Категорії новин:

Оптимальна зручність і безпека у ветеринарній діагностичній візуалізації

Canon Medical пропонує широкий асортимент високотехнологічних ультразвукових систем і рішень, які
пропонують ветеринарній галузі оптимальну практичну та клінічну гнучкість, а також виняткову якість зображення, зменшення кількості артефактів, посилення сигналу та покращену візуалізацію.

 

Враховуючи величезну різноманітність розмірів, станів і поведінки пацієнтів, які потребують діагностики в багатьох ветеринарних напрямках, ультразвукові рішення Canon надають
значні переваги з точки зору компактності, дизайну, вартості та ефективності.

Покращена адаптивність
Завдяки меншим розмірам, ультразвукові системи займають мало місця. Моделі, що працюють від батарейок, забезпечують оптимальну мобільність. Розроблені для підвищення ефективності, ультразвукові системи та їх легкі датчики вирізняються надзвичайною клінічною універсальністю, ергономічною формою та тонкими гнучкими кабелями. Широкий асортимент датчиків доступний в спеціальному ветеринарному асортименті продукції, що забезпечує високу продуктивність, одночасно допомагаючи знизити витрати на спеціалізовані датчики.

 

Xario серії G оснащений інноваційними технологіями 2D-режиму і кольорового доплера, широким спектром надширокосмугових датчиків та інтуїтивно зрозумілою концепцією робочого процесу, що робить його ідеальни рішенням для великих і маленьких пацієнтів - від хом'ячка до мастифа. Датчики відіграють ключову роль в ультразвуковій візуалізації. Canon розробляє і виготовляє їх виключно власними силами - від низькочастотних конвексних і секторних датчиків до високочастотних лінійних та внутрішньотканинних датчиків. Крім того, інтуїтивно зрозуміле управління за допомогою програмованої панелі керування і сенсорного екрану, а також екранної навігації означає, що ветеринар може зосередитися на пацієнті, а не на роботі системи.
 

Унікальна технологія формування променя гарантує безперебійну роботу різних методів візуалізації, що забезпечує високу точність у будь-яких ветеринарних застосуваннях.

 

Швидке отримання результатів
Наші ультразвукові системи, такі як Xario серії G, мають безліч інтелектуальних інструментів для оптимізації робочого процесу та автоматизації, які дозволяють отримувати швидкі результати з незмінно високою якістю.

 

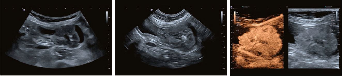
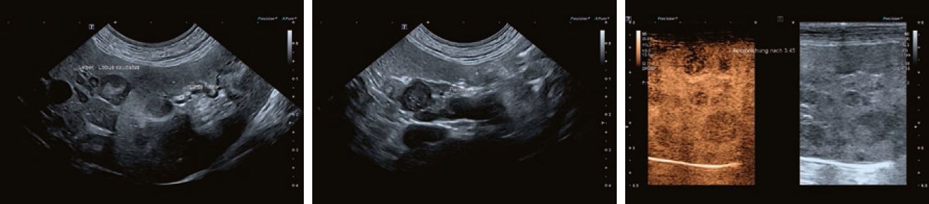
Огляд черевної порожнини собаки в 2D-режимі з
візуалізацією надниркових залоз.

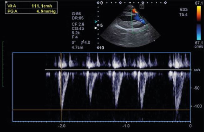
Кардіологічне дослідження у собаки в імпульснохвильовому
доплерівському режимі, що відображає аортальний потік.

Високоточна візуалізація
Найкращих результатів можна досягти, коли структури тканин можна досліджувати з максимальною чіткістю і в більш природному вигляді. Ультразвукові рішення Canon Medical відомі своєю найвищою якістю зображень. Всі системи оснащені функцією Precision, яка забезпечує надзвичайно плавні зображення з чіткими контурами уражень, підвищеною однорідністю зображення та зменшеним рівнем перешкод. Структури на зображеннях в режимі 2D є більш чіткими, а фон - більш згладженим. Насиченість у високоінтенсивних ділянках тканинних структур зменшується.


