Категорії новин:

Позитивний вплив зниження шуму при використанні технологій на основі глибокого навчання для МРТ-зображень головного мозку

T. Tajimaetal

Міжнародний університет здоров'я та соціального захисту лікарня Міта, Японія

 

Короткі відомості:

 

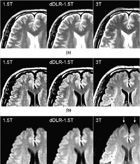
В експерименті були задіяні Vantage Elan з потужністю магнітного поля 1,5T і Vantage Centurian (Vantage Galan ZGO) з потужністю магнітного поля 3T.

 

В 11 здорових добровольців було проскановано головний мозок на обох системах для отримання зображень T2WI, FLAIR і DWI на МРТ-системах 1,5T та 3T.

 

Штучні нейронні мережі на основі глибокого навчання (AiCE) застосовували до зображень отриманих на МРТ 1,5T, а якість зображення оцінювали якісно та кількісно за допомогою індексу подібності структури, співвідношень сигнал/шум та контраст/шум, а також опитуючи лікарів-радіологів стосовно візуальної якості отриманих зображень.

 

Результати:

 

Візуальна якість зображення, співвідношення сигнал/шум і контраст/шум покращились в зображеннях отриманих на 1,5T після застосування AiCE для всіх послідовностей, дорівнюючи або навіть перевищуючи ці показники у зображень отриманих на МРТ 3T.

 

DWI-зображення отримані на МРТ 1,5T з AiCE мають менше спотворень і значно вищі показники співвідношень сигнал/шум і контраст/шум між смугастим тілом і білою речовиною, ніж зображення отриманні на МРТ 3T.

Висновок:

 

Використання AiCE при скануванні головного мозку на МРТ- системі з потужністю магнітного поля 1,5T призвело до покращення якості зображення, збільшення співвідношень сигнал/шуму та контраст/шум між внутрішньомозковими структурами порівняно з оригінальними зображеннями.

 

Ці зображення вважалися еквівалентними або навіть кращими за зображення отримані на МРТ-системі 3T.

Останні новини та події