Категорії новин:

Програмне забезпечення для розширеної візуалізації Vitrea

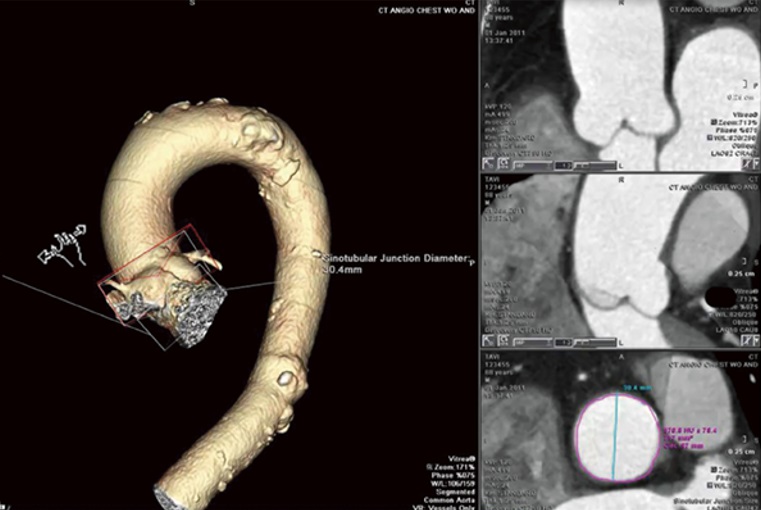
Програмне забезпечення Vitrea дозволяє візуалізувати та аналізувати 2D, 3D та 4D зображення анатомії та фізіологічних функцій за допомогою КТ (комп’ютерної томографії) та МР (магнітного резонансу), ПЕТ, ультразвуку та XR, що дозволяє медичним фахівцям заощадити час та має доступні інструменти для віддаленої роботи у мережі інтернет для ще більшої продуктивності. Програмне забезпечення включає: КТ аналіз печінки, КТ ендоваскулярне планування стента (EVSP), КТ нирки, КТ протікань (endoleak), КТ аорти, КТ сонної артерії та КТ Вілізієвого кола.

 

Важливі інструменти постобробки включають КТ-аналіз серця, КТ-аналіз мітрального клапана, КТ аорти, аналіз LAA, КТ планування TAVR та КТ планування електрофізіологічних процедур.

 

PIE Medical Software

  • 3mensio Structural Heart

3mensio Structural Heart полегшує передопераційне планування операцій на аортальному, мітральному клапані, коронарних процедур

  • CAAS A-Valve

CAAS A-Valve може допомогти лікарям під час підготовки або процедури заміни клапана TAVR (або TAVI)

 

CTA ПЗ планування TAVR

3mensio Structural Heart/Mitral Valve SW

 

 

ПЗ 3mensio аортального клапану

ПЗ 3mensio аортального клапану

 

 

Приклад CAAS S-Valve software

Флюороскопія під час TAVR

Останні новини та події