Категорії новин:

Пухлина головного мозку: гліобластома з олігодендрогліальним компонентом

Доктор Енн ВАНБІНСТ,

Відділення нейрорадіології

UZ Брюссель - Брюссель - Бельгія

Історія пацієнта

15-річний хлопчик звернувся з головним болем, який тривав 1 місяць, і блювотою вранці впродовж кількох тижнів (квітень 2010).

 

При неврологічному огляді виявлено двобічний набряк зорового нерву, двобічний парез 6-го черепного нерва, геміанопсію. Його одразу направили на МРТ. Було виявлено велике пухлинне утворення, частково геморагічне, у правій тім’яній ділянці з значним мас-ефектом (рис. 1 і 2).

Йому зробили операцію наступного дня, і макроскопічно було досягнуто повної резекції. Патоанатомологічне дослідження було сумісним з гліобластомою (ГБМ) 4 ступеня за ВООЗ з олігодендрогліальним компонентом. Розпочато ад’ювантну супутню радіохіміотерапію (протокол HITGBM-D).

 

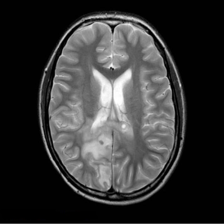
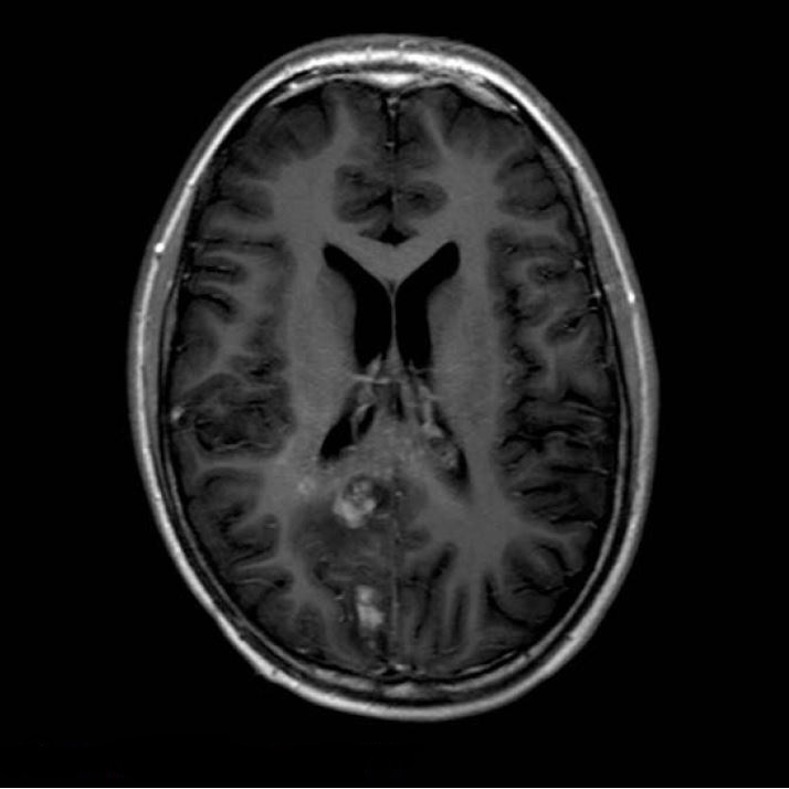
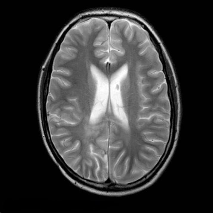
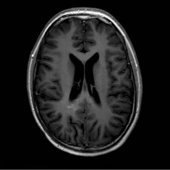
Контрольні МРТ-дослідження залишалися стабільними до липня 2011 року (відразу до кінця супутньої хіміотерапії) (рис. 3 і 4). Потім було проведено додаткове обстеження МРТ (через 4 тижні) з перфузією та МРС.

 

Результати діагностики

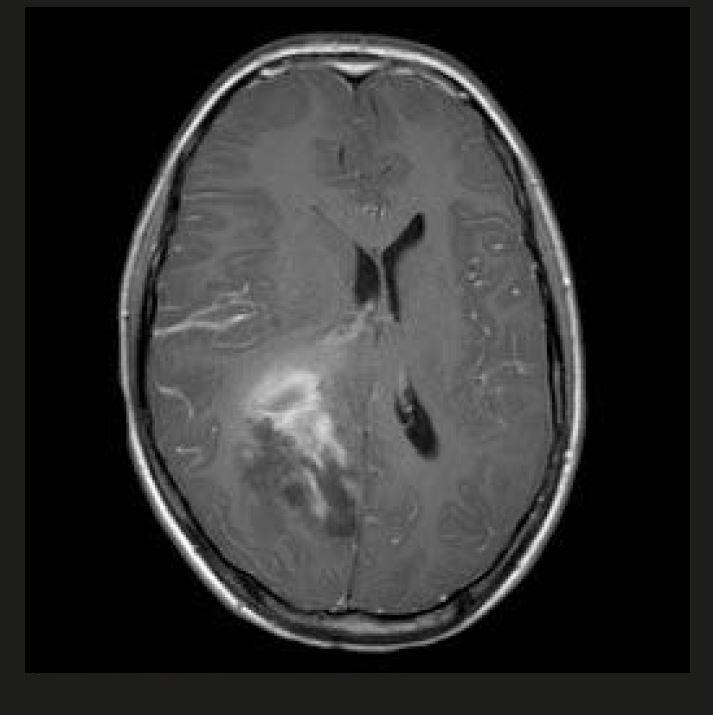
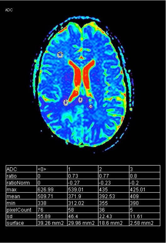
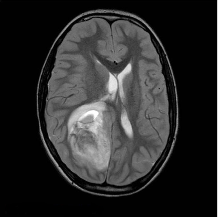
На T2 зона гіперсигналу була видна в передньо-нижній зоні від резекційної порожнини з нечітким контрастним посиленням, а також на мозолистому тілі, яке чітко збільшене порівняно з зображеннями FU МРТ за 1 місяць до (рис. 5 і 6). Це ураження показало обмеження дифузії (рис. 8).

 

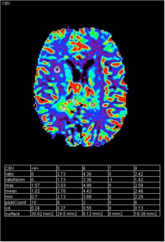
Під час DSC-перфузії спостерігалося збільшення об'єм мозкової крові (CBV) у місці ураження, що перетинає мозолисте тіло зліва (рис. 9). На MRS пік холіну був надзвичайно високим, було значно знижено Naa з Cho/Naa >>2. Також спостерігався невеликий пік лактату (рис. 7). Дані візуалізації були сумісні з рецидивом мультиформної гліобластоми, 4 ступеня за ВООЗ.

 

Обговорення

Розпочато хіміотерапію темодалом.

Відбулося подальше рентгенологічне та клінічне погіршення, тому була призначена хіміотерапія Авастином замість Темодала.

Рисунок 1 T2WI, перше сканування

Рисунок 2 T1WI + GD, перше сканування

Рисунок 3 T2WI, липень 2011

Рисунок 4 T1WI + GD, липень 2011

Рисунок 5 T2WI, серпень 2011

Рисунок 6 T1WI + GD, серпень 2011

Рисунок 7 MRS

Рисунок 8 ADC map lesion

Рисунок 9 CBV lesion

Останні новини та події