Категорії новин:

Тенденції та виклики в кардіології. Кардіологічні рішення від Canon Medical

Зростання серцево-судинних захворювань

Серцево-судинні захворювання є найпоширенішою причиною смерті серед жінок і чоловіків у Європі (3,9 мільйона смертей щороку). Серцево-судинні захворювання також є основною причиною інвалідності та зниження якості життя. Завдяки зростанню середньої очікуваної тривалості життя , а також рівням ожиріння та стрімкому зростанню поширеності діабету в Європі кількість пацієнтів із серцево-судинними захворюваннями підвищиться, що ляже важким тягарем на суспільство. Ці фактори безпосередньо впливають на зростання витрат на охорону здоров'я та створюють тиск на лікарів. Як наслідок, оптимізація робочих процесів і покращене використання ресурсів.

Клінічна допомога, орієнтована на пацієнта

Водночас з'являється персоналізована медицина. Потрібне краще розуміння шляхів розвитку захворювання та детальне фенотипування, щоб дозволити ранню і точну ідентифікацію захворювання та запропонувати індивідуальне лікування пацієнта. Усе з кінцевою метою - зменшити навантаження серцево-судинних захворювань і покращити результат та якість життя кожного пацієнта.

 

Щоб отримати допомогу, орієнтовану на пацієнта, необхідною умовою є швидкі та якісні інструменти візуалізації, які забезпечують найвищу деталізацію та точність безпечним і зручним для пацієнта способом. Крім того, зростає потреба в ефективному використанні величезних обсягів медичних даних і накопиченої інформації.

 

Джерела:

Всесвітня організація охорони здоров'я www.who.int/cardiovascular_diseases/en/

Європейська статистика серцево-судиннихзахворювань https://ehnheart.org/cvd-statistics/cvd-statistics-2017.html.

 

Canon Medical, лідер у сфері діагностичних систем передової візуалізації та інформатики в галузі охорони здоров'я, прагне допомогти вам реалізувати клінічну допомогу, оріентовануна пацієнта.


Що ми можемо запропонувати для кардіологічних пацієнтів:

 

  • Найкращу якість діагностичних зображень у всіх модальностях, простота використання, комфорт для пацієнта та надійність, щоб забезпечити винятковий досвід користувача, впевненість діагностики та оптимальний робочий процес.
  • Значне скорочення часу MPT-обстеження завдяки автоматичному визначенню необхідних площин серця, використовуючи опцію CardioLine+
  • Покращену діагностику, лікування та планування за допомогою гібридної візуалізації. Використовуючи технологію Smart Fusion, можна співвіднести ступінь коронарного стенозу на комп'ютерній томографіїз інформацією про розтягнення міокарда, отриманою за допомогою ультразвуку на навколишній міокардіальній території.
  • Охоплення всього серця одним обертом гентрі із найменшою дозою за допомогою КТ із широким детектором у поєднанні з технікою реконструкції глибинного машинного навчання АіСЕ
  • Інтегрувати та аналізувати клінічні дані з багатьох модальностей за допомогою програми Vitrea Advanced Visualization.
  • Перетворювати медичні зображення в 3D моделі для широкого спектру застосувань від навчання пацієнтів до планування складних інтервенційних втручань
  • Об'єднай™ супутні дані візуалізації для оптимального керування серцево-судинними інтервенціями за допомогою мультимодально!' дорожньої карти системи Alphenix.
  • Оцінювати складну патологію з кальцифікатами та встановлювати стент за допомогою ультрависокої роздільної здатності Aquilion Precision.

 

Спільна робота, щоб зрозуміти ваші потреби та виклики, дає цінні результати,які позитивно впливають на вас і майбутнє ваших пацієнтів. Наше бачення та відданість покращенню життя для всіх лежить в основі всього, що ми робимо. Завдяки партнерству, щоб зосередитися на важливому, разом ми можемо надавати інтелектуальні високоякісні рішення.

With Canon Medical, true innovation is Made possible.

 

Розширена візуалізація

Canon Medical робить важливий внесок у лікуванні серцево-судинних патологій. Понад ЗО років наше сімейство програмних рішень Vitrea допомагає клініцистам надавати кращу допомогу.

 

Vitrea Advanced Visualization — це мультимодальна платформа перегляду, яка забезпечує широкий діапазон функцій із можливістю додавання ще більше функцій, коли це потрібно. Ми пропонуємо комплексні набори інструментів, які надають лікарям інформацію для планування процедур і діагностики пацієнтів.

 

Vitrea — це мультимодальне рішення. Наш набір передових програм надає повноцінні рішення для розширеної20,3D і 4D візуалізації, які використовуються для обробки та аналізу клінічних даних з різних модальностей - MPT, КТ, CR, DX, RG, RF, УЗД, ХА, NM, ПЕТ,ПЕТ/КТта ОФЕКТ.

