Категорії новин:

Aquilion ONE / INSIGHT Edition – Відчуйте різницю

Королівська лікарня Борнмута у Великобританії першою в Європі отримала новий комп’ютерний томограф Aquilion ONE / INSIGHT Edition. Рассел Булл, доктор медичних наук, консультант-радіолог і провідний спеціаліст КТ у відділенні радіології лікарні пояснює, як це вже принесло великі зміни.

 

Королівська лікарня Борнмута — лікарня загального профілю в Борнмуті, Дорсет, Великобританія. Має приблизно 600 стаціонарних ліжок і 123 ліжка денного догляду. У лікарні надається невідкладна та планова допомога, хірургічна допомога, реанімація, допомога в кінці життя, амбулаторна допомога та діагностичні послуги. Королівська лікарня Борнмута надає послуги для населення приблизно 550 000 місцевих жителів - кількість, яка зростає протягом літніх місяців через привабливість території як місця для туристів. Радіологічне відділення лікарні багато років співпрацює з Canon Medical. На додаток до нового комп’ютерного томографа Aquilion ONE / INSIGHT Edition у відділі є інші комп’ютерні томографи Canon, зокрема Aquilion
ONE / GENESIS Edition
і Aquilion Serve.

 

Ліворуч пан Метью Бенбоу (керівник відділень КТ та МРТ) і доктор Рассел Булл (доктор медичних наук, консультант-рентгенолог і провідний спеціаліст КТ у відділенні радіології) у Королівській лікарні Борнмута, Великобританія, з Canon Aquilion ONE / INSIGHT Edition.

Навчання великої команди
Aquilion ONE / INSIGHT вже принес багато переваг команді з 24 спеціалістів радіологів і 30
рентгенологів. «Навчати клініцистів на Aquilion ONE / INSIGHT Edition було дуже легко, завдяки новому ефективному робочому рішенню INSTINX.

 

Фактично, він веде клініцистів через робочий процес так, як не робили попередні інтерфейси. Це набагато логічніше. Це набагато більш інтуїтивно зрозуміле», - зауважив доктор Булл. «Усі клініцисти віддають перевагу новому інтерфейсу. Крім того, вони сканують набагато швидше. Їх легше тренувати, і вони швидше», – продовжив він.

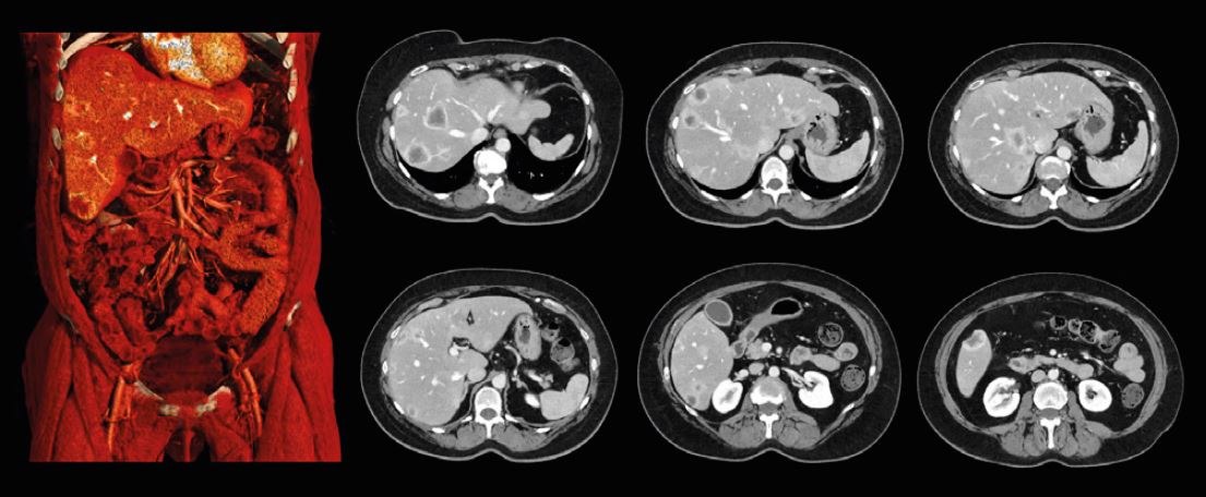
Зображення черевної порожнини, реконструйовані за допомогою різних алгоритмів реконструкції на зрізах товщиною 0,5 мм

