Категорії новин:

Детектор PUREViSION в клінічній практиці

Доктор Рассел Булл Королівська лікарня Борнмута,

Великобританія


Вступ

У листопаді 2013 року в нашому закладі було встановлено систему КТ 3-го покоління Aquilion ONE, яка стала першою у своєму роді за межами Японії. Ця третя ітерація системи КТ динамічного об'ємного сканування прийшла з багатьма новими удосконаленнями, найголовнішими з яких є унікальний детектор, який став відомий як детектор PUREViSION (мал. 1), коли був представлений через рік на зустрічі RSNA у 2014 році.

 

Завдяки інноваційним досягненням у виробничих технологіях було показано, що детектор PUREViSION забезпечує збільшення світловіддачі на 40% порівняно з детекторами традиційного виробництва, про що свідчать інженерні вимірювання на заводі. Крім того, завдяки мініатюризації в системі збору даних (DAS) на інтегральній схемній платі, показники показали зниження електронного шуму на 28%1 . За прогнозами, ці статистичні дані призвели до значної економії дози опромінення до 40%. Уже побачивши, що дози скоротилися більш ніж удвічі із запровадженням ітераційної реконструкції (AIDR 3D), я спочатку був скептично налаштований, що після клінічного використання ці заяви стануть реальністю.

 

Як виявилося, цей прорив у технології виробництва детекторів надав ще більше переваг нашим пацієнтам і фактично заощадив нам гроші.

 

Рис. 1 Детектор PUREViSION для Aquilion ONE та Aquilion ONE /ViSION Edition має 16 см анатомічного покриття за одне обертання гентрі.

Початкові результати

Два незалежні аудити були проведені в нашій установі в липні/серпні 2013 р. та березні 2014 р. у рамках перевірки дози КТ серця Британського товариства візуалізації серцево-судинної системи (BSCI). Нашими сканерами, які брали участь у цих перевірках доз, були Aquilion ONE та Aquilion ONE з детектором PUREViSION відповідно. Усі послідовні пацієнти були включені в обидва аудити без виключень.

 

Час обертання (0,35 с), середній індекс маси тіла (27), середня частота серцевих скорочень (56 уд/хв). Шум зображення був ідентичним в обох групах. У всіх пацієнтів використовувався автоматичний контроль експозиції (SUREExposure 3D), а реконструкція зображення проводилася за допомогою AIDR 3D.

 

Медіана DLP на Aquilion ONE із PUREViSION становила 77,5 мГр·см (1,08 мЗв) у порівнянні з середнім значенням DLP 139 мГр·см (1,9 мЗв) на нашому попередньому Aquilion ONE (мал. 2). Це являє собою вражаюче зниження дози випромінювання на 44%, яке можна пояснити лише покращеною ефективністю детектора PUREViSION.

 

Малюнок 2 Пряме порівняння випромінювання фотонів сцинтилятора PUREViSION і сцинтилятора звичайного виробництва демонструє 40% збільшення світловипромінювання.

Примітно, що ми не змінили жодного аспекту нашого протоколу сканування між двома системами. Зменшення дози було автоматично забезпечено складною автоматичною системою контролю експозиції, яка забезпечує бажану якість діагностичного зображення, яке було відкалібровано відповідно до нових рівнів ефективності детектора.2,3.

 

Придивившись ближче

Результати цього незалежного аудиту не тільки розвіяли будь-який скептицизм, але й знову розпалили хвилювання щодо володіння справді новаторською технологією, яка надає можливості змінити підхід до діагностики пацієнтів.

 

Ми переглянули середні рівні дози опромінення і якість зображення для широкого спектру обстежень та спостерігали аналогічне зниження дози для стандартних обстежень і покращену якість зображення на протоколах сканування наднизькими дозами. Це призвело до проекту, спрямованого на точне налаштування протоколів пацієнтів, щоб розширити межі нової технології.

 

Було три проспекти, які ми хотіли дослідити. По-перше, детектор PUREViSION дозволяв використовувати нижчий струм трубки, таким чином розширюючи популяцію пацієнтів, які могли бути досліджені з налаштуваннями низького кВ. Це, у свою чергу, дозволить нам зменшити дозу йодовмісного контрасту завдяки добре відомому ефекту K-edge (рис. 3). По-друге, покращена якість зображення за новими стандартами низької дози означала, що ми зможемо ще більше знизити дозу опромінення для всіх обстежень, але особливо для молодих пацієнтів, які більш чутливі до радіації. Нарешті, і це, мабуть, суперечливо, ми хотіли мати можливість пропонувати КТ-обстеження з надзвичайно низькими дозами як альтернативу звичайному рентгенологічному дослідженню, якщо відповідні клінічні показання.

