Категорії новин:

Діагностика фіброзу печінки за допомогою зсувно-хвильової еластографії

Dr. Hiroko Iijima

Department of Hepatobiliary and Pancreatic Disease,

Hyogo College of Medicine, Japan

 

Вступ

Ультразвукове дослідження є одним із найсучасніших методів діагностики дифузних захворювань печінки. Цироз — це хронічне захворювання печінки, при якому нормальна тканина печінки замінюється рубцевою тканиною через процес фіброзу, що збільшує жорсткість паренхіми. Основні причини виникнення цирозу включають гепатит B (HBV), гепатит C (HCV), алкогольну хворобу печінки (ALD) і неалкогольну жирову хворобу печінки (NAFLD). Гепатоцелюлярна карцинома (ГЦК) є одним із найпоширеніших ускладнень у пацієнтів із цирозом печінки.

 

Клінічно важливо визначити ризик розвитку раку печінки та необхідність противірусного лікування. Зростання захворюваності на ГЦК серед старіючого населення з HCV є серйозною проблемою. Останнім часом глобальною тенденцією лікування гепатиту С є застосування противірусних засобів прямої дії (DAAs).1 Як результат, раннє виявлення, точне визначення стадії та оцінка лікування фіброзу є важливими для оптимізації лікування пацієнтів.

 

Біопсія вважається золотим стандартом діагностики фіброзу, незважаючи на те, що частота проведення  біопсій печінки зменшилася через інвазивність і вартість. Також відомо, що варіабельність зразків може впливати на точність біопсії печінки.2 Використовуються також біохімічні дослідження крові, однак їх діагностична точність не дуже висока. Спостереження спекл-паттернів на зображеннях у B-режимі є одним із підходів до визначення стадії фіброзу, однак диференціація між стадіями фіброзу F1 і F2 справді складна. Були спроби провести діагностику тканин за допомогою морфології поверхні печінки, однак це не надає додаткової інформації, крім оцінки жорсткості печінки за допомогою ручної пальпації.

 

Зсувно-хвильова еластографія (SWE) – це інноваційне застосування для оцінки фіброзу та жорсткості печінки, яке все частіше використовується в клінічних умовах. Згідно з рекомендаціями з клінічної практики EASLALEH пацієнтам із підтвердженою етіологією цирозу печінки рекомендується SWE, щоб уникнути непотрібних процедур біопсії.3 Завдяки новітній архітектурі iBeam у Aplio i-series зображення SWE отримуються з кращою чутливістю та меншою кількістю артефактів.

У цій статті оцінюється корисність SWE для діагностики жорсткості печінки, а результати SWE, отримані під час клінічної оцінки, порівнюються з іншими сучасними методами для аналізу діагностичної точності.

 

Технічне підґрунтя зсувно-хвильової еластографії (SWE)

Еластографія зсувної хвилі (SWE) вимірює швидкість поширення зсувної хвилі в печінці для кількісного визначення жорсткості печінки.

 

Концепцію SWE можна пояснити на прикладі землетрусу. Під час землетрусу енергія, що вивільняється від руху розлому, породжує сейсмічні хвилі. Генерується первинна хвиля (P-хвиля), а потім вторинна сейсмічна хвиля (S-хвиля), яка поширюється набагато повільніше, ніж P-хвиля. S-хвиля (хвиля зсуву) коливає землю перпендикулярно до напрямку руху. S-хвилі поширюються швидше в твердій речовині, ніж у м’якій, оскільки їх частинки більш конденсовані. У випадку SWE імпульс поштовху, що випромінюється від датчика, подібний до руху несправності, генеруючи ультразвукову хвилю, яка деформує тканину печінки (Рис. 2a). Хвиля зсуву створюється під час деформації тканини.

 

Рисунок 1.

(a) Сейсмічні хвилі, виявлені на сейсмограмі на станції запису на земній поверхні.

