Категорії новин:

Клінічна нейросонологія: сучасний стан і перспективи

Дж. Малферрарі (G. Malferrari) Завідувач відділення цереброваскулярної патології та нейросонології Сервісний відділ інсульту ASMN Реггіо Емілія, Італія

 

Вступ

В останні роки нейросонологія демонструє безперервну еволюцію, переходячи від суто судинної техніки до комплексної техніки ультразвукового дослідження головного мозку. Цей якісний перехід, виключно завдяки розвитку ультразвукових методів, сприяв розвитку клінічної нейросонології. Як обстеження в динаміці, цей підхід дуже добре підпадає під те, щоб бути міцно включеним у клінічну оцінку, яка змінюється з часом, а не лише для діагностики простих судинних проблем.

 

Транскраніальне кольорове допплерівське картування (ТК КДК)

Різні аспекти дослідження гострого ішемічного захворювання судин добре відомі, але лише одна методика здатна поетапно відстежувати 1-3 динамічну оцінку внутрішньочерепного стенозу або активацію компенсації та реактивності органів, тобто вазомоторику (реактивність, яка сильно варіює від пацієнта до пацієнта).

 

Лікування оклюзії великих церебральних артерій за допомогою методів ендоваскулярної реваскуляризації (МЕР) , які все частіше використовуються, вимагає оцінки судини за допомогою транскраніального кольорового доплера (ТК КДК) як до, так і після МЕР; однак ТК КДК є золотим стандартом у подальшому моніторингу реканалізації артерії з часом.

 

Сфери застосування судин включають:

• Діагностика та моніторинг церебрального інсульту: церебральний стеноз та реканалізація

• Моніторинг після ендоваскулярного лікування

• Судинна оцінка внутрішньочерепної компенсації

• Дослідження кровопостачання заднього сегменту головного мозгу для стенооклюзійних патологій

• Дослідження серцево-легеневого шунтування (СЛШ)

• Діагностика та моніторинг церебральних венозних тромбозів

• Оцінка та моніторинг субарахноїдального крововиливу

• Оцінка та моніторинг підвищення судинного опору у пацієнтів у стані коми/смерті мозку

 

Транскраніальна сонографія у В-режимі

Використання В-режиму в діагностиці церебральних порушень, безумовно надає клініцисту оцінку їх перебігу в динаміці. Наприклад, можна досліджувати:

- оболонки зорового нерва при внутрішньочерепній гіпертензії,

- третій шлуночок та форми гідроцефалії,

- підвищення ехогенності, наприклад, при глибоких або субдуральних крововиливах, також оцінити дегенеративні форми захворювань, хвороба Паркінсона та паркінсонізм.

 

Розвиток досліджень у B-режимі також дозволив правильно ідентифікувати цю техніку як транскраніальну сонографію в B-режимі (ТК ВС).

 

Сфери застосування в B-режимі:

• Дослідження внутрішньочерепної гіпертензії

• Очне вікно

• Пухлини, паренхіматозні крововиливи

• Дослідження серединної лінії головного мозку та її зміщення

• Субдуральні гематоми

• Паркінсонізм

• Гідроцефалія

 

В-режим

Одним з золотих стандартів є ультразвукове вимірювання діаметра оболонки зорового нерва (ДОЗН) , яке добре відоме в неврології, але все частіше застосовується як незамінна техніка в інтенсивній терапії та реанімації. Більш того, технікою, яка використовує датчики 7-8 МГц або датчики для дослідження поверхневих структур з набагато вищими частотами, можна досліджувати як задній, так і передній сегменти ока, а також ретробульбарні структури, такі як ДОЗН, очну артерію (корисно при оцінці ситуацій, пов’язаних із екстраінтракраніальними стено-оклюзіями) , центральну артерію та вени сітківки та циліарних артерій, що породжує нейроофтальмосонологію. Ембріологічно сітківка є виворотом проміжного мозку, а зоровий нерв (ЗН) огорнутий тими ж оболонками, що й мозок, а саме м’якою мозковою оболонкою, павутинною оболонкою та твердою мозковою оболонкою.

