Категорії новин:

Оцінка тазового дна за допомогою ультразвуку: корисний інструмент

Доктор Хосе Антоніо Гарсіа Мехідоa, b

Професор Хосе Антоніо Сайнс Буеноa, b

a.Відділення акушерства та гінекології, Університетська лікарня Вальме, Севілья, Іспанія

b.Кафедра акушерства та гінекології, медичний факультет, Севільський університет, Іспанія

 

Вступ

Застосування ультразвуку для дослідження розладів тазового дна є широко поширеним діагностичним інструментом у клінічній практиці (як описано в огляді AIUM/ IUGA, опублікованому в 2019 році), та корисним для лікування майже всіх дисфункцій тазового дна. Серед ультразвукових методів, які застосовуються для обстеження тазового дна, ми виділяємо перинеальне УЗД тазового дна (конвексний датчик 4-8 МГц), оскільки воно зменшує дискомфорт пацієнта та не змінює анатомію під час обстеження, на відміну від того, що може статися з внутрішньопорожнинними датчиками.

 

Перевага ультразвукового дослідження промежини тазового дна перед фізикальним обстеженням полягає в зменшенні можливих факторів, що вводять в оману, таких як:

  • Оцінка наповнення прямої кишки або сечового міхура;
  • Оцінка коактивації м'язу-підіймача відхідника;
  • Встановлення тривалості маневру Вальсальви.

 

Ультразвукове дослідження органів малого тазу

Для УЗД промежини тазового дна потрібен конвексний датчик 4-8 МГц і стандартна конфігурація ультразвукової системи

(мал. 1):

  • Максимальний кут огляду, завдяки конвексному датчику (найближче до 90 градусів);
  • Оптимальна глибина для візуалізації всіх органів малого тазу, як правило, менше 10 см;
  • Одна або дві фокальні зони в центрі досліджуваної структури;
  • Висока частота сканування;
  • Оптимізація підсилення та динамічного діапазону для отримання високоякісного зображення, яке ретельно розрізняє кожну анатомічну структуру;
  • Ретельна підготовка датчику (достатня кількість гелю для УЗД, захисне покриття), щоб уникнути появи бульбашок повітря;
  • Розташування датчика на промежині з найменшим тиском і без зниження якості зображення.

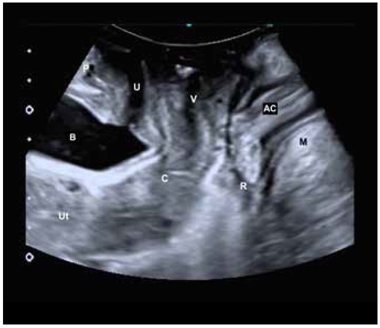
Малюнок 1. Схематичний малюнок датчика та таза. P: Лобок, U: Уретра, B: Сечовий міхур, V: Піхва, C: Шийка матки,    Ut: Матка, AC: Анальний отвір, R: Пряма кишка, M: М'яз-підіймач відхідника (LAM)

 

2D ультразвукове дослідження органів тазового дна

Референтною площиною для двовимірного ультразвукового дослідження тазового дна є середньосагітальна площина, ідеальна орієнтація якої виходить із краніо-вентральної області зліва та дорсо-каудальної області справа (мал. 2).

 

Анатомічні структури, включені в цю площину, зліва направо: лобковий симфіз, уретра та сечовий міхур, піхва та глибше матка, пряма кишка, анальний канал і центр м’яза-підіймача відхідника (LAM) (мал. 2). Під час скорочення LAM наближається до лобка, викликаючи підняття тазових органів, а під час Вальсальви протилежний ефект викликає опускання цих структур.