(b) Р-хвиля – це перша виявлена хвиля, за якою слідує S-хвиля, вторинна хвиля, яка коливає землю вгору та вниз

 

Подібно до S-хвилі землетрусу, хвилі зсуву передаються перпендикулярно до ультразвукової хвилі (рис. 2b). У людському тілі зсувні хвилі передаються повільно зі швидкістю приблизно від 1 м/с до 10 м/с, завдяки чому їх можна виявити за допомогою діагностичної ультразвукової системи. Крім того, швидкість поширення істотно відрізняється в залежності від жорсткості тканини. Якщо в тканині є таке ураження, як пухлина, швидкість зсуву хвилі в цій області відрізняється від швидкості в навколишніх тканинах. Якщо ураження більш жорстке, зсувні хвилі поширюються швидше (рис. 2c), і навпаки. Зсувні хвилі, що поширюються, виявляються за допомогою імпульсів відстеження (рис. 2d).

Рисунок 2. Технічне підґрунтя зсувно-хвильової еластографії (SWE)

 

Однією з головних особливостей SWE в системах Aplio є те, що клініцисти можуть вибрати безперервне сканування (сканування в реальному часі) або одноразове (точкове) сканування, яке має вищу чутливість. Одноразове сканування є кращим для отримання SWE, а безперервне сканування корисне для оцінки областей, які відчувають артефакти руху. У нашому закладі ми вибираємо одномоментне сканування для отримання вищої якості зображення. Іншою важливою особливістю Aplio SWE є Smart Maps, що дозволяють клініцистам візуалізувати характеристики тканин або поширення зсувної хвилі. У нашому інституті ми використовуємо карту швидкості (м/с), карту пружності (кПа) і карту поширення (контур розповсюдження в часі) для оцінки жорсткості печінки (рис. 3).

Швидкість (м/с)

Жорсткість (кПа)

Поширення хвилі

Рисунок 3. Smart Maps

 

Надійність проведення SWE дослідження

Карта поширення (контур розповсюдження в часі) служить індикатором надійності для збору даних SWE, щоб підвищити точність діагностики та надійність між операторами. Карта поширення відображає хвильові фронти зсувної хвилі через фіксований інтервал часу, показуючи, чи плавно поширюються зсувні хвилі (рис. 4). Відстань між контурними лініями ширша в більш жорстких тканинах через довший часовий інтервал (рис. 5). У областях з паралельними контурними лініями зсувні хвилі поширюються плавно, а надійність збору даних висока. У областях, де контурні лінії спотворені або не паралельні, надійність збору даних є низькою. Іншими словами, надійність збору даних можна просто перевірити, спостерігаючи за контурними лініями (рис. 6).

Рисунок 4. Принцип карти поширення               

М’який об’єкт

                     Жорсткий об’єкт

 

Рисунок 5. Карта поширення на жорсткому та м'якому об’єкті

 

Хоча колір не наноситься на карту в областях, де неоднорідність надто велика, наприклад вплив судин або акустичного затінення, поширення зсувної хвилі все ще можна чітко спостерігати у зоні інтересу для надійності отримання SWE. Крім того, відображення розповсюдження хвилі дозволяє перевірити надійність даних у більш глибоких областях, де затухання високе. Як обговорювалося вище, карта поширення є дуже корисним інструментом для перевірки надійності збору даних і для вибору оптимальних позицій для вимірювання швидкості зсувної хвилі.

        Рівномірне поширення

Хаотичне поширення

 

Рисунок 6. Достовірність відображення поширення зсувної хвилі

 

