Категорії новин:

Золотий стандарт діагностики фіброзу печінки

Хронічні захворювання печінки — одна з основних причин захворюваності і смертності в усьому світі: близько 800 тис. смертей у рік пов'язані з цирозом печінки. Безліч чинників викликають хронічні хвороби печінки: вірусні інфекції, зловживання алкоголем, неалкогольні жирові хвороби, захворювання жовчовивідних шляхів, аутоімунні захворювання, генетичні причини і порушення обміну речовин.


Фіброз печінки виникає в результаті її хронічного пошкодження. Причому більшість пацієнтів часто не відчувають ніяких симптомів, ознаки проявляються лише тоді, коли розвиваються такі ускладнення, як портальна гіпертензія, цироз і гепатоцелюлярна карцинома.
Саме встановлення ступеня фіброзу печінки дозволить визначити терміновість і вибір лікування, а також рекомендації щодо подальшого обстеження на цироз і гепатоцелюлярну карциному.


І хоча біопсія печінки ще недавно вважалася золотим стандартом для діагностики фіброзу печінки, така процедура має безліч недоліків: це інвазивне, небезпечне, недостатньо точне і малодоступне дослідження. З урахуванням всіх недоліків біопсія печінки є не «золотим», а «недосконалим» стандартом. Тому ситуація потребувала термінових змін.


Дані зміни людству приніс CANON MEDICAL.


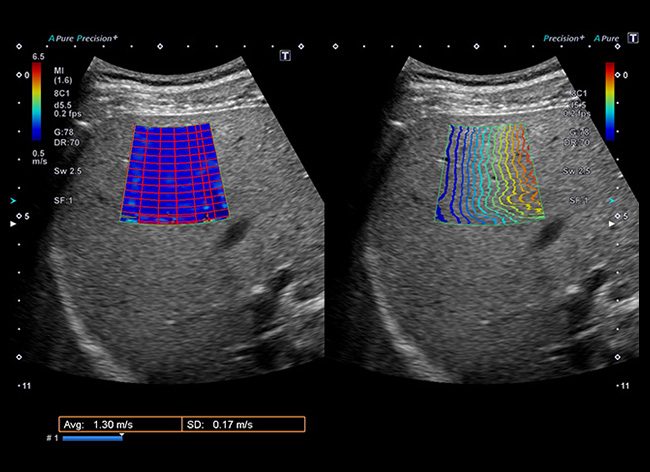
Саме застосування УЗД-апаратів від CANON MEDICAL повністю змінило стандарти діагностики фіброзу печінки — еластографія використовує ультразвук в реальному часі для оцінки еластичності тканин і є швидким, простим, відтворюваним і надійним методом неінвазивної оцінки фіброзу печінки.

 

Тобто еластографія – сучасний неінвазивний метод ультразвукової діагностики, який дозволяє оцінити ступінь фіброзу печінки при хронічних її захворюваннях.


Це безболісна і швидка процедура, яка не потребує спеціальної підготовки, — справжній золотий стандарт!


Для правильного трактування отриманих результатів нагадуємо вам, шановні колеги, шкалу фіброзу, адаптовану та рекомендовану для використання на приладах CANON MEDICAL.


Ultrasound Shearwave for Staging Liver Fibrosis: Preliminary Results of a Prospective Multicenter European Study
Stage Fibrosis Stage Speed (m/s) Elasticity (kPa)
F0-F1 Non significant < 1,54 < 7.1
≥ F2 Significant 1,54 - 1,78 7,1 – 9,5
≥ F3 Advanced 1,78 – 1,87 9,5 – 10.5
F4 Cirrhosis > 1,87 > 10.5


- Lim,A, Ronot,M, Ferraioli,G, Mueller,H, Friedrich-Rust,M, Cosgrove,D, Filice,C, Vilgrain,V
- Radiological Society of North America 2016 Scientific Assembly and Annual Meeting, November 27 - December 2, 2016, Chicago IL. archive.rsna.org/2016/16009227.html Accessed November 30, 2016.

 

Останні новини та події