Малюнок 2. Середньосагітальна площина. P: Лобок, U: Уретра, B: Сечовий міхур, V: Піхва, C: Шийка матки, Ut: Матка, AC: Анальний отвір, R: Пряма кишка, M: М'яз-підіймач відхідника (LAM)

3D ультразвукове дослідження органів тазового дна

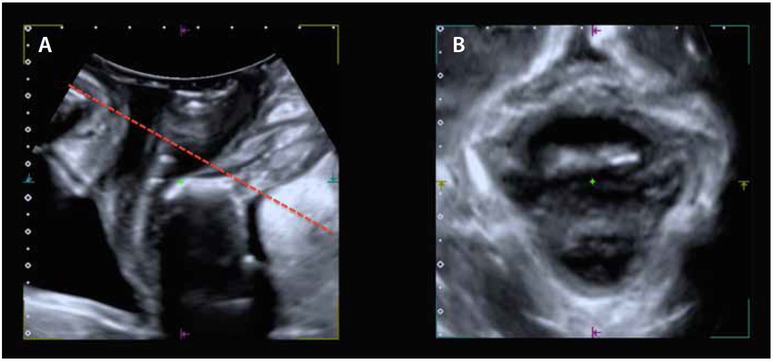
Аксіальне дослідження LAM зосереджено на площині мінімальних розмірів діафрагми, обмеженої області в його передній частині та каудальною частиною лобкового симфізу, а в його задній частині — аноректальним кутом, акцентованим центральною частиною LAM (мал. 3A). Тривимірне ультразвукове дослідження тазового дна дозволяє візуалізувати аксіальну площину, дозволяючи оцінити LAM та урогенітальний гіатус (мал. 3B).

 

3D ультразвукове дослідження виконується датчиками з кутом сканування 85° (для отримання повного об’єму LAM). Об’ємне обстеження складається з трьох ортогональних зображень і «відтвореного зображення» (напівпрозоре представлення вокселів із визначеної зони інтересу). Виконання 4D дослідження дозволяє проводити динамічну оцінку тазового дна в реальному часі.

На Малюнку 3. Зображено орієнтир площини мінімальних гіатальних розмірів (червона лінія), яка визначається каудальною частиною лобкового симфізу та аноректальним кутом (A). Площина мінімальних гіатальних розмірів (В)

 

Ультразвукова оцінка стресового нетримання сечі

Стресове нетримання сечі (SUI) з’являється щоразу, коли виникає дисбаланс між абдомінальним тиском і силою скорочення м’яза детрузора, спричинений недостатньою підтримкою в основі сечового міхура, що спричиняє переміщення уретра-сечового з’єднання під час маневру Вальсальви.

 

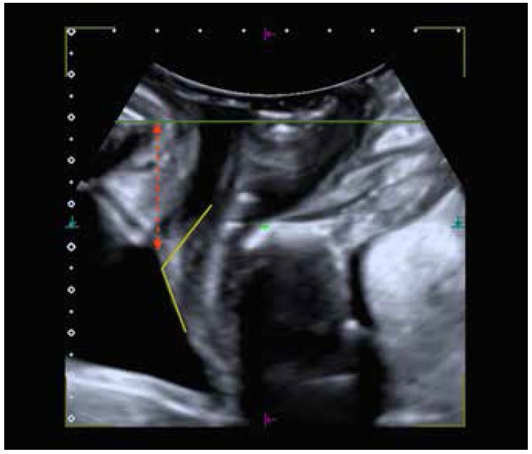
Основні заходи, які використовуються для оцінки гіпермобільності уретри:

  • Відстань між шийкою сечового міхура і лобковим симфізом: вертикальна відстань (пунктирна червона лінія на мал. 4) між шийкою сечового міхура та уявною горизонтальною лінією (зелена лінія на мал. 4), що проходить повз задньонижній край лобкового симфізу (мал. 4). Це найбільш аналізований і відтворюваний параметр для оцінки рухливості уретри у пацієнтів із SUI. Тим не менш, важко встановити точку відліку для діагностики SUI, тому його необхідно вивчати з урахуванням клінічного контексту пацієнта.
  • Ретровезикальний або задній уретровезикальний кут: кут, визначений між проксимальною віссю уретри та найближчою до уретри частиною задньої стінки сечового міхура (жовті лінії на мал. 4). Цей параметр також не має визначеної граничної точки для визначення SUI, однак це корисно для діагностики пролапсу тазових органів (POP) переднього відділу.

 

Інші критерії, що використовуються для діагностики SUI:

  • Воронкоподібність шийки сечового міхура: полягає у відкритті шийки сечового міхура під час навантаження. Це може свідчити про можливу внутрішню етіологію: сфінктер уретри як причина SUI

Малюнок 4. Він включає відстань між шийкою сечового міхура і лобковим симфізом (червоний колір) і ретровезикальний кут (жовтий).