 

Vitrea Advanced Visualization - сумісна з апаратами будь-якого виробника, що призводить до консолідації кількості окремих програм і зменшення складності керування багатьма незалежними програмами.

"Використання розширеної візуалізації програмне забезпечення дійсно покращило наш робочий процес. Усі різні елементи, до яких нам потрібно отримати доступ, попередньо сегментовані та доступні з першого кроку. Завдяки програмному забезпеченню Уіїгеа багато елементів постобробки стали для нас рішенням, яке виконується в один клік».

 

Доктор Стефан М. Нігуес відділення радіології,

Університетська лікарня Шаріте,

Берлін, Німеччина

Університетська лікарня Шаріте

Університетська лікарня Шаріте в Берліні, Німеччина, є однією з найбільшихуніверситетських клініку Європі.

Там працює 70 000 співробітників та понад 7 200 студентів, і в данийчас проходить лікування понад 140 000 пацієнтів на рік. До того,як лікарня почала працювати з Canon МебісаІ, її ІТ-середовище включало великі PACS із локальними засобами пост-обробки, що вимагало використання спеціальної кімнати для дослідження зображень. Це було досить незручно для персоналу. Програмне забезпечення Vitrea Advanced Visualization від Canon Medical робить величезний крок впереддпяїх відділу.

4DM poweredby INVIA

MR Wall Motion Tracking

CT Cardiac Analysis

CT VScore

CT Cardiac Functional Analysis (CFA)

CT Multi-Chamber CFA

CT Myocardial Perfusion

   CT SUREPlaque

CT Transcatheter Aortic Valve Replacement (TAVR) Planning

Medis Suite CVMR

Global Illumination

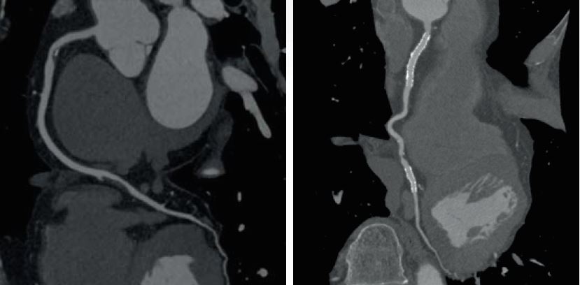
Комп'ютерна томографія

Об'ємна КТ дозволяє сканувати пацієнтів швидко та з високою якістю зображення. Кожне сканування забезпечує неймовірні зображення коронарних артерій без руху з рівномірним посиленням контрасту. У поєднанні зАіСЕ (Advanced intelligent Clear-IQ Engine), технологією Deep Learning Reconstruction, ви завжди отримуєте неперевершенуякість зображення.

Системи:

  • Aquilion Precision
  • Aquilion ONE/GENESIS Edition
  • Aquilion Prime SP

«З унікальними КТ системами від Сanon ми отримуємо об'ємне, функціональне зображення серця за один оберт».

 

Доктор Клаус Кофоед кардіолог,

Rigshospitalet, Копенгаген, Данія

 

 

Rigshospitalet, Копенгаген, Данія

 

Rigshospital — це вузькоспеціалізована лікарня, яка за деякими винятками, охоплює всі медичні спеціалізації. Кардіологічне відділення надає інноваційну та комплексну допомогу пацієнтам із складними захворюваннями серця, судин та системи кровообігу.

Відділення кардіології є частиною сучасного серцево-судинного центру, оснащеного найновішими технологіями та обладнанням, що відповідає потребам серцево-судинних досліджень. Сфери компетенції роблять відділення національним кардіологічним центром для інших лікарень у східній частині Данії, який працює цілодобово без вихідних.

 

АІСЕ - Deep Learning Reconstruction АІСЕ — це революційний підхід до реконструкції КТ, який використовує нейронні мережі глибокого навчання, що забезпечує чудову якість зображення, у три- п'ять разів швидше, ніж традиційні методи ітераційної реконструкції.

Ultra-High Resolution CT
Чітка візуалізація коронарних стентів та детальне окреслення бляшок за допомогою КТ із надвисокою роздільною здатністю. Aquilion Precision — це перший у світі КТ, здатний розпізнавати анатомічні деталі розміром до 150 мікрон, забезпечуючи якість КТ- зображень із роздільною здатністю, яка зазвичай спостерігається лише на ангіографічному обладнанні.

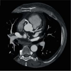
Myocardial Perfusion Imaging

Точна ідентифікація уражень, що обмежують кровотік та потребують реваскуляризації, за допомогою візуалізації перфузії міокарда. Отримання об'ємного зображення всього серця за одне обертання при наднизькій дозі за допомогою                Aquilion ONE / GENESIS Edition.

CT Planning

Детальне передпроцедурне планування, включно з додатками, які допоможуть вам під час процедур при структурних захворюваннях серця або ЕФІ інтервенцій.

Останні новини та події