 

Грунтуючись на цьому, знаючи, що цереброспінальна рідина циркулює в субарахноїдальному просторі, інтуїтивно зрозуміло, що у всіх клінічних ситуаціях, в яких останній змінюється, також це відображається на оболонці самого ока, викликаючи збільшення та / або зменшення по товщині:

 

1. Вторинна внутрішньочерепна гіпертензія

2. Ідіопатична внутрішньочерепна гіпертензія

3. Гідроцефалія

4. Зупинка серця

5. Вагітність, прогнозувати розвиток прееклампсії та еклампсії

6. Синдром задньої оборотної енцефалопатії (СЗОЕ)

7. Інтраопераційні ускладнення в області лапароскопічної хірургії

8. Запальне ураження зорового нерва

9. Гірська хвороба

10. Внутрішньочерепна гіпотензія

11. Церебральна ішемія та церебральні крововиливи з внутрішньочерепною гіпертензією

 

Набряк сосочка та збільшення діаметра на рівні оболонок ЗН є непрямими ознаками підвищення внутрішньочерепного тиску, пов’язаного з масивною гострою ішемією головного мозку, крововиливом або травмою голови.

 

Ще в 1966 році Хелмке (Helmke) і Хансен (Hansen) 4 оцінили можливість дослідження зіниці за допомогою ультразвуку. В даний час дослідження проводиться за допомогою лінійного багаточастотного датчика 5-12 МГц. З огляду на потенційний термічний вплив на структури ока, механічний індекс (MI) має бути зменшений до 0,26 (критерії ALARA - "насті льки низько, наскі льки можливо") 5-6.

 

Це відповідає рекомендаціям УПМ США. Набряк зорового нерва діагностується у випадках внутрішньочерепної гіпертензії легко та швидко, просто помістивши датчик на повіку пацієнта за допомогою достатньої кількості гелю (крива швидкого навчання)10-11 – як куполоподібний виступ диска зорового нерва, який виступає в очне яблуко. Його вимірювання робиться шляхом оцінки його випинання на сітківку.

 

Порогове значення 1 мм має чутливість 73% і специфічність 100%7 . Також незалежно від протрузії можна дослідити наявність вузлів диска зорового нерва або інших кальцинованих утворень. ЗН виглядає як гіпоехогенна стрічкоподібна структура, розташована за очним яблуком/сітківкою, оточена гіперехогенним ореолом. ДОЗН вимірюється в аксіальній площині, із збільшеним зображенням, що дозволяє оцінити товщину ЗН, що визначається гіперехогенністю павутинної оболонки до краю твердої мозкової оболонки, накладеної на 3 мм від сітківки. У здорових пацієнтів середні значення становлять 5,4 мм +/-0,6 мм8-9.

 

Вивчення проблеми 1

Хворий з наявністю набряку зорового нерва (1,3 мм), ОНС>6,8 мм. Клінічну картину внутрішньочерепноїгіпертензії доповнює вивчення зміщення середньої лінії, яке виділяє явну дезорієнтацію головного мозку: 73,5 – 57,3 = 16,2/2= 8,1 (Мал. 1).

 

Малюнок 1 Висновок застосування ультразвукового дослідження в клініці: обстеження цього пацієнта було консервативним, тому ультразвукове дослідження дозволяє контролювати морфологічні зміни.

(a) Сонографія через праве скроневе вікно для вимірювання лівої півкулі.

(b) Сонографія через ліве скроневе вікно для вимірювання правої півкулі.

Середня лінія і зміщення середньої лінії

Методика оцінки третього шлуночка дуже легка і швидка. Отримані висновки можна використовувати як у гострій фазі, так і під час моніторингу у неврологічних ситуаціях, де має місце гіпертензія, як у випадку, представленому тут.

 

Зміщення середньої лінії (ЗСЛ) = (A-B)/2

 

Ця швидка техніка також дуже застосовна для пацієнтів, які перенесли краніектомію, і особливо під час спостереження за ними в відділеннях інтенсивної терапії.