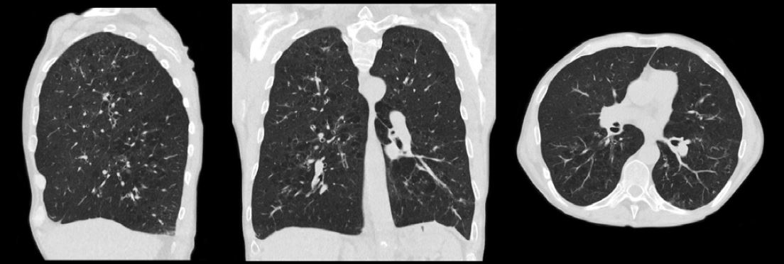
Сканування грудної клітки з SilverBeam пацієнту з емфіземою легень (0,2 мЗв).

«Перевага PIQE 1024 полягає в тому, що він дає нам набагато вищу просторову роздільну здатність без збільшення дози
радіації»
.


Доктор Рассел Булл, Королівська лікарня Борнмута, Великобританія.

Покращена роздільна здатність
Завдяки вдосконаленій технології глибокого навчання (DLR) Aquilion ONE / INSIGHT Edition доктор Рассел Булл бачить значне покращення якості зображення.
«Зображення набагато менш шумні та мають менше артефактів. Ми отримуємо кращі зображення,
але без збільшення дози опромінення», – сказав він. «Загалом реконструкція глибокого навчання була дуже добре сприйнята нашими радіологами. Aquilion ONE / INSIGHT Edition використовує два типи DLR, один із яких Advanced intelligent Clear-IQ Engine (AiCE), який ми зазвичай
використовуємо при скануванні тіла, і Precise IQ Engine (PIQE), який ми зазвичай використовуємо, на даний, момент для коронарних артерій, але також доступний для обстеження
тіла».

 

«Перевага PIQE 1024 полягає в тому, що він дає нам набагато вищу просторову роздільну здатність без збільшення дози радіації. Оскільки це покращує просторову роздільну здатність, ми можемо отримати зображення коронарних артерій з кальцинатами та стентами зі зменшенням артефактів від них. Ми працюємо на цьому апараті всього 5 тижнів, але ми набагато впевненіші в діагнозі, оскільки роздільна здатність набагато вища», – додав він.

 

Висока якість при дуже низькій дозі
Доктор Булл і його команда також використовують фільтр SilverBeam для отримання високоякісних зображень при дуже низькій дозі. «Ми не просто прагнемо досягнути низької дози – ми прагнемо отримати високу якість зображення при низькій дозі. Ми можемо це зробити з
SilverBeam», — зазначив він. «Ми використовуємо його не лише для
скринінгу раку легенів, ми використовуємо його для стандартного зображення грудної клітки. Ми також використовуємо його для візуалізації кісток, тому що ми отримуємо набагато менше артефактів і доза набагато нижча. Якщо це хребет чи пазухи, або якщо ми шукаємо перелом стегна, ми використаємо SilverBeam».

 

Доктор Рассел Булл


Доктор Рассел Булл був призначений радіологом- консультантом у Борнмуті, Великобританія, у 2000 році. Доктор Булл спочатку працював загальним радіологом, а в 2004 році відкрив послугу КТ серця в
Борнмуті за допомогою Canon Aquilion 16. Протягом останніх 13 років років він працював майже виключно як кардіоторакальний радіолог, розподіляючи свій час між КТ серця та МРТ. Його інтереси включають просування
КТ як методу з низькими дозами та підвищення
ефективності радіологічних відділень шляхом
оптимізації технології та робочих процесів.

