Категорії новин:

Обстеження пацієнта з черепно-мозковою травмою

Дам’єн Галано,

доктор медичних наук, професор нейрорадіології,

La Pitié Salpetrière, Париж, Франція.


Історія хвороби

З хлопцем 19 років, сталася важка черепно-мозкова травма після аварії на мотоциклі. 

 

Комп’ютерна томографія (КТ) виявила геморагічне ураження стовбура мозку.

 

Пошкодження при черепно-мозковій травмі може бути вогнищевим і дифузним. Дифузна травма головного мозку часто пов'язана зі струсом головного мозку, дифузним аксональним ушкодженням. МРТ виконується для прогностичної оцінки, щоб виявити наявність критичного пошкодження стовбура мозку та кірково-спинномозкового шляху. МРТ головного мозку є найкращим методом діагностики для розпізнавання крововиливу в стовбур мозку у пацієнтів із черепно-мозковою травмою.

 

Морфологія

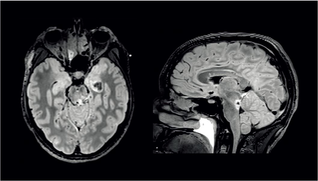
FLAIR МРТ-зображення, реконструйовані в аксіальній і сагітальній площинах (рис. 1), показали церебральний геморагічний забій мосту, що є поширеним явищем при значній травмі голови.

 

Церебральний геморагічний забій був виявлений поблизу лівого кірково-спинномозкового відділу, який служить основним каналом передачі інформації між вищими корковими структурами, скелетними м’язами, а також спинно-таламічними шляхами, одним із найважливіших сенсорних шляхів нервової системи. На знімку чітко видно «дзеркальний» внутрішній геморагічний струс мозку зліва.

 

Рис. 1. FLAIR зображення, реконструйовані в аксіальній і сагітальній площинах

Постобробка та аналіз

Отриманні DTI зображення було оброблено за допомогою програмного забезпечення Olea Sphere®. Використовувалися три техніки візуалізації:

  •  Повне обстеження нервових волокон білої речовини: немає значних змін нервових волокон білої речовини в стовбурі мозку та мозолистому тілі (рис. 2).
  • Відстеження лівого кірково-спинномозкового шляху виконується через позиціонування одного маркеру в області мосту, іншого маркеру поблизу лівої моторної кори та ще одного «негативного» маркера в правому кірково-спинномозкового шляху  видалення областей поза зоною інтересу. Кірково-спинномозковий шлях виглядає ідеально збереженим (інтактним) (рис. 3).
  • Вимірювання фракційної анізотропії (FA), яка пропорційна щільності волокон. Значне зниження значення FA свідчить про серйозне пошкодження білої речовини. У цьому клінічному випадку карта FA була накладена на FLAIR зображення і не показала суттєвих змін FA на кірково-спинномозкових і спиноталамічних шляхах (рис. 4).

Рис. 2.

Рис. 3.

Рис. 4.

Висновок

Через кілька днів хворий прийшов до свідомості. Його виписали з реанімації через місяць, без залишкової моторної недостатності, після чого він проходив реабілітацію.

 

Нейровізуалізація відіграє вирішальну роль в діагностиці черепно-мозкової травми. Звичайні МРТ-послідовності не можуть дифференціювати багато нервових волокон всередині білої речовини. DTI дозволяє візуалізувати ці аксони в білій речовині завдяки відображенню анізотропії дифузії води.

Останні новини та події