Малюнок 3 на цьому графіку показано раптове збільшення щільності HU йоду при (і вище) 33 кеВ через ефект К-edge.

 

Зниження дози контрасту

Сканування з низьким кВ генерує більшу частку фотонів з нижчою енергією на енергетичному рівні трохи вище енергії електронів K-оболонки йоду при 33,2 кеВ. Фотони з такою ефективною енергією та трохи вище, швидше за все, поглинаються йодом, що призводить до збільшення щільності HU контрастної тканини на отриманих зображеннях. Це дозволяє отримати еквівалентне посилення, використовуючи набагато менші дози йодного контрасту порівняно зі звичайним скануванням 120 кВ.

 

Сканування з низьким кВ генерує менше фотонів для заданого струму трубки і традиційно не застосовується для пацієнтів з високим ІМТ через погане співвідношення сигнал/шум у баріатричних пацієнтів зі звичайними системами детекторів тепер є нашою стандартною технікою КТ-ангіографії у пацієнтів з ІМТ до прибл. 35. У результаті ми змогли зменшити об’єми контрасту приблизно на 40% у цих пацієнтів, значно зменшивши ризик нефропатії, спричиненої контрастом. Крім того, тепер ми можемо набагато безпечніше проводити обстеження з ультранизькими дозами контрасту у пацієнтів із порушенням функції нирок (мал. 4-6).

 

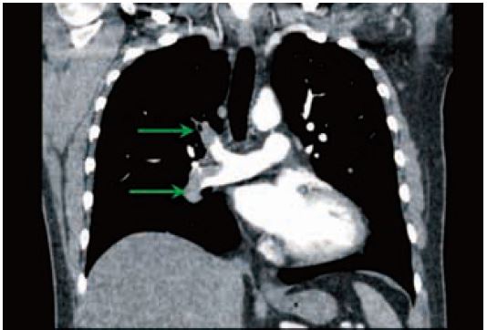
Рис. 4 Звичайна ангіографія – ІМТ 26,80 kVp. 45 мл ніопаму 370 при 3 мл/с. Доза 1,3 мЗв. Множинні правобічні емболії легеневої артерії (стрілки).

Рис. 5 КТ-ангіографія з вільним диханням та одним обертом – 80 кВ. 30 мл ніопаму 370 при 3 мл/с. Доза 0,5 мЗв. Велика емболія легеневої артерії закупорює праву легеневу артерію (стрілка).

Pис. 6 ТЕЛА та розшарування аорти можна виключити в одній ротації як правило, при <1 мЗв. 30 мл ніопаму 370 при 3 мл/с.

Подальше зниження дози радіації

«Настільки низько, наскільки це розумно досяжно» (ALARA) — це мантра, якої повинні дотримуватися всі, хто призначає іонізуюче випромінювання для діагностичної візуалізації. З посправжньому революційною новою технологією, такою як детектор PUREViSION, не можна зупинятися на досягнутому і слід ретельно досліджувати нові можливості.

 

Традиційно при візуалізації з низькою дозою, ділянки, які схильні до фотонного голодування, наприклад через плечі, часто погано візуалізуються. За допомогою детектора PUREViSION ми виявили, що можемо зменшити дозу для звичайних обстеженнь грудної клітки та все ще підтримувати адекватний сигнал/шум, що дозволяє безперешкодно отримати зображення через верхівки легень. Зменшення шуму DAS у цих областях з низьким вмістом фотонів було компенсовано для підтримки загального співвідношення сигнал/шум (рис. 7).

 

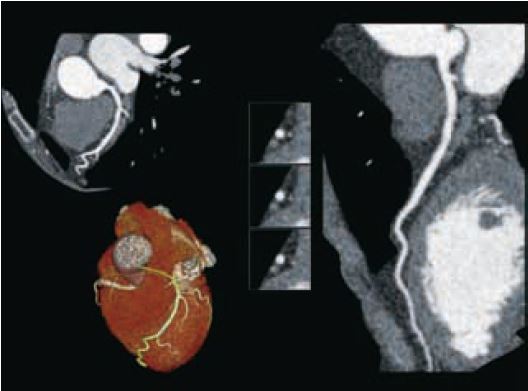
Наші типові пацієнти для обстеження КТА коронарних судин тепер отримують субмілізівертні дози опромінення з відмінною якістю зображення (рис. 8, 9). У молодих радіочутливих пацієнтів тепер ми можемо виконувати сканування значно нижче 0,5 мЗв, щоб відповісти на клінічне запитання (рис. 10). Таким прикладом є дослідження аномальних коронарних артерій, де справді все, що потрібно, — анатомічний огляд.