Aquilion ONE / INSIGHT Edition

 
Забезпечує виняткову якість зображення завдяки передовій технологіїглибокого машинного навчання (DLR). Він забезпечує
зображення всього тіла з високою роздільною здатністю, що необхідно для точної діагностики складних патологій, зокрема в кардіології,
онкології та невідкладній допомозі.

Краще посилення контрасту
Доктор Булл і його команда використовують 70 кВ, коли хочуть покращити контрастність. «Ми використовуємо 70-кВ для відстроченої візуалізації серця, щоб побачити, чи є тромб у вушку лівого передсердя. Ми використовуємо 70 кВ, щоб отримати набагато більше посилення контрасності. Ми також використовуємо 70 кВ, коли хочемо використовувати дуже невелику
кількість контрасту для пацієнтів із поганою функцією нирок. У нас є спеціальні протоколи КTA налаштовані в нашому томографі для цих пацієнтів».

 

Сканування складних пацієнтів
Уся команда радіологічного відділення була здивована, наскільки кращим був Aquilion ONE / INSIGHT Edition для сканування пацієнтів із великим індексом маси тіла.
«Оскільки рентгенівська трубка набагато потужніша, а детектор набагато ефективніший, ми можемо отримувати зображення більших пацієнтів із меншою кількістю артефактів і шумів на зображенні, ніж у наших попередніх системах», — сказав доктор Булл. «Крім того, більш висока
швидкість обертання дозволяє нам виконувати коронарну КTA у пацієнтів із вищою частотою серцевих скорочень».

CTA серця з різними алгоритмами реконструкції лівої передньої низхідної артерії, що показує підвищену просторову роздільну здатність за допомогою PIQE 1024.

Плавний перехід на нові технології 

Встановлення та інтеграція нової системи в лікарні пройшла без проблем і за підтримки Canon Medical відділ зміг прийняти нову технологію.

 

«Ми отримали велику підтримку від Canon Medical Systems UK, Canon Medical Systems Europe та Canon Medical Systems Corporation (Японія)», — сказав він. «Усі ці люди, які підтримують нас, зробили величезну зміну. Це було чудово. Це дійсно допомогло нам, тому що нова технологія зовсім інша. Я думаю, що ми все ще вчимося, але ми навчилися набагато швидше завдяки чудовій підтримці».

Сканування шийного відділу хребта SilverBeam. На зображеннях видно зменшені артефакти в області плечей.

Зображення черевної порожнини з PIQE 1024 товщиною зрізу 0,5 мм демонструють підвищену просторову роздільну здатність у цього пацієнта з ураженням печінки.

Precise IQ Engine (PIQE)
Це алгоритм реконструкції
глибокого навчання, який
максимізує власну роздільну
здатність комп’ютерної
томографії для отримання
матричних зображень
суперроздільності 1024.
Зображення PIQE показують
чіткіші анатомічні деталі
для кращого окреслення
невеликих анатомічних
структур для більш точного
діагнозу.

INSTINX
Робочий процес, перероблений з нуля, щоб
встановити нові стандарти ефективності та послідовності. Кожна деталь робочого
процесу була ретельно вдосконалена на основі клінічних випробувань у медичних центрах по всьому світу. Тепер кожна
операція більш інтуїтивно зрозуміла, і її можна навчити швидше, ніж будь-коли
раніше. Така простота використання сприяє задоволенню від роботи, економії часу та гнучкому розподілу ресурсів.

SilverBeam
Фільтр для КТ-систем Aquilion, який містить срібло для вибіркової оптимізації енергії
променя. Він видаляє фотони низької енергії зі спектру променя, які не впливають на якість зображення, але збільшують дозу та
розсіювання. У поєднанні з технологією Advanced intelligent Clear IQ Engine (AiCE) Canon Medical цей енергетичний фільтр, що формує промінь, може використовувати потужність
штучного інтелекту для забезпечення високої
якості зображення та низького рівня шуму для спеціальних програм.

Останні новини та події