Технологія ApliPure зменшує інтерференцію ультразвукових хвиль у тканинах, яка проявляється у вигляді крапчастих візерунків або спекл-шуму на 2D-зображеннях для більш чіткого відображення меж між тканинами за рахунок зменшення спекл-шуму та акустичних тіней. Компонування забезпечує підвищену контрастність зображення і зменшує спекл-шум для покращення візуалізації.

 

«Якість зображення висококласного ультразвукового апарату не тільки забезпечила покращене відображення анатомічних структур, але й відкрила можливість спеціалізації на діагностиці серця. Під час презентації апарату стало зрозуміло, наскільки точнішими є можливості діагностики за допомогою цього приладу. Зокрема, високочутливий кольоровий доплер відкрив абсолютно новий погляд на серце і серцеві структури. Коні часто беруть участь у змаганнях, і найменші порушення, наприклад, серцевих клапанів, можуть завдати серйозної шкоди коневі та вершнику. Чим точніша діагностика, тим впевненіше ми можемо оцінити рівень підготовки коня. Завдяки особливій якості зображення нашого ультразвукового приладу ми завоювали гарну репутацію в цій галузі». Сільвія Ціммерманн, кардіодіагност, кінна клініка «Керкен», Німеччина.

 

Підвищення потенціалу оперативних втручань
Для забезпечення більшої клінічної впевненості при виконанні хірургічного втручання автоматичний режим покращення біопсії (BEAM) поліпшує видимість голки на ультразвуковому зображенні.
Ультразвукові системи Aplio від Canon поєднують в собі найсучасніші технології візуалізації, безліч новітніх застосунків та інтуїтивно зрозумілі елементи керування для лікарів ветеринарних клінік, які працюють в умовах високої завантаженості.


Серія Aplio A розроблена для підвищення продуктивності та швидкості роботи, одночасно максимізуючи клінічну точність. Система може бути адаптована до широкого спектру клінічних випадків, від загальних досліджень до спеціалізованих ветеринарних задач. Широкий спектр новітніх застосунків допоможе підвищити вашу клінічн точність навіть у найскладніших випадках.


Серія Aplio i розроблена для забезпечення неперевершеної клінічної точності та продуктивності роботи
відділення. Кришталево чисті зображення з підвищеною роздільною здатністю і глибиною проникнення, а також велика кількість експертних інструментів дають можливість швидко і надійно поставити діагноз.

Створені, щоб допомогти вам отримати інформацію, необхідну для швидкого прийняття впевнених рішень, апарати Aplio i-серії виводять ветеринарний ультразвук на новий рівень точності зображень, діагностичної ефективності та продуктивності. Революційна архітектура iBeam зі значно збільшеною обчислювальною потужністю забезпечує безпрецедентну чіткість і деталізацію зображень, одночасно значно покращуючи проникнення.

Клінічні випадки

Д-р мед. вет. наук, проф. Майкл Аспергер, GPCertDI Ветеринарна практика Лейпциг-Лютцена, Лейпциг, Німеччина. Зображення отримані за допомогою Aplio i800

 

Випадок 1

Французький бульдог, десятирічний; поступив з хронічною блювотою і втратою ваги; біохімія крові в нормі, лейкоцити низькі (2400); УЗД з різко гіпоехогенними, неправильної форми ураженнями в печінці і головці підшлункової залози, круглим вогнищем в області правого наднирника; CEUS 2,5 мл Sonoview, датчик 11L3 вимивання уражень печінки через 3,45 хв, на жаль, підсилення надто високе, але все ще діагностоване; евтаназія через два місяці

 

Випадок 2

Кішка, самиця, мейн-кун, два роки; на лікуванні від блювоти та схуднення протягом десяти днів; помірне збільшення обхвату при пальпації, УЗД кишківника з інвагінацією та затримкою газів; інтраопераційно: видалено 15 см кишківника; кішка почувається добре.