Ультразвукове дослідження при пролапсі тазових органів (POP)

Пролапс тазових органів визначається як опущення органів малого таза з порожнини малого тазу, яке може охоплювати передню стінку піхви або сечовий міхур, задню або пряму кишкову стінку піхви, матку або звід піхви. Для ультразвукової оцінки POP вимірювання проводять від контрольної точки, встановленої уявною лінією (червона лінія на мал. 5), що проходить повз задньонижній край лобкового симфізу. POP є суттєво симптоматичним, якщо воно перевищує базову лінію на 10 мм у передньому відділі (жовта лінія на мал. 5) або на 15 мм у середньому (помаранчева лінія на мал 5) і задньому відділі (синя лінія на мал. 5).

Малюнок 5. Базова лінія, яка проходить повз задньонижній край лобкового симфізу (червона лінія). Пролапс тазових органів (POP) переднього (жовта стрілка), середнього (помаранчева стрілка) і заднього відділів

Оцінка переднього відділу

Рухливість уретри є основною змінною, яка використовується в ультразвуковій диференціальній діагностиці патології переднього відділу:

  • Одиночне цистоцеле (Green Type III): вертикальний спад ≥10 мм (пунктирна жовта лінія на мал. 6A) і ретровезикальний кут < 140º (синя лінія на мал. 6A).
  • Цистоуретроцеле (Green Type II): вертикальний спад ≥10 мм (пунктирна жовта лінія на мал. 6B) і ретровезикальний кут ≥ 140º (синя лінія на мал. 6B).

Малюнок 6. Середньосагітальне зображення під час маневру Вальсальви одиночного цистоцеле (A) і цистоуретроцеле (B).

Оцінка середнього відділу

Під час ультразвукової оцінки середнього відділу дуже важливо оцінити рухливість матки, щоб визначити різницю між опущенням матки та подовженням шийки матки без опущення матки. Параметром, який найкраще дозволяє діагностувати опущення матки, є різниця між станом спокою та маневром Вальсальви між лобково-матковим дном (червона лінія на мал. 7) понад 15 мм.

Малюнок 7. Діагностика опущення матки з різницею між положенням спокою (A) і положенням Вальсальви (B), відстань між лобком і матковим дном > 15 мм.

Оцінка заднього відділу

Ультразвукову диференційну діагностику патології заднього відділу необхідно проводити з перевіркою:

  • Ректоцеле: грижа передньої стінки прямої кишки у напрямку до піхви (мал 8A).
  • Ректоентероцеле: грижа ректоцеле поєднується з грижею тонкої кишки або іншого вмісту черевної порожнини у напрямку до піхви (мал. 8B).
  • Ентероцеле: випинання вмісту черевної порожнини в напрямку аноректального кута, що відокремлює піхву від ампули прямої кишки (мал. 8C).
  • Ректальна інвагінація: інвагінація передньої стінки прямої кишки в анальний канал на рівні кута аноректального каналу (мал. 8D).

Малюнок 8. Ультразвукова диференціальна діагностика заднього відділу: ректоцеле (A), ректоентероцеле (B), ентероцеле (C), ректальна інвагінація (D).

Хірургічні імплантати огранів малого тазу

Стресове нетримання сечі (SUI) вражає велику кількість пацієнтів, серйозно погіршуючи якість їхнього життя. Це призвело до збільшення за останні десятиліття появи хірургічних процедур для його корекції. Сітки переднього відділу розташовані між сечовим міхуром і піхвою. Було описано різні форми руйнування сітки в цьому відділі, такі як міграція сітки, апікальне руйнування та поєднання апікального та латерального руйнування.

 

При ультразвуковій оцінці сіток проти нетримання сечі слід проводити дослідження різних параметрів, серед яких найбільш вивченим є розташування сітки відносно уретри та міра компресії уретральної сітки:

  • Розташування слінга по відношенню до уретри: Вимірюють довжину проксимального відділу уретри, поділену на загальну довжину уретри. Цей параметр коливається від 0% до 100%. 0-процентильне значення вказує на те, що слінг знаходиться близько до шийки сечового міхура, а 100-процентильне значення вказує на те, що він знаходиться близько до зовнішнього проходу уретри. Оптимальне положення слінгу знаходиться між 40-м і 70-м процентилем (мал. 9A).
  • Вимірювання компресії сітки уретри: найважливішим параметром є проміжок між слінгом та лобком. Визначається як відстань між центром слінга та заднім краєм лобкового симфізу. Чим більша відстань від слінгу до лобка, тим менше стиснення середини уретри та натяг слінгу (мал. 9B).

