Категорії новин:

Інтервенційна кардіологія. Розширені програми для візуалізації "ImagingRite"

Набір інструментів для обробки зображень дозволяє клініцистам планувати, бачити та керувати процесом підготовки та проведення втручання. У поєднанні з програмним забезпеченням Vitrea™ від Vital лікарям стають доступні інструменти, що допомагають їм проводити інтервенційні дослідження, зокрема сьогодні ми розглянемо 3D цифрову ангіографію (3D DA) та Alpha CT візуалізацію – Cone Beam CT.

 

 

3D DA (Alpha CT Vessel)

Обертання С-дуги у комбінації із високою швидкістю «зйомки» може використовуватися для створення 3D реконструйованих об’ємів анатомії судин. Отриманий 3D-об’єм судин можна обертати в будь-якому напрямку, щоб надати клініцистам додатковий огляд анатомії, та допомогти їм у діагностиці та лікуванні під час інтервенційних процедур. Огляд зображень, отриманих за допомогою 3D-ротаційної візуалізації, дозволяють лікарям візуалізувати різну анатомію судин, таку як ділянки стенозу, відрив аномальної судини, судину, що живить АВМ, та інші патології зі всіх ракурсів.

Лікарі можуть використовувати цю об’ємну візуалізацію судин під час маніпулювання катетером чи іншим пристроєм у судині.

 

Alpha CT (Cone Beam CT)

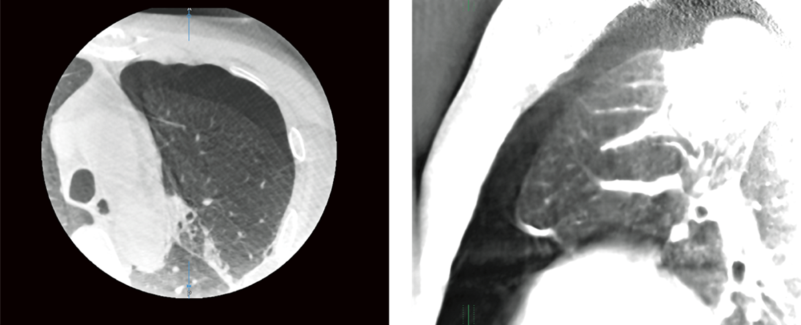
Alpha CT основується на даних, отриманих під час обертальних рухів C-арки. Рекоструйований 3D об’єм можна перенести на робочу станцію (AWS) для перегляду. Об’ємна візуалізація (VR), проекція максимальної інтенсивності (MIP), мультипланарна реконструкція (MPR), осьовий, сагітальний та корональний вигляд можуть використовуватися для візуалізації цільової анатомії/патології, таких як придаток лівого передсердя, пневмо- або гемотораксу або перикардіального випоту.

 

MPR зображення з Alpha CT легенів показує пневмоторакс після біопсії

 

Alphenix включає кілька можливостей обробки, які можна використовувати з Alpha CT:

  • Зменшення артефактів від металу (MAR)
  • Фільтр візуалізації стента (підходить для візуалізації внутрішньочерепних стентів)
  • Device Fusion (дозволяє накладати інший пристрій після обробки на кровоносну судину, щоб допомогти клініцистам підтвердити точне розміщення)

 

Техніка Device Fusion до і після встановлення стента

 

Даним функціоналом можна доповнити вашу ангіографічну систему модельних рядів Alphenix чи Infinix виробництва Canon Medical Systems та Toshiba Medical Systems. За більш детальною інформацією звертайтесь до наших спеціалістів за наступними контактними даними: +38 044 338-00-95 office@inmedua.com

Останні новини та події