'ємних елементів легень
  • Порівняння співвідношень індексів щільності верхньої і нижньої частини легень

Пакет CT Colon Analysis дає можливість клініцистам проводити КТ-колонографію. Програма забезпечує оптимальні схеми для 2D та 3D дослідження просвіту кишківника, включаючи інструменти для кількісного аналізу підозрюваних поліпів.
Ключові переваги:

  • Авто-сегментація товстої кишки зі створенням центральної лінії в 2D та 3D реконструкціях для одночасного мультипланарного (MPR) та 3D-огляду
  • Сегментація поліпа одним натисканням миші для морфологічної характеристики та кількісного визначення розміру, щільності і відстані до прямої кишки
  • Інтегрований розгорнутий та ендолюмінальний вигляди
  • Оцінка поліпів та звітність з використанням вказівок C-RADS
  • Автоматичне маркування рідини / екскрементів та їх субтракція (віртуальне видалення)

Пакет CT Liver Analysis дозволяє сегментувати і виконувати кількісну оцінку печінки та пухлин. Додаток автоматично робить реєстрацію декількох серій зображень, а також оптимізовані компонування зображень і засоби кількісної оцінки для стандартних клінічних вимірювань.

Основні функції:

  • Анатомічна сегментація за допомогою натискання тільки однієї клавіші
  • Компонування зображення для планування хірургічних процедур і оцінки реакції пухлин
  • Кількісні вимірювання сегментів печінки
  • Створення площини резекції або січної площини
  • Порівняння осередків ураження в динаміці за даними 2-х і більше досліджень.
  • Об'ємне поєднання сегментованих структур з артеріальної та венозної фаз зображень
  • Кілька методів виділення/ ідентифікації осередків ураження
  • Аналіз пухлини
  • Шаблони звітів

Пакет CT Body Perfusion 4D дозволяє виконувати повну функціональну оцінку органів. Параметричні карти, що побудовані на основі циркуляції контрастного агента через орган, надають додаткову інформацію для процесу прийняття клінічних рішень.

Ключові переваги:

  • 4D-перфузія органу цілком
  • Процедура одинарного введення даних по органу для відображення карти артеріального кровотоку (AF)
  • Процедура подвійного введення даних по легенях для відображення легеневого кровотоку (PF), Карти артеріального кровотоку (AF) і легеневого індексу перфузії (PI)
  • Процедура подвійного введення даних по печінці для відображення карт артеріального кровотоку (AF), портального кровотоку (PF) і індексу перфузії печінки (PI)
  • Реєстрація зі зміною форми та корекцією руху
  • Виведення вимірювань на екран
  • Відображення параметричних карт для будь-якої орієнтації мультипланарної реконструкції
  • Метод Patlak Plot для відображення максимального відхилення артеріального кровотоку, еквівалентного обсягу крові Patlak і кровотоку Patlak