Випадок 3

Собака змішаної породи, 11 років; Гематурія; високо васкуляризоване циркулярне звуження сечового міхура з центральною вхідною судиною; хірургічне видалення з подальшою фотодинамічною терапією осередку пухлини потужністю три вати; НР: перехідно-клітинна карцинома; контрольне УЗД через шість місяців - в нормі.

Випадок 4

Собака, сука, Акіта-іну, вісім років; пухлина молочної залози каудального молочного гребеня; округле гіпоехогенне муральне ураження легені; власник відмовився від подальшої діагностики, собаку забрали додому без операції, оскільки вона почувалася добре.


Д-р мед. вет. наук, проф. Себастьян Шауб, дипл. ECVDI Спеціаліст ветеринарної медицини в галузі радіології та інших методів візуалізації, спеціаліст ветеринарної медицини дрібних та домашніх тварин, клініка для дрібних тварин (хірургія) - радіологія Гіссенського університету імені Юстуса Лібіха, м. Гіссен, Німеччина. Зображення отримані за допомогою Aplio a450

Випадок 1

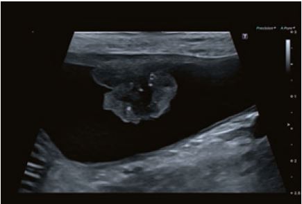
Собака з гіперкальціємією, спричиненою аденомою паращитоподібної залози справа, яку можна розпізнати як гіпоехогенне, добре відмежоване утворення, що піднімається над поверхнею щитоподібної залози.

Випадок 2

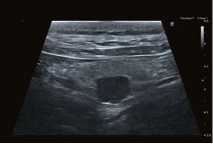
Цуценя з гнійним животом через абсцес пупка - на фото.

Випадок 3

Йоркширський Тер'єр з гематурією через новоутворення вентральної стінки сечового міхура.

«Як і його попередник, Aplio a450 вражає нас чудовою роздільною здатністю і контрастністю зображення в усіх областях застосування - від абдомінального до ортопедичного дослідження. Датчик у формі хокейної ключки з високою роздільною здатністю ефективний при обстеженні маленьких пацієнтів і поверхневих структур».

 

Доктор Себастьян Шауб Радіологія Гіссенського університету імені Юстуса Лібіха, Гіссен, Німеччина.

Динамічне спостереження

Передова технологія Aplio Wall Motion Tracking забезпечує миттєвий візуальний і кількісний доступ до глобальної та локальної динаміки руху стінок міокарда у 2D і 3D. Крім того, супермікросудинна візуалізація (SMI) - це технологія, яка розширює діапазон видимого кровотоку і забезпечує візуалізацію низького мікросудинного потоку, який раніше не був видимий при ультразвуковому дослідженні. У порівнянні зі звичайними доплерівськими технологіями, перевагами SMI є доплерівська візуалізація з наднизьким кровотоком з високою частотою кадрів, високою роздільною здатністю, високою чутливістю і чудовим усуненням артефактів руху від рухомого об'єкту. Це дає клініцистам новий спосіб виявлення найдрібніших судин, що дозволяє проводити більш ефективну і точну діагностику при оцінці уражень, запальних захворювань і пухлин. SMI пропонує ефективний інструмент для оцінки стану плоду та моніторингу пацієнта на етапі лікування. SMI забезпечує клінічну впевненість шляхом ранньої діагностики аномалій і дає життєво важливе уявлення про мікросудинну систему, що допомагає у встановленні діагнозу.

 

Віддалена підтримка

Innervision для ультразвуку - це рішення для надання спільного доступу до екрану за потребою, яке забезпечує віддалене обслуговування та підтримку застосунків нашим сервісним інженером Canon або спеціалістом із застосунків протягом сеансу, ініційованого користувачем ультразвукового приладу. Це рішення пропонує широкий спектр функціональних можливостей, включаючи спільний доступ до екрану та чат для навчальних цілей і надання допомоги. Innervision полегшує діагностику несправностей і допомагає виконувати необхідні сервісні процедури, змінювати налаштування DICOM, коригувати налаштування користувача, допомагати у вирішенні проблем з якістю зображення тощо. Одним словом, проблеми вирішуються швидше, забезпечуючи максимальний час безперебійної роботи ветеринарної клініки.

