Категорії новин:

Клінічні випадки дослідження колінних суглобів з використанням спеціалізованої котушки для коліна

В центрі радіо- та медичної діагностики, О-де-Сен, Франція, де встановлено МРТ-систему Vantage Titan 1,5Т  придбали 16-канальну котушку для дослідження коліна (Tx/Rx Knee SPEEDER). Лікар Парієнті каже, що «Ця котушка дозволяє нам постійно отримувати зображення високої якості, з однорідним придушенням жиру та низьким рівнем шуму».

 

Випадок 1. Велике коліно

Історія пацієнта:

Жінка 67 років скаржиться на постійний медіальний біль у коліні.

 

Результати обстеження:

  • Відносно рясний внутрішньосуглобовий випіт.
  • Остеоартритне ураження стегново-гомілкового суглоба в медіальній частині зі змінами субхондральної кістки, що може відповідати стресовому перелому.
  • Дегенеративна сторона заднього рогу медіального меніска.

 

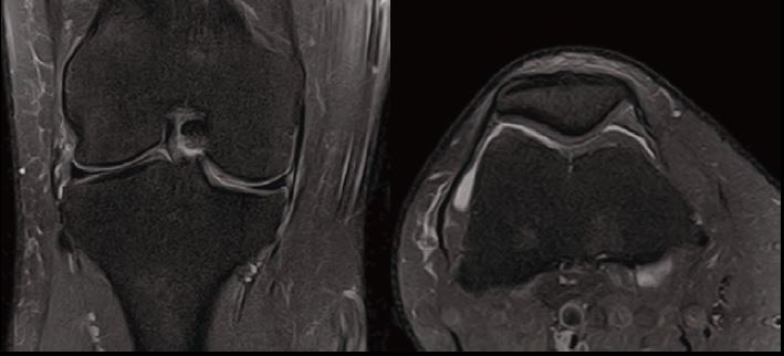
Рис. 1 Sg T2 FS, товщина зрізу 3 мм, роздільна здатність 0,4 мм.

Рис. 2 Sg FSE T1, товщина зрізу 3 мм, роздільна здатність 0,4 мм.

Рис. 3 Co FSE PD FS, товщина зрізу 3 мм, роздільна здатність 0,6 мм.

Рис. 4 Axe FSE PD FS, товщина зрізу 3 мм, роздільна здатність 0,6 мм.

Випадок 2. Коліно високої роздільної здатності

Історія пацієнта:

Чоловік 26 років проходить посттравматичну діагностику, є скарга на біль.

 

Результати обстеження:

  • Відсутність травматичного пошкодження.

 

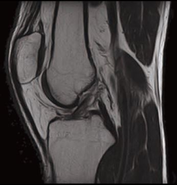
Рис. 5 Sg FSE T2 FS і Sg FSE T1, товщина зрізу 3 мм, роздільна здатність 0,2 мм.

Рис. 6 Sg косий FSE T2, товщина зрізу 2 мм, роздільна здатність 0,2 мм.

Рис. 7 Co FSE PD FS, товщина зрізу 3 мм,

роздільна здатність 0,2 мм.

Випадок 3. Сканування коліна лише за 5 хвилин

Історія пацієнта:

Чоловік 52 років скаржиться на біль і функціональні порушення за відсутності попередньої травми.

 

Результати обстеження:

  • Внутрішня феморо-тибіальна хондропатія з невеликим внутрішньо суглобовим лопатковим випотом без будь-якої іншої суттєвої аномалії.

Рис. 8 Sg FSE T2 FS і Sg FSE T1, товщина зрізу 3,5 мм, роздільна здатність 0,6 мм.

Рис. 9 Co FSE PD FS, товщина зрізу 3,5 мм, роздільна здатність 0,6 мм.

Рис. 10 Axe FSE PD FS, товщина зрізу 3,5 мм, роздільна здатність 0,6 мм.

Останні новини та події