Категорії новин:

Пухлини головного мозку: Менінгіома та первинна злоякісна лімфома

 

 

Dr Christine Rodriguez-Régent,

Dr Raphaëlle Souillard-Scemama (MD),

Pr Meder (MD-PhD). Hôpital Sainte-Anne, Paris, FRANCE

Вступ

Пропонуємо вашій увазі клінічний випадок, який демонструє корисність перфузійно-зважених МРТ-карт для характеристики множинних внутрішньочерепних утворень у пацієнта з церебральною лімфомою.

 

Клінічний випадок

76-річна жінка з діагнозом загальної епілепсії в анамнезі.

 

Перше КТ-дослідження показало множинні ураження головного мозку з контрастним підсиленням після введення йодо-вмісної контрастної речовини. Дані вказували на множинні церебральні метастази, але в анамнезі у пацієнтки немає первинного раку. Більше того, і клінічний огляд, і торако-абдомінальна комп'ютерна томографія в нормі. Тому для більш точної характеристики ураження головного мозку було рекомендовано провести МРТ.

 

При госпіталізації було виконано МРТ головного мозку, із перфузійно-зваженою послідовністю.

МРТ дозволила охарактеризувати два різних ураження з різними перфузійними характеристиками, а саме: менінгіому та первинну злоякісну лімфому. Ці діагнози були додатково підтверджені нейрохірургічною стереотаксичною біопсією.

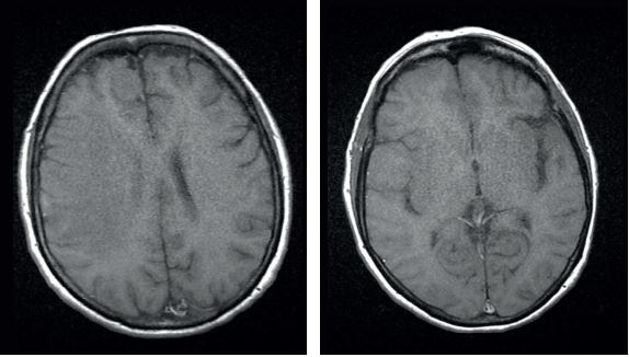
На FLAIR: Два вогнища з підвищеною інтенсивністю сигналу: округлої форми праве лобно-полярне парафальколярне вогнище та праве лобно-очноямкове вогнище. Можна відмітити різницю між ступенем перилезіального набряку, який є значно більшим.

 

На Т1: Обидва ураження виглядають ізоінтенсивними по відношенню до сірої речовини (СМ) на Т1-зважених зображеннях

Після-обробка та аналіз

Перфузійно-зважені МРТ-зображення були оброблені за допомогою пакета Olea Sphere® (Olea Medical®) для відображення карт об'єму мозкової крові та K2 (проникність). Були визначені області інтересу і оцінені відповідні перфузійні карти.

 

Гістологічне підтвердження остаточного діагнозу

Парафалькоральне ураження є менінгіомою, а фронто-очноямкове ураження - первинною злоякісною лімфомою.

 

Терапевтичне лікування

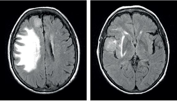
Кортикотерапія призвела до значного зменшення лімфоми та перилімфоїдного набряку.

 

Висновок

Аналіз перфузійно-зважених МРТ-зображень з оцінкою карт об'єму мозкової крові та К2 дозволив диференціювати менінгіому та первинну злоякісну лімфому у цієї пацієнтки. Такі пухлини мають різну гемодинамічну поведінку.

 

Лімфоми є гіперклітинними пухлинами з периваскулярним тропізмом і близьким до норми об’ємом мозкової крові, тоді як менінгіоми є гіперваскуляризованими пухлинами зі значно підвищеним об’ємом мозкової крові.

 

Крім того, крива лімфоми має типовий профіль зі значеннями вище базової лінії, що пояснює значне витікання контрастної речовини в міжтканинний простір, на відміну від більшості інших церебральних пухлин, таких як гліальні та/або вторинні ураження.

 

І навпаки, більшість менінгіом характеризуються типовою «більшою» кривою і значеннями нижче вихідного рівня, що пов'язано з гіперваскуляризацією пухлини і порушенням гематоенцефалічного бар'єру (ГЕБ).

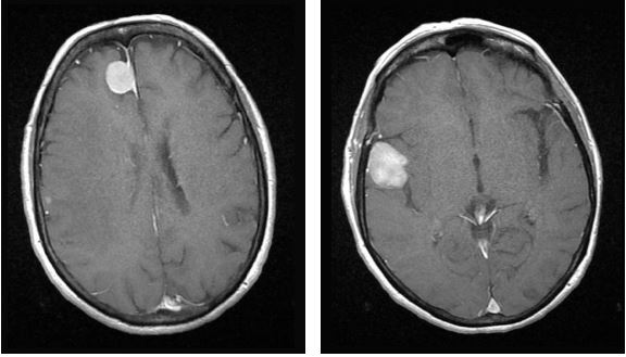
Т1 гадоліній: Обидва ураження демонструють інтенсивне та гомогенне контрастне підсилення на Т1-зображеннях. Парафалькоріальне ураження, схоже, пов'язане з мозолистим тілом через дуральний хвіст, що вказує на екстрааксіальне ураження.

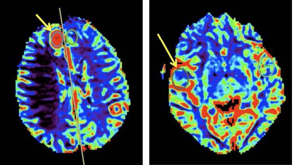
Об’єм мозкової крові: Об’єм мозкової крові підвищений при парафакторіальному ураженні (зліва), тоді як при лобово-очноямковому ураженні він є нормальним (справа). Значне підвищення CBV в парафасціальному ураженні зумовлене пухлинною гіперваскуляризацією. Навпаки, у фронто-оперкулярному ураженні кровонаповнення еквівалентне нормальній паренхімі і дещо знижене в периферійних ділянках ураження (на карті позначено зеленим кольором).

Значення пухлини: 4.01Значення пухлини: 1.29
Нормальне/референтне значення: 1.25Нормальне/референтне значення: 1.47
Відношення: 3.21Відношення: 0.87

 

K2: Карти проникності показують підвищений рівень K2 в обох ділянках ураження. Обидва ураження мають підвищену капілярну проникність.

Значення пухлини: 182.48Значення пухлини: 122.98
Нормальне/референтне значення: 28.57Нормальне/референтне значення: 58.97
Відношення: 6.39Відношення: 2.09

 

Криві концентрації контрастної речовини

Синя крива: (темна і світла): референтні показники поля обзору (нормальна тканина)

Червона крива: поле обзору в межах парафалькоріального ураження.

Збільшення площі під кривою пояснюється збільшенням об’ємом мозкової крові. Крива ширша, а значення під базовою лінією є типовими для менінгіоми.

Зелена крива: поле обзору в межах лобно-очноямкового ураження.

Площа під кривою в нормі, але значення вище базової лінії характерні для первинної церебральної злоякісної лімфоми.

Останні новини та події