Категорії новин:

Сучасні підходи до неінвазивної оцінки печінки у дітей: еластометрія та стеатометрія. Рекомендації

Еластометрія (2D-SWE Aplio) у дітей — рекомендації  для лікаря

 

1. Що таке 2D-SWE?

Метод кількісного вимірювання жорсткості печінки за допомогою ультразвуку з відслідковуванням швидкості зсувних хвиль у режимі реального часу. Дає оцінку фіброзу без інвазивної біопсії.

 

2. Коли призначати дослідження?

  • Підозра на хронічні захворювання печінки (вірусні, автоімунні, метаболічні, холестатичні, стеатотичну хворобу печінки, асоційовану з метаболічною дисфункцією).
  • Моніторинг прогресування фіброзу та ефективності лікування.
  • Скринінг дітей груп ризику (муковісцидоз, метаболічні синдроми).
  • Перед трансплантацією та після неї — для контролю стану печінки.

 

3. Підготовка пацієнта

  • Голод не менше 4 годин.
  • Спокій 10 хвилин перед вимірюванням.
  • Положення — на спині або з легким нахилом вліво (<30°), права рука максимально за головою.
  • Вимірювати міжреберно, у ділянці з найкращим акустичним вікном.

 

4. Техніка виконання

  • Візуалізувати печінку в B-режимі без тіней від ребер чи легень.
  • Датчик перпендикулярно до капсули.
  • ROI (region of interest; ділянка інтересу) розташовувати 15–20 мм нижче капсули печінки, уникати судин та жовчних проток.
  • 3–5 вимірювань у одному й тому самому місці (не рухати датчик).
  • Дихання — спокійне або затримка на вдиху (за можливості).

 

ВікСередня (кПа)Верхня межа норма
3-5 р.3,6-4,1 
6-8 р.3,75-4,6 
9-11 р.3,77-4,6 
12-15 р.3,74-4,9 
Загальні3,5-4,0до 5, 0

Значення >5 кПа — фіброз можливий,

>9 кПа — можлива компенсована просунута хвороба печінки (cACLD – Compensated Advanced Chronic Liver Disease),

>13 кПа — висока ймовірність компенсованої просунутої хвороби печінки (cACLD)

>17 кПа — клінічно значима портальна гіпертензія (CSPH – Clinically Significant Portal Hypertension).

 

 

6. Обмеження методу

  • Гостре запалення, холестаз, венозний застій → помилкове підвищення показника жорсткості печінки (LSM).
  • Після їди — підвищення жорсткості.
  • Неможливість затримати дихання у малих дітей — більше артефактів.
  • Ожиріння, метеоризм, великі судини або кісти в зоні вимірювання — спотворення результатів.

 

7. Ключові поради

✅ Використовуйте один і той самий апарат і метод при динамічному спостереженні.

✅ Завжди документуйте медіану та IQR/M (≤30%).

✅ Оцінюйте у клінічному контексті, з урахуванням біохімії та анамнезу.

 

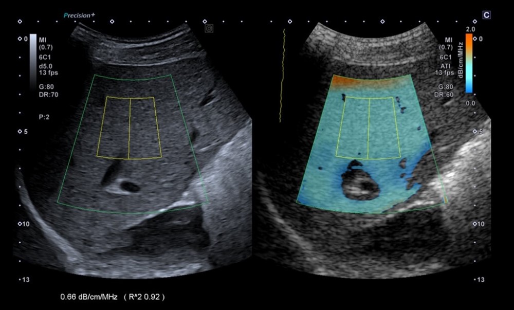
Стеатометрія (ATI – Aplio) – рекомендації для лікаря

1.Що таке стеатометрія (ATI)?

ATI — Attenuation Imaging — ультразвуковий метод кількісної оцінки стеатозу печінки, що вимірює коефіцієнт затухання ультразвукової хвилі (AC — attenuation coefficient, дБ/см/МГц) у печінковій паренхімі.

 

Чим вищий коефіцієнт затухання → тим більше жиру в тканині.

Метод інтегрований у B-mode, що дозволяє точно обрати ділянку без судин, жовчних протоків та артефактів.

 

2. Клінічне значення (у контексті нової термінології)

Стеатотична хвороба печінки (SLD – Steatotic Liver Disease) — будь-який стеатоз ≥5% за гістологією, візуалізацією або біомаркерами.

 

ATI допомагає:

  • Виявити SLD на ранніх стадіях.
  • Оцінити ступінь стеатозу (S1–S3).
  • Моніторувати динаміку лікування або вплив терапії.
  • Використовувати як неінвазивний маркер у поєднанні з еластографією (оцінка фіброзу).

 

3. Підготовка пацієнта (аналогічна еластографії 2D-SWE)

  • Голодування: ≥4 години до обстеження.
  • Положення: лежачи на спині або з невеликим лівим боковим нахилом (<30°), права рука за головою.
  • Дихання: вимірювання на затримці дихання після спокійного вдиху (у дітей допускається спокійне дихання).
  • Вибір ділянки: міжреберний доступ у сегментах V–VIII, уникати великих судин та жовчних протоків.

 

4. Методика виконання

  • Виконати якісне B-mode зображення (без тіней від ребер або легені).
  • Розташувати ROI на глибині 15–40 мм від капсули печінки.
  • Виключити ділянки з артефактами, судинами, протоками.
  • Отримати не менше 5 валідних вимірювань, розрахувати середнє.

Система Aplio i900 автоматично відображає значення AC (дБ/см/МГц) та CV (коефіцієнт варіації).

 

CV ≤0,20 — висока надійність вимірювань.

 

5. Інтерпретація (за даними досліджень для ATI, Toshiba/Canon Aplio i-series)

  • <0,63 дБ/см/МГц — норма або мінімальний стеатоз (S0).
  • 0,63–0,69 — легкий стеатоз (S1).
  • 0,69–0,72 — помірний стеатоз (S2).
  • >0,72 — виражений стеатоз (S3).

 

Для дітей: норми ще вивчаються; орієнтовно здорові діти мають AC ~0,57–0,62 дБ/см/МГц, але інтерпретацію проводять з урахуванням клініки та біохімії.

 

6. Обмеження методу

  • Виражене підшкірне ожиріння (ускладнює якість сигналу).
  • Гострий гепатит (запальний набряк може впливати на показники).
  • Наявність значного фіброзу або цирозу (змінює акустичні властивості).
  • Порушення підготовки (прийом їжі перед дослідженням збільшує AC).

 

ДУ «Всеукраїнський центр материнства та дитинства НАМН України» спільно з Відділенням дитячої гепатології та коморбідних захворювань МОЗ України представили  рекомендації щодо застосування еластометрії (2D-SWE) та стеатометрії (ATI) у дітей.

Останні новини та події