 

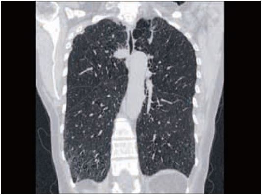
Рис.7 Рутинне сканування легень 0,5 мм. Загальний DLP 46 (0,8 мЗв)

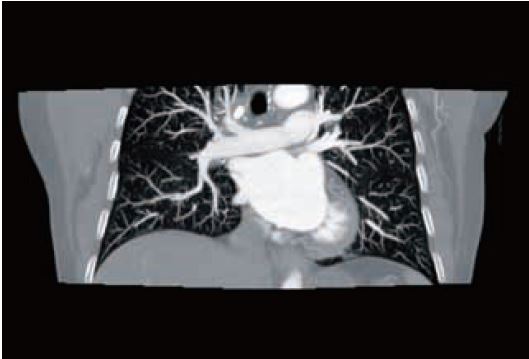
Рис. 9 Кт-коронарографія. DLP 30 (0,4 мЗв).

Рис. 8 КТ-ангіографія коронарних судин. ІМТ 26. Критичний стеноз LAD (стрілка). Доза 0,8 мЗв

Рис.10 Попереднє планування абляції лівого передсердя. DLP 7 (0,1 мЗв)

Заміна традиційної рентгенограми

З наявною технологією зменшення дози, включаючи ітераційну реконструкцію AIDR 3D, у поєднанні з новими стандартами ефективності детектора, цілком можливо проводити КТ діагностичної якості з дозою, еквівалентною стандартному рентгенівському обстеженню. Звичайно, ці КТ з надзвичайно низькою дозою наразі не підходять для низькоконтрастних зображень, але вони цілком достатні та набагато перевершують набір рентгенограм для багатьох клінічних показань, що включають висококонтрастне окреслення. Попередні обмеження екстремального фотонного голодування просто більше не застосовуються (рис. 11,12).

 

Як постійний напрямок досліджень у нашому закладі, ми почали повільно замінювати рентген, де це необхідно. Наприклад, КТ-дослідження легеневих вузликів можна отримати за допомогою еквівалентних доз рентгенівського випромінювання та запропонувати виняткову діагностичну точність.

 

Вважаю, що в майбутньому для більшості обстежень рентген буде замінено комп’ютерною томографією. Хоча ця точка зору є суперечливою, ми повинні враховувати поточну реальність, коли багато пацієнтів із сумнівними результатами рентгенівського обстеження переходять на КТ у будь-якому випадку, що призводить до непотрібного випромінювання та непотрібних затримок. У майбутньому ми зможемо одночасно покращити обслуговування пацієнтів, зменшити вартість лікування та збільшити пропускну здатність шляхом заміни рутинних рентгенівських досліджень.

 

Рис. 11 КТ грудної клітки з ультранизькою дозою. 0,1 мЗв - 35- річна жінка. Голка у лівому головному бронху. DLP 6

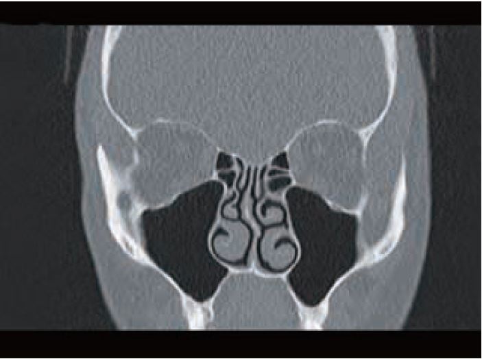
Рис. 12 КТ верхньощелепної пазухи. 0,02 мЗв – жінка 60 років. Доза: DLP 8,9

Висновок

Як радіолог із 20-річним стажем роботи, я бачив великий прогрес у технології КТ. Починаючи з кінця 1990-х, гонка багаторядних детекторів із постійно зростаючою кількістю зрізів сповістила про технологічний прорив у використанні КТ. Це зростання не було б стійким або навіть допустимим без різкого прогресу в стратегіях зменшення дози.

 

Сьогодні у нас є детектор PUREViSION, який зменшив дозу більш ніж на 40%. Завдяки цій революційній технології ми можемо сканувати пацієнтів із меншою дозою опромінення та мінімальним об’ємом йодного контрасту, і ми навіть можемо виконувати КТ-обстеження з рівнями доз, еквівалентними рентгенівському обстеженню, що відкриває нові можливості в діагностиці пацієнтів.

 

Список літератури:

1. Hall J - PUREViSION detector

2. Angel E - SUREExposure

3. Zhang D, Ayala R - Auto Couch Height Position

    Compensation - Making SUREExposure a Smarter Dose

     Reduction Tool

 

Останні новини та події