Категорії новин:

Інноваційна система візуалізації високої чіткості (Hi-Def) для складних інтервенційних кардіологічних процедур

Нова лінійка інтервенційних систем Alphenix, оснащена детекторами високої чіткості*, допомагає клініцистам побачити найдрібніші деталі з  високою чіткістю та точністю під час інтервенційних процедур.

 

Найвища роздільна здатність, яка допомагає лікарям побачити найдрібніші деталі

Інтервенційні ангіографічні системи Alphenix оснащені абсолютно новим ексклюзивним детектором високої чіткості (Hi-Def)* із режимом зображення з розміром пікселя у 76 мікрон, що допомагає лікарям чітко візуалізувати анатомічні деталі та впевнено проводити інтервенційні процедури.

 

Це перший в світі детектор високої чіткості – з більш ніж удвічі більшою просторовою роздільною здатністю1, ніж у звичайних плоскопанельних детекторів (FPD). Цей унікальний гібридний FPD 30 х30 см (12 x 12 дюймів) поєднує технологію зображення високої чіткості на основі кристалічного кремнію, що підвищує просторову роздільну здатність до 6,6 пар ліній на міліметр.

 

Звичайний детектор

Hi-Def детектор

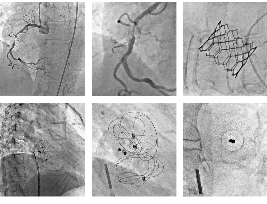
Вишукана детальна візуалізація ураження, структури клапана та оклюдера, отримана за допомогою Hi-Def при FOV 8 х 8 см (3") (посередині та справа) порівняно з FPD 12" (ліворуч) під час різних процедур.

Надано Салманом А. Арейном, доктором медичних наук, FACC, FSCAI, і Річардом Смоллінгом, доктором медичних наук, FACC, MSCAI, Науковий центр охорони здоров’я Техаського університету в Х’юстоні, штат Техас.

 

Ефективний та плавний робочий процес

Інтервенційна ангіографічна система Alphenix пропонує стандартні режими з полями огляду (FOV) 30 х 30 см (12 дюймів), 25 х 25 см (10 дюймів), 20 х 20 см (8 дюймів), 15 х 15 см (6 дюймів), 10 х 10 см (4,3 дюйма) та три режими високої чіткості з полями огляду (FOV) 8 х 8 см (3 дюйма), 4,5 х 4,5 см (2,3 дюйма) або 3,9 х 3,9 см (1,5 дюйма), забезпечуючи підвищену просторову роздільну здатність з максимальною плавністю робочого процесу.

 

Удосконалена глибина квантування у 16-біт Alphenix, включаючи трифазну обробку зображень Illuvis і технологію пригнічення шумів, забезпечує отримання чистих, різких та чіткішіх зображень під час інтервенцій з покращеною візуалізацією судин та пристроїв.

 

 

*Доступно як опція для систем Alphenix Core+ і Biplane із 12-дюймовими детекторами

1 Тестування продемонструвало можливості візуалізації із кращою у 2,5 рази роздільною здатністю

Останні новини та події