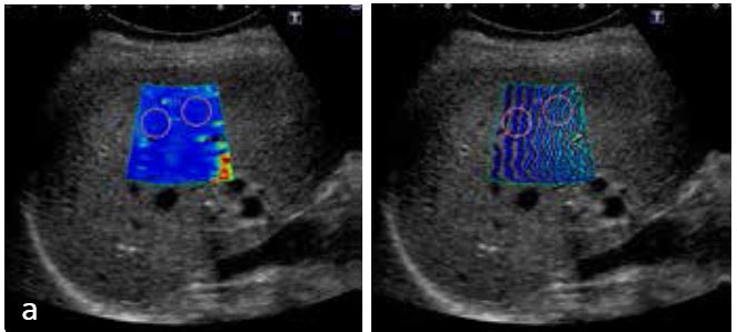
Наприклад, у пацієнта з важким ожирінням печінки та товщиною шкірної складки 3 см можна отримати дані з підтвердженою надійністю, визначивши область, в якій зсувні хвилі поширюються рівномірно, використовуючи карту поширення та вимірявши швидкість зсувних хвиль в межах області (рис. 7).

Рисунок 7. Пацієнт із важким ожирінням печінки. У верхній правій частині зображення на карті поширення спостерігаються паралельні лінії розповсюдження хвилі. Дані вимірювань можна перевірити на надійність у таких областях.

 

Покращення дослідження SWE на Aplio i-series

Інноваційна архітектура iBeam, вбудована в Aplio i-series, формує тонкі промені, що значно підвищує чутливість отримання даних SWE та більш стабільні результати. Швидкість зсувної хвилі визначається з меншою кількістю артефактів, і значення можна точніше відобразити в зоні інтересу. Тепер лікарі можуть отримувати дані SWE швидше та легше під час обстеження.

 

У нашому інституті ми використовуємо систему Aplio 500 Platinum, для досліджень SWE з 2014 року. Ми порівняли серії Aplio 500 та Aplio i-series, щоб побачити відмінності систем. Коефіцієнт кореляції між системами становить 0,96, демонструючи чудову послідовність.

 

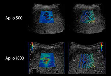
У пацієнтів з метастазами в печінці часто відображаються вищі значення швидкості зсувної хвилі. Швидкість зсувної хвилі у 50-річної жінки з метастазами в печінці (рис. 8) розраховували за допомогою Aplio 500 та Aplio i800. На Aplio i800, на зображенні у B-режимі чітко зображено паттерн «бичаче око» на ураженні. Карта швидкості чітко продемонструвала жорсткість внутрішньої частини ураження, а карта поширення показала, що розповсюдження були більш паралельними, що дозволило краще інтерпретувати отримання SWE. Тонкий промінь дозволяє отримати менше артефактів від таких структур, як судини.

Рисунок 8. Порівняння Aplio 500 і Aplio i800 у випадку 50-річної жінки з метастазами в печінці

 

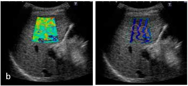
Режим чотирикадрового відображення (Quad View) для SWE доступний на Aplio i-series і дозволяє одночасно спостерігати за картою швидкості/еластичності, картою поширення, В-режимом та дисперсійною картою, яка є новою програмою для оцінки в’язкості печінки (рис. 9). Кількісне визначення швидкості зсувної хвилі, еластичності та дисперсії зсувної хвилі відображаються в режимі Quad View, що полегшує діагностичну ефективність, оскільки діагности можуть виконувати комплексний аналіз, досліджуючи різні характеристики тканин.

Рисунок 9. Еластографія зсувної хвилі в режимі QuadView: 70F, F3 NASH (а) SWE, (b) SWD, (c) В-режим, (d) Карта поширення

 

Клінічне значення SWE для оцінки жорсткості печінки

Клінічні випадки від пацієнтів з різними стадіями фіброзу були отримані в нашому закладі в період з січня 2014 року по квітень 2016 року. Жорсткість печінки вимірювалася за допомогою двох різних ультразвукових моделей, після чого проводилася біопсія. Потім порівнювалась кореляція між двома моделями ультразвукових систем. Результати SWE, отримані за допомогою Aplio i-series та Aplio 500, порівнювали з показником METAVIR (фіброз/активність) за результатами біопсії печінки. Крім того, граничне значення для цирозу печінки було отримано з клінічних даних.

