АКЦІЇ! ПЕРЕГЛЯНУТИ ПОВНИЙ ПЕРЕЛІК ДОСТУПНИХ ПРОПОЗИЦІЙ МОЖНА ТУТ
Категорії новин:
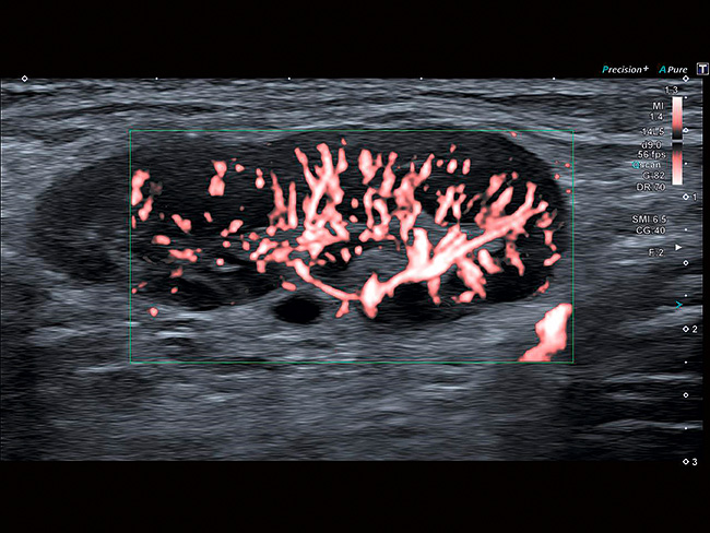
SMI — це технологія, яка розширює діапазон видимого кровотоку та забезпечує візуалізацію низького мікросудинного потоку. За допомогою звичного ультразвукового дослідження така візуалізація раніше була неможлива.
Порівняно зі звичайними доплерівськими технологіями перевагами SMI є висока частота кадрів, висока роздільна здатність, висока чутливість і менше артефактів руху. Це дає клініцистам новий спосіб візуалізувати дрібні судини, що дозволяє більш ефективно та точно поставити діагноз при оцінці уражень, кіст, запальних захворювань та пухлин.
SMI є ефективним інструментом при оцінці стану плоду та моніторингу стану пацієнта залежно від фази лікування. SMI оптимізує пропускну здатність, дозволяючи оцінити раннє виявлення порушень, зменшуючи кількість інвазивних процедур.
Принцип, що стоїть за SMI
Традиційні кольорові доплерівські технології не дозволяють візуалізувати найдрібніші судини через «фонові шуми», а тому пригнічують компоненти з низькою швидкістю, що призводить до втрати даних та втрати видимості потоку в крихітних судинах.
SMI — це потужний та розумний алгоритм, який ефективно відокремлює потокові сигнали від артефактів руху тканин, що накладаються, зберігаючи навіть найтонші компоненти з низьким потоком з незрівнянною деталізацією та визначенням.
SMI аналізує фоновий рух тканин і використовує новий адаптивний алгоритм для виявлення і видалення «фонового шуму» та виявлення справжнього кровотоку.
Це призводить до отримання ультразвукового зображення високої роздільної здатності, на якому можуть бути зображені найдрібніші судин із кровоплином на надмалих швидкостях. Все це можна зробити з високою швидкістю кадрів, що неможливо з будь-якою іншою доплерівською технологією.
Останні новини та події