«Canon Xario 100G забезпечує чудову контрастність при дослідженні черевної порожнини. Доплер має високу чутливість, навіть для судин, до яких важко отримати доступ, зокрема, в черевній порожнині».

 

Доктор Анаїс Комбес PhD, Diplomate ECVDI, veterinary imaging specialist, Alliance veterinary clinic, Bordeaux, France.

Біографія

Доктор Анаїс Комбес - європейський спеціаліст з ветеринарної діагностичної візуалізації у ветеринарній клініці «Альянс» у Бордо, Франція. Випускниця Європейського коледжу ветеринарної діагностичної візуалізації (ECVDI) з 2013 року. Закінчила резидентуру та захистила докторську дисертацію з ветеринарних наук у професора Джиммі Сондерса в Гентському університеті (Бельгія). Закінчила Національну ветеринарну школу в Тулузі та пройшла інтернатуру в Національній ветеринарній школі в Альфорті, де згодом працювала асистентом з візуалізації та внутрішньої медицини. Доктор Комбес спеціалізується на ветеринарній діагностичній візуалізації та паралельно з клінічною роботою займається міжнародною телерадіологією та професійним навчанням.

Потужна ветеринарна візуалізація в компактному корпусі

Viamo sv7 від Canon Medical - це потужний, ультракомпактний ультразвуковий апарат, який поєднує в собі преміумтехнології візуалізації з розміром та інтуїтивно зрозумілим інтерфейсом смарт-пристрою. Виняткова якість зображення на великому, зручному для перегляду 12-дюймовому сенсорному екрані Viamo sv7 робить високоякісні ультразвукові дослідження більш доступними в різних ситуаціях. Viamo c100 поєднує в собі всі переваги надійної портативної ультразвукової системи з діагностичною точністю, продуктивністю і комфортом апарату на базі візка. Viamo c100 ідеально підходить для всіх ветеринарних клінічних застосувань, де є проблеми з мобільністю і простором, а якість діагностики має бути на високому рівні.

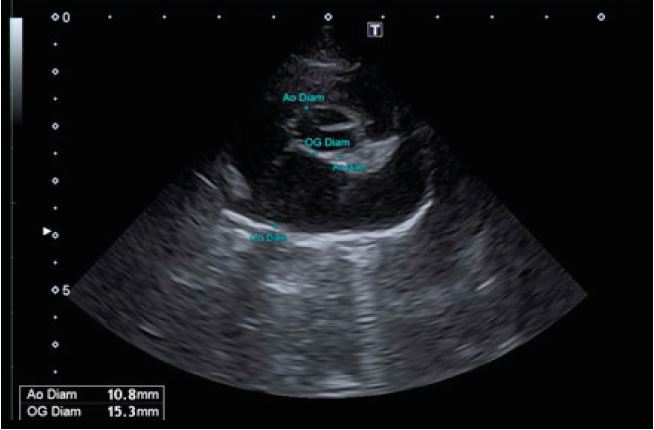
Обстеження серця в режимі 2D. Джерело: Клініка Альянс

Дослідження серця в 2D М-режимі з візуалізацією аорти та лівого передсердя. Джерело: Клініка Альянс.

Оптимальна мобільність

Xario g-серії пропонує високу якість зображення і повний спектр клінічних застосувань для оптимального догляду за пацієнтами. Завдяки восьмигодинній автономній безкабельній роботі від акумулятора Xario 200G поєднує в собі неперевершену продуктивність і дивовижну мобільність. Завдяки швидкому переходу з інтелектуального режиму очікування Xario 200G завжди готовий до роботи всього за кілька секунд.

  • До 8 годин бездротової роботи від батареї.
  • Швидке завантаження з інтелектуального режиму очікування - Бездротові аксесуари.
  • Енергоефективні та енергозберігаючі функції.
  • 21,5-дюймовий широкоформатний РКмонітор зі світлодіодним підсвічуванням.

Останні новини та події