 

Гідроцефалія

Дослідження гідроцефалії часто вимагає складних методів дослідження (МРТ з динамікою кровотоку, люмбальна пункція), також тому, що механізмів, які викликають цю клінічну картину, багато і вони різноманітні:

• Продукування надмірної кількості рідини

• Дефіцит резорбції

• Перешкоди для дренажу Але, перш за все, використання ультразвукового дослідження може знайти своє підтвердження в різних проявах патології, яка може бути:

• Гострою (у цьому випадку потрібне зовнішнє шунтування ліквору (спинномозкової рідини) та/або ендоскопічна вентрікулоцистерностомія)

• Хронічною, середній вік початку хронічної гідроцефалії становить близько 70 років

 

Вивчення проблеми 2

Хворий на ахондроплазію, з явним клінічним погіршенням, утрудненою ходьбою, з явною ретропульсією, нетриманням сечі. Запитання, поставлене клініцисту, може бути таким: «Нормотензивна або гіпертензивна гідроцефалія є?» Ультразвукове дослідження показує: 

1. Відсутність набряку сосочка

2. Збільшення ІІІ шлуночка на 20,5 мм

3. Як в аксіальному, так і в корональному скроневому вікні, великі бічні шлуночки, які можна виміряти та контролювати протягом тривалого часу за допомогою ультразвукових досліджень (Мал. 2b)

 

Малюнок 2 Висновок застосування ультразвукового дослідження в клініці: незалежно від майбутнього обстеження, будь то консервативне чи з тестом Хакіма та подальшим лікуванням, ультразвукове дослідження може контролювати динаміку, не вдаючись до постійних неврологічних досліджень.

Жовта стрілка: збільшений передній бічний шлуночок головного мозку

Синя стрілка: збільшений третій шлуночок

Червона стрілка: збільшений задній бічний шлуночок головного мозку

 

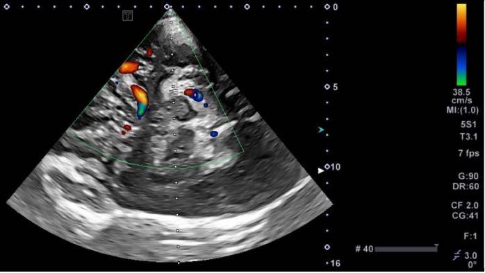
Режим КДК та режим ADF (Розширений динамічний потік)

Притаманна техніці проблема кольорового доплерівського картування в тому, що нерідко виникає спотворюючий ефект на зображенні, оскільки на нього впливає фоновий шум. Фоновий шум, який дотепер лише частково усувався засобами фільтрів низьких частот.

 

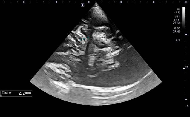
Як ви можете бачити в цьому випадку (Мал. 4), морфологічний діаметр зображення в техніці кольорового та енергетичного доплера не представлений морфологічним дослідженням у B-режимі (Мал. 3). Розвиток досліджень у Bрежимі також дозволив правильно ідентифікувати техніку як ТК ВС.

Малюнок 3

Малюнок 4

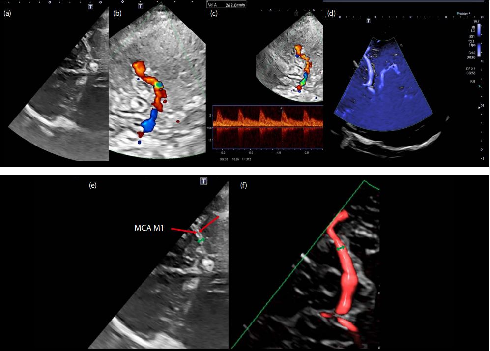
Малюнок 5. Внутрішньочерепний стеноз, досліджений за допомогою В-режиму та кольорового доплерівського картування; в середньому дистальному сегменті М1 є фокусна точка з ефектом еляйзінгу (Мал. 5б), де виявлене прискорення 260 см/с. (рис. 5в).

У цьому випадку КДК не дає морфологічної картини, що демонструє стеноз менше 5 мм (Мал. 5а та 5д).

Робочим інструментом може бути ADF для подолання описаних обмежень (Мал. 5d і 5f).

Висновки

Використання ультразвуку в повсякденній клінічній практиці дозволяє:

1. Отримати морфологію.

