ВПЕВНЕНІСТЬ

ДЛЯ ВСІХ І ВСЮДИ

Система Viamo sv7 забезпечує високоякісну візуалізацію безпосередньо біля ліжка хворого, а також повну безперервність робочого процесу. Система оснащена надійним корпусом і може використовуватися в будь-якому місці - або як переносний пристрій, або як мобільний (при встановленні на додатковий візок).

  • 12” TFT кольоровий висококонтрастний сенсорний монітор з роздільною здатністю 1920*1280
  • 1 USB-порт для датчиків
  • Вбудована акумуляторна батарея, розрахована на 3 години безперервної роботи
  • Вбудований SD диск об’ємом 256 Гб
  • Габарити (Ш * В * Г): 325 мм * 19 мм * 229 мм; вага 1,2 кг
  • Споживання електроенергії: 36 VA

Viamo sv7 забезпечує можливість миттєвої візуалізації в критичних ситуаціях, в операційній або в інтервенційній діагностиці.

Завдяки широкому спектру спеціальних пресетів та датчиків, Viamo sv7 можна використовувати у будь-якому відділенні.

Viamo sv7 пропонує інтуїтивно зрозуміле управління і робочий процес. Візуалізація полегшується завдяки широкому спектру клінічних налаштувань і засобів автоматизації робочого процесу. Просте управління сенсорним екраном гарантує, що система проста у використанні з самого початку.

Підтримка лінійних та конвексних датчиків з частотою до 12 MHz.

Для всіх датчиків доступні біопсійні насадки.

Технології, що включені у базовий блок:

Повністю цифрова робоча станція
1 USB 3.0 порт
 

Блок обробки "сирих" зображень Rаw Data
Режим ВЧ повтору імпульсів (HPRF)
Програма QuickScan
Режим диференційної тканинної гармоніки

 

Трапецієподібний режим для лінійних датчиків

BEAM - режим посилення для біопсійної голки

Режим Twin View

 

Програма ApliPure+

Програма Precision Imaging

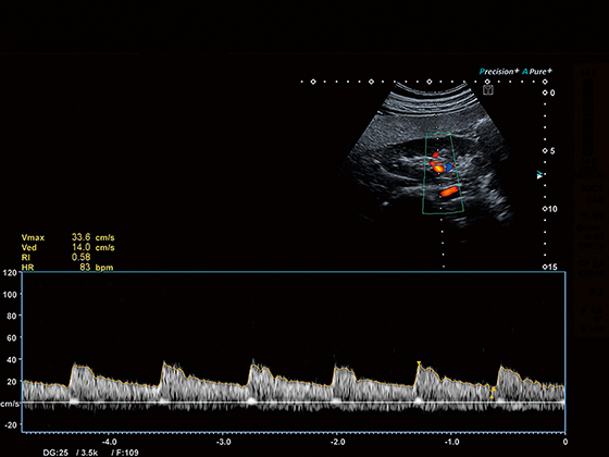
Імпульсно-хвильовий допплерівський режим
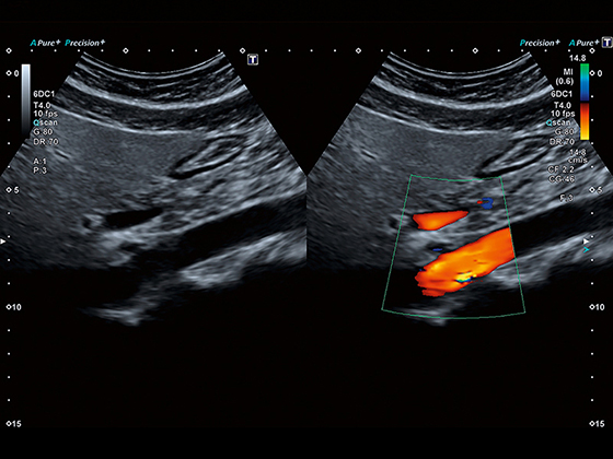
Кольорове допплерівське картування
Енергетичний допплерівський режим

Тканинний допплер - оцінка рухливості тканних структур за допомогою допплерівської методики.

 

Анатомічний М-режим

Набір спеціалізованих розрахунків для кардіологічних досліджень


Блок DICOM *

Програма Dynamic Flow (надчутливий енергетичний допплер) *

 

* - опційні додатки