Малюнок 9. Розташування слінгу відносно уретри (Малюнок А, вгору). Слінгово-лобкова щілина (малюнок В вниз).

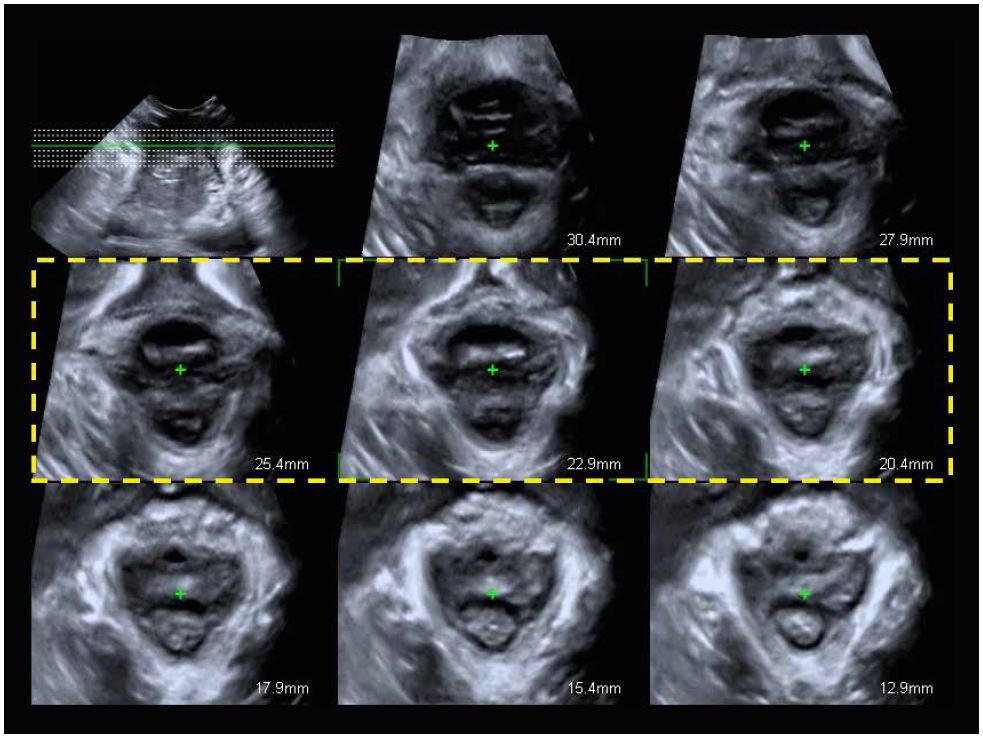
М'яз-підіймач відхідника (LAM)

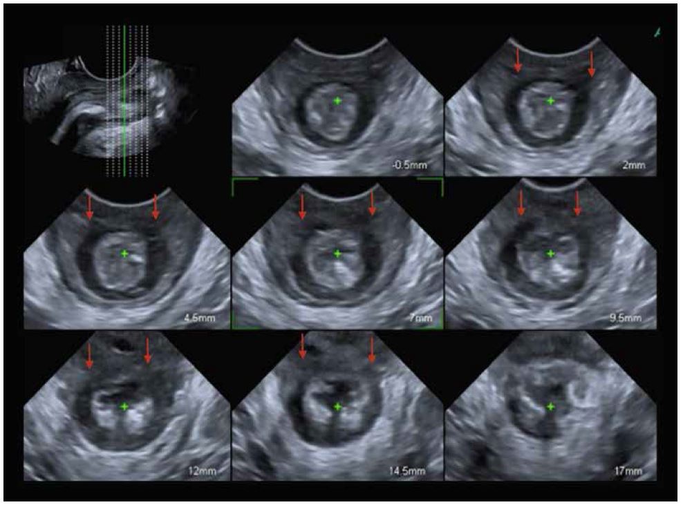
Мультиплощинна реконструкція з площини мінімальних гіатальних розмірів (мал. 10) є стандартизованим і еталонним способом оцінки авульсії LAM. Осьові площини отримують з інтервалом 2,5 мм (5 мм каудально і 12,5 мм краніально), оцінюючи загалом 8 площин (мал. 11). Точне розташування 8 площин встановлюється по трьох центральних площинах (жовта пунктирна лінія на мал. 11):