 

Нижче наведено випадок F1/A1 (хронічний гепатит) і випадок F4 (цироз) зі швидкістю зсувної хвилі 1,51 м/с і 3,32 м/с відповідно (рис. 10).

 

На основі кольорової карти колір змінюється з синього на жовтий/червоний, коли швидкість зсувної хвилі збільшується. Лінії на карті розповсюдження широко розділені в F4. Обидва випадки демонструють рівномірне поширення зсувних хвиль. Великі структури, такі як кровоносні судини на карту не потрапляють.

 

Транзиторна еластографія (TE, FibroScan®) наразі вважається золотим стандартом визначення стадії фіброзу. Повідомляється, що жорсткість, виміряна за допомогою TE, пропорційна ризику розвитку раку печінки, що доводить важливість оцінки жорсткості печінки. Чудовий коефіцієнт кореляції 0,90 був отриманий при порівнянні SWE з TE, демонструючи SWE як надійний інструмент для аналізу фіброзу.

 

При оцінці жорсткості печінки за допомогою SWE швидкість зсувної хвилі (м/с) збільшується, коли фіброз прогресує від F0 до F4, і існує статистично значуща різниця між різними стадіями фіброзу. В останні роки спостерігається тенденція до зростання пацієнтів із запаленням печінки, таким як NASH і гепатит. Прогресування фіброзу при хронічному гепатиті зазвичай супроводжується запаленням. Однак існує лише статистично значуща різниця між A1 і A2.

Згідно з результатами, отриманими в нашому закладі, порогове значення для цирозу печінки при SWE становить 2,02 м/с. Пацієнти, у яких швидкість зсуву хвилі дорівнює або перевищує 2,02 м/с, свідчить про діагноз цирозу печінки. Площа під кривою ROC становила 0,932, що демонструє чудову діагностичну точність SWE при обстеженні цирозу.

Середнє значення: 1,51 м/с. F1, A1 (хронічний гепатит)

Середнє значення: 3,32 м/с. F4 (цироз)

Рисунок 10. (а) Випадок хронічного гепатиту та випадок (б) цирозу печінки

Рисунок 11. Порівняння SWE з біопсією печінки з використанням оцінки Metavir за активністю фіброзу.

Рисунок 12. Крива ROC для діагностики цирозу печінки за допомогою SWE. Площа під кривою ROC становить 0,932, демонструючи результати з чудовою діагностичною точністю. Граничне значення для F1-F3 проти F4 становить 2,02, припускаючи, що F4 додатне.

 

Висновок

SWE в системах Aplio визнано надійним і ефективним інструментом для діагностики фіброзу. SWE продемонструвала чудову кореляцію з іншими технологіями, включаючи біопсію печінки та ТЕ. За допомогою клінічної оцінки було підтверджено, що швидкість зсувної хвилі, виміряна SWE, збільшується пропорційно зі ступенем фіброзу.

 

Карта поширення дозволяє спостерігати, чи плавно поширюються зсувні хвилі через тканину печінки, дозволяючи перевірити достовірність отриманих даних. За допомогою Aplio очікується, що надійні дані можна буде отримати під час одного обстеження шляхом спостереження контуру розповсюдження в часі зсувної хвилі.

 

Підвищена чутливість у зборі даних SWE із серією Aplio i та функцією Quad View дозволяє клініцистам виконувати дослідження SWE швидше та простіше.

 

Довідковий матеріал

1. Masuzaki, Ryota, et al. "Prospective risk assessment for hepatocellular carcinoma development in patients with chronic hepatitis C by transient elastography." Hepatology 49.6 (2009): 1954-1961.

2. Bedossa, Pierre, Delphine Dargere, and Valerie Paradis. "Sampling variability of liver fibrosis in chronic hepatitis C." Hepatology 38.6

(2003): 1449-1457.

3. European Association for Study of Liver. "EASL-ALEH Clinical Practice Guidelines: Non-invasive tests for evaluation of liver disease severity and prognosis." Journal of hepatology 63.1 (2015): 237.

Останні новини та події