Категорії новин:

Canon Opacity Suppression: отримання важливої інформації при помутнінні очних структур

За своєю сутністю і призначенням, око - складна оптична система. Від ступеня прозорості, від стану структур ока, що пропускають, заломлюють і сприймають світло залежить якість зору.

 

Будова ока нагадує будову фотоапарата. У ролі об'єктива виступають рогівка, зіниця і кришталик, які заломлюють промені світла і фокусують їх на сітківці ока. Рогівка сильніше всіх інших структур заломлює світлові промені, які проходять далі через зіницю, що виконує функцію діафрагми - регулює надходження променів світла та, в залежності від фокусної відстані, дозволяє отримувати якісне зображення. Кришталик змінює свою кривизну і працює як автофокус - миттєво налаштовує хороший зір на предмети зблизу або вдалині, заломлює і пропускає світлові промені далі на світлоприймаючу структуру – сітківку.

 

Рідина очних камер і скловидне тіло володіють незначними заломлюючими властивостями, проте деструкції скловидного тіла, прозорість передньої та задньої камер, наявність в них крові або інших плаваючих помутнінь також впливає на якість зору. Сітківка, немов фотоплівка, фіксує зображення. У нормі промені світла, пройшовши через усі прозорі оптичні середовища, заломлюються так, що формують зменшене, перевернуте, реальне зображення. Остаточний аналіз і сприйняття отриманої оком інформації відбувається в корі потиличних частин головного мозку.

 

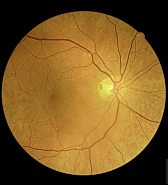
Очне дно – поняття в офтальмології, яким описують внутрішню поверхню очного яблука: сітківку, судинну оболонку і диск зорового нерва.

 

Діагностика очного дна – важлива частина загального обстеження стану очей, яка дозволяє лікарю-офтальмологу виявити не лише очні патології, але і оцінити загальний стан організму. Будь-які зміни, відхилення від норми, виявлені при дослідженні очного дна, багато про що говорять фахівцю. Наприклад, по картині змінених судин, їх контурах, стану тканин диска зорового нерва – певною мірою можна судити про стан всієї судинної системи організму. Ці зміни зустрічаються при багатьох загальних захворюваннях (хворобах судин, крові, цукровому діабеті).

 

Картина змін у зоровому нерві дає інформацію про патологічні процеси, що протікають в центральній нервовій системі. Єдиний спосіб виявлення захворювань очей на ранніх стадіях проводиться неінвазивним методом, що полягає в направленні пучка світла через зіницю на сітківку. А при наявності непрозоростей очних структур отримати якісну клінічно важливу картину очного дна стає проблемою. Найчастіше зустрічається втрата прозорості кришталика, його помутніння, що є детермінований віком процес з боку зорового аналізатора -  катаракта ока.

 

При отриманні зображень сітківки, розсіювання світла робить краї кровоносних судин розмитими, різниця в яскравості сітківки зменшується, що ускладнює розрізнення структур. Наявність катаракти робить зображення жовтішим.

 

Canon пропонує «супресію непрозорості» («opacity suppression») – програмний інструмент фільтрування, що базується на повній інформації зі CMOS матриці цифрової камери Canon EOS, та значною мірою зменшує вплив помутніння очей на кольорові зображення очного дна.

 

Canon Opacity Suppression передбачає корекцію кольору шляхом підсилення синього та регулювання контрастності шляхом збільшення різкості країв - оригінальна яскравість та колір сітківки будуть відновлені, кровоносні судини будуть виявлені чіткіше.

 

З інструментом Canon Opacity Suppression (COS) вплив від непрозорості очей буде значно знижений, тому раніше інформативно непридатні зображення зможуть забезпечити вас важливою клінічною інформацією.

Даний інструмент реалізований як в комбінованій так і в немідріатичних ретинальних камерах Canon та значно розширює можливості отримання картини стану очного дна у пацієнтів з катарактою.

 

Оригінальні зображення

Зображення після інструменту фільтрування Canon Opacity Suppression

Останні новини та події