  • 1st прощина (зліва): дуги лобкового симфізу розділені.
  • 2nd площина (центральна): дуги лобкового симфізу зімкнуті.
  • 3rd площина (справа): лобок не повинен відображатися, заміняючись акустичною тінню.

Малюнок 10. Площина мінімальних розмірів діафрагми. P: Лобок, U: Уретра, V: Піхва, AC: Анальний отвір, LAM: М'яз-підіймач відхідника

Малюнок 11. Багатоплощинна реконструкція м'язу-підіймача відхідника (LAM) з трьома центральними площинами, виділеними жовтим.

Авульсія LAM визначається як відшарування м'яза від лобкової області. Воно є повним, коли воно присутнє в трьох центральних площинах, і частковим, коли є пошкодження м’язів в інших площинах без відповідності критеріям повного відриву.

Його також було визначено як авульсію LAM типу I (мал. 12A), коли є добре вставлені м’язові волокна в самих бічних областях лобково-вісцерального м’яза, і LAM авульсію типу II (мал. 12B), коли є повне відшарування лобково-вісцерального м'язу від його кріплення в лобку.

Вагінальні пологи є основним фактором ризику відриву LAM. Проте зв’язок різних факторів може впливати на тригер відриву, наприклад, вік матері, індекс маси тіла, тривалість другої стадії пологів, окружність голови плода, вага новонародженого, акушерські травми промежини, маневр Крістеллера, епізіотомія або епідуральна аналгезія. Оперативні вагінальні пологи є основним фактором ризику: нещодавній мета-аналіз визначив, що розрахункове співвідношення шансів для вакуумних пологів порівняно з нормальними вагінальними пологами становило 1,93 (95% ДІ: 1,31-2,86), для пологів із застосуванням щипців порівняно зі звичайними вагінальними пологами становив 5,33 (95% ДІ: 3,78-8,11), а для пологів щипцями порівняно з вакуумною - становив 2,36 (95% ДІ: 1,46-3,84).

 

Малюнок 12. Авульсія правого м'язу-підіймача відхідника (LAM) Тип I (A), двостороння авульсія LAM типу II (B).