2. Звільнити стеноз від критеріїв велоситометрії (ці критерії більше не використовуються для стенозів >94%).

3. Диференціювати стенози >5 мм (які мають іктальний ефект) від <5 мм.

4. Підвищити точність дослідження у пацієнтів, які проходять процедури ендоваскулярної реваскуляризації та встановлення внутрішньочерепного стента.

5. Оцінити дистальний кровообіг (кровообіг острівцевої частки та заднього сегменту, сегменту Р3 задніх мозкових артерій).

6. Гарантувати точність дослідження при обстеженні, включно з іншими дослідженнями, церебральних аневризм (оцінка спектральних прискорень або уповыльнень на місці аневризми).

 

Aplio a-серії пропонує високоякісне зображення у B-режимі як на рівні САС (супрааортальних стовбурів), так і на рівні основи черепа. Підвищена чутливість при отриманні спектру, що забезпечується нахилом і кутом доплерівського проміня, завжди дозволяє дотримуватись привильних критеріїв при проведенні дослідження.

 

Використані джерела:

1. Malferrari G, Bertolino C, Casoni F, Zini A, Sarra VM, Sanguigni S, Pratesi M, Lochner P, Coppo L, Brusa G, Guidetti D, Cavuto S, Marcello N. The ELIGIBLE study: ultrasound assessment in acute ischemic stroke within 3 hours. Cerebrovascular Disease. 2007; 24:469-476.

2. Malferrari G, Zedde M, Marcello N. Role of ultrasound vascular image in the acute phase of stroke. Vascular Disease Prevention. 2008;5(4):252-269.

3. Nedelmann M, Baumgartner R, Malferrari G et al. Consensus Recommendations for Transcranial Color-Coded Duplex Sonography for the Assessment of Intracranial Arteries in Clinical Trials on Acute Stroke. Stroke. 2009;40:3238-3244.

4. Hansen HC, Helmke K. The subarachnoid space surrounding the optic nerves. An ultrasound study of the optic nerve sheath. Surgical and Radiologic Anataomy. 1996;18(4):323-328. doi:10.1007/ BF01627611.

5. Lizzi FL, Coleman DJ. History of ophthalmic ultrasound. J Ultrasound Med. 2004;23(10):1255-1266. doi:10.7863/jum. 2004.23.10.1255.

6. Guidelines for the safe use of diagnostic ultrasound equipment. Prepared by the Safety Group of the British Medical Ultrasound Society. Ultrasound 2010;18: 52–59. doi:10.1258/ult.2010.100003.

7. Teismann NA, Lenaghan P, Stein J, Green A. Will the real optic nerve sheath please stand up? Journal Ultrasound Med. 2012;31(1):130-131. doi:10.7863/jum.2012.31.1.130.

8. Bäuerle J, Nedelmann M. Sonographic assessment of the optic nerve sheath in idiopathic intracranial hypertension. J Neurol. 2011; 258(11):2014-2019. doi:10.1007/s00415-011-6059-0.

9. Bäuerle J, Niesen WD, Egger K, Buttler KJ, Reinhard M (2016). Enlarged optic nerve sheath in aneurysmal subarachnoid hemorrhage despite normal intracranial pressure. J Neuroimaging 26:194–196. https://doi. org/10.1111/jon.12287

10. Geeraerts T, Launey Y, Martin L, Pottecher J, Vigue B, Duranteau J, Benhamou D (2007). Ultrasonography of the optic nerve sheath may be useful for detecting raised intracranial pressure after severe brain injury. Intensive Care Med. 33:1704–1711. https://doi. org/10. 1007/s00134-007-0797-6.

11. Geeraerts T, Merceron S, Benhamou D, Vigue B, Duranteau J (2008) Non-invasive assessment of intracranial pressure using ocular sonography in neurocritical care patients. Intensive Care Med. 34:2062–2067. https://doi.org/10.1007/s00134-008-1149-x.

12. Malferrari G, Pulito G, Pizzini AM, Carraro N, Meneghetti G, Sanzaro E, Parti P, Siniscalchi A, Monaco D. MicroV Technology to Improve Transcranial Color Coded Doppler Examinations. J Neuroimaging. 2018;00:1-9.

Останні новини та події