Категорії новин:

Як метод розділення води і жиру призводить до покращення діагностичних можливостей обстеження

 

 

 

 

Акіхіко Аракава
Центральне радіологічне відділення,
Лікарня Сайсейкай Кумамото

Розгляд прикладів клінічного застосування

 

Вступ

Отримання зображень з придушенням жиру є дуже важливим у деяких клінічних випадках. Однак для отримання таких зображень потрібен більший час обстеження, оскільки потрібно виконати більшу кількість сканувань. Крім того, ефективність обстеження може бути додатково знижена, якщо необхідне повторне отримання через недостатнє придушення жиру, викликане неоднорідністю магнітного поля.

 

У методі розділення води та жиру під назвою WFS DIXON сигнали від води та жиру розділяються на основі різниці фаз між резонансними частотами води та жиру. Це дозволяє отримати чотири типи зображень: зображення у фазі, зображення поза фазою, зображення води та зображення жиру. З даних, отриманих під час одного сканування, можна отримати зображення з різноманітними характеристиками тканинного контрасту, що дозволяє скоротити загальний час обстеження. У цій статті ми розповідаємо про досвід використання технології послідовності WFS DIXON, розробленої Canon Medical.

 

Підвищення ефективності обстеження

На рис. 1 наведено клінічний випадок карциноматозного менінгіту та кісткових метастазів первинного раку легень. Таким пацієнтам необхідно періодично проходити МРТ всього хребта, але вони можуть відчувати дискомфорт через тривалість обстеження. Раніше для отримання двох типів зображень (T1-зважених зображень і T1-зважених зображень з придушенням жиру) загальний час дослідження становив приблизно 15 хвилин.

 

З іншого боку, коли використовується WFS DIXON, T1-зважені зображення та T1-зважені зображення придушення жиру можна отримати за одне сканування, що призводить до значного скорочення часу обстеження. Переваги меншого часу обстеження в контрастній візуалізації всього хребта (яка, як правило, займає відносно багато часу) полягають у значному зниженні навантаження на пацієнта, а також скороченні часу перебування в екзаменаційній кімнаті.

Рис.1. Т1-зважене зображення всього хребта зроблене за допомогою WFS DIXON. Зліва: зображення у фазі. Праворуч: зображення води. Під час одного сканування всього хребта можна отримати два типи зображень, що скорочує час обстеження.

Надзвичайно точна технологія придушення жиру

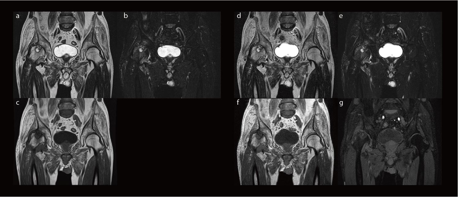
На рис. 2 наведено клінічний випадок остеоартрозу кульшового суглоба. Замість виконання трьох окремих сканувань для отримання трьох типів зображень (T2-зважених, STIR і T1-зважених зображень) було виконано два сканування за допомогою WFS DIXON для отримання чотирьох типів зображень. Чітко видно кісту правого кульшового суглобу завдяки відмінному співвідношенню сигнал/шум.

Рис.2. Ліворуч: зображення, отримані традиційним методом. (a) T2WI, (b) T2WI STIR, (c) T1WI. Праворуч: зображення, отримані за допомогою WFS DIXON. (Верхній ряд: T2WI WFS DIXON, нижній ряд: T1WI WFS DIXON) (d), (f): зображення у фазі, (e), (g): зображення води. Час сканування становив приблизно 5 хвилин для обох методів, але WFS DIXON надає чотири типи зображень, тоді як звичайний метод надає лише три типи зображень.

На рис. 3 наведено клінічний випадок полікістозу нирок. Нерівномірне придушення жиру іноді спостерігається на Т2-зважених зображеннях з придушенням жиру в черевній порожнині, але при використанні WFS DIXON жир пригнічується з високою точністю. Краї ураження чітко зображені, що полегшує отримання точних вимірювань об’єму функціональної області нирок.

Рис.3. Порівняння Т2-зваженого зображення з придушенням жиру (ліворуч) і зображення води (праворуч). На зображенні води жир у черевній порожнині ефективно пригнічується з високою точністю (стрілки).

 

Висновок

За допомогою WFS DIXON можна значно скоротити час обстеження та отримати дуже точні зображення придушення жиру. WFS DIXON від Canon Medical не тільки покращує ефективність зчитування зображення завдяки більш чіткому зображенню уражень, але й зменшує навантаження на пацієнтів, скорочуючи час обстеження. Цей метод застосовний до всього тіла та буде корисним у багатьох клінічних ситуаціях.

Останні новини та події