Анальний сфінктер

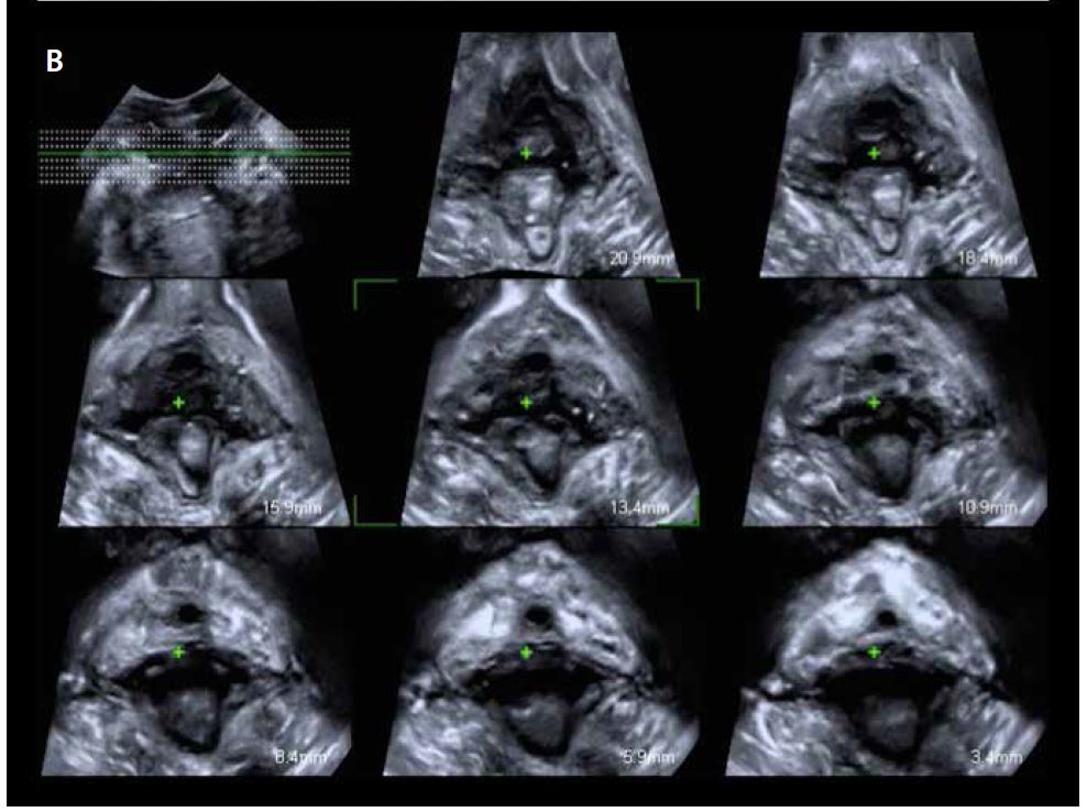
Для оцінки анального сфінктера датчик слід розташувати поперечно над промежиною, нахиливши зонд до анального отвору (мал. 13). Бажано фіксувати об’єм під час скорочення, щоб краще розрізняти тканини. Мультипланарна оцінка дозволяє проаналізувати весь анально-сфінктерному комплекс, розташувавши першу площину на пуборектальному м’язі, а останню – на анальному краю (всього 8 площин) (мал. 14). Відстань між площинами залежить від довжини анального каналу і дозволяє дослідити безперервність сфінктерного комплексу (червона стрілка на мал. 15), а також його товщину, переривчастість, локалізацію дефекту та зміни слизової оболонки анального отвору.

Малюнок 13. Додавання додаткового схематичного малюнка розміщення датчика. LAM: м'яз-підіймача відхідника, IN: внутрішній сфінктер, E: зовнішній сфінктер, M: слизова оболонка прямої кишки

Малюнок 14. Багатоплощинне дослідження для аналізу анально-сфінктерного комплексу.

Малюнок 15. Пошкодження внутрішнього і зовнішнього анального сфінктера на 12 годині (червона стрілка).

Список літератури

1. AIUM/IUGA Practice Parameter for the Performance of Urogynecological Ultrasound Examinations: Developed in Collaboration with the ACR, the AUGS, the AUA, and the SRU. J Ultrasound Med. 2019 Apr;38 (4):851-864. doi: 10.1002/jum.14953.

2. García-Mejido JA, Bonomi-Barby MJ, Armijo-Sanchez A, Borrero-Fernández C, Castro-Portillo L, Vargas-Broquetas M, et al. Metoología para el estudio ecográfico transperineal del suelo pélvico. Clin Invest Ginecol Obstet. 2020;48(2):190-195.

3. Dietz HP. Pelvic Floor Ultrasound: A Review. Clin Obstet Gynecol. 2017 Mar; 60 (1): 58- 81.

4. García-Mejido JA, Ramos-Vega Z, Armijo-Sánchez A, Fernández-Palacín A, García-Jimenez R, Sainz JA. Differential diagnosis of middle compartment pelvic organ prolapse with transperineal ultrasound. Int Urogynecol J. 2021;32(8):2219-2225.

5. García Mejido JA, Ortega I, García-Jiménez R, Sainz Bueno JA. Differential diagnosis of posterior compartment prolapse using transperineal ultrasound. Ultrasound Obstet Gynecol. 2021; 14. doi: 10.1002/uog.24814.

6. Shek K, et al. Anterior compartment mesh: a descriptive study of mesh anchoring failure. Ultrasound Obstet Gynecol. 2013; 42: 699- 704.

7. García-Mejido JA, Fernández-Palacín A, Lao-Peña C, Borrero C, Castro L, Sainz-Bueno JA. Diagnosis of levator ani muscle avulsion in instrumented delivery: Meta-analysis. Clin Exp Obstet Gynecol. 2022. In press

Останні новини та події