АКЦІЇ! ПЕРЕГЛЯНУТИ ПОВНИЙ ПЕРЕЛІК ДОСТУПНИХ ПРОПОЗИЦІЙ МОЖНА ТУТ
Категорії новин:
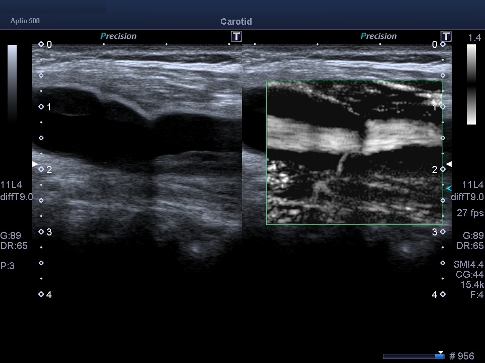
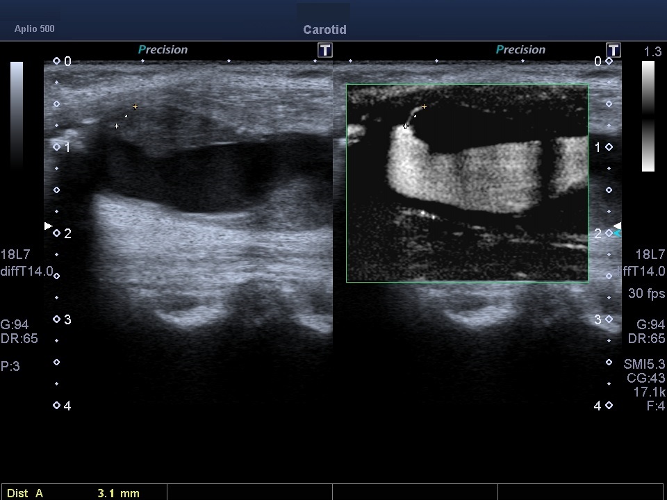
Неінвазивна неоваскуляриція каротидних бляшок з SMI
Значна частка ішемічних інсультів спричинена емболонебезпечними (нестабільними) бляшками сонної артерії з неоваскуляризацією всередині бляшок як ключовою ознакою її нестабільності. Неоваскуляризація не виявляється за допомогою звичайного доплерівського картування. Для проведення такої діагностики може використовуватися ультразвук з контрастом (CEUS, але його використання обмежене в клінічній практиці, оскільки вимагає внутрішньовенної ін’єкції контрасту. Особливу роль відіграє унікальна, неінвазивна, доплерівська мікросудинна візуалізація (SMI) без контрасту, що використовує алгоритм для усунення шумів та рухів стінок, зберігаючи при цьому низькошвидкісні сигнали кровотоку, що дозволяє оцінити ступінь неоваскуляризації бляшок. SMI є перспективною неінвазивною альтернативою CEUS для оцінки стабільності каротидних бляшок.
Раннє виявлення структурних змін судин дозволяє розробляти покази до лікування, методи хірургічного втручання та проводити оцінку ефективності методів проведеного лікування та профілактики.
Останні новини та події