Категорії новин:

Удосконалення та переосмислення інтервенційних процедур за допомогою детекторів з високою роздільною здатністю (Hi-Def)

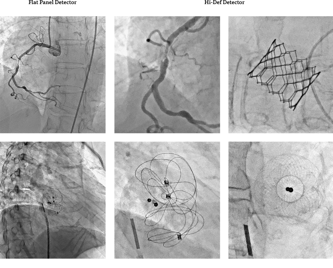
Зображення високої роздільної здатності (Hi-Def).

 

Здатність збільшувати поле зору при одночасному збільшенні внутрішньої просторової роздільної здатності за допомогою технології Hi-Def покращує візуалізацію під час критичних аспектів ендоваскулярних втручань.

 

Canon Medical пропонує інноваційну технологію з першим у світі детектором високої чіткості, що забезпечує більш ніж удвічі просторову роздільну здатність, ніж звичайні плоскопанельні детектори (FPD).

 

Цей унікальний гібридний FPD 30 x 30 см або 30 x 40 см поєднує в собі технологію зображення високої чіткості на основі CMOS, що підвищує просторову роздільну здатність до 6,6 пар ліній на міліметр (lp/mm) із розміром пікселя у 76 мікрон     (рис. 1).

 

Ця унікальна технологія пропонує стандартні режими збільшення 40 см, 30 см, 25 см, 20 см, 15 см або 10 см (FOV) і три додаткових режими Hi-Def з 7 см, 5 см і 3 см FOV, дозволяючи візуалізувати найдрібніші. У будь-який момент часу доступні обидва режими, і за потреби вибір між двома режимами можна швидко змінити, без додаткової затримки процедури.

FOV 8 см

FOV 5 см (Hi-Def режим)

Рис. 1 Hi-Def детектор забезпечує максимальну ефективність і забезпечує більш ніж у 2 рази вищу просторову роздільну здатність у порівнянні з режимом FPD із розміром пікселя у 194 мікрон (ліворуч) та режиму високої роздільної здатності з розміром пікселя у 76 мікрон Hi-Def (праворуч). Завдяки більшим розмірам пікселів у звичайному режимі можна візуалізувати лише до 2,6 пар ліній/мм без будь-яких накладень або втрати зображенням інформативності.

*Задокументоване тестування продемонструвало перевагу у якості зображення у детекторів з більшою роздільною здатністю до 2,5 разів

До 2,5 разів вища просторова роздільна здатність

Вимоги до зображення високої чіткості в режимі реального часу постійно ростуть із розвитком мінімально інвазивних методів лікування судинних патологій, таких як інсульт чи аневризми. Вищі режими просторової роздільної здатності детектора Hi-Def можуть забезпечити чіткіші та візуально кращі зображення, кількісно визначені за допомогою стандартних фізичних показників, порівняно з традиційними зображеннями FPD.1

 

Наприклад, функції передачі модуляції (MTF) нового детектора у Hi-Def і режимі демонструють здатність відображати структури, які інакше були б накладені (тобто не візуалізовані) у звичайних режимах роботи FPD. Неминуче Hi-Def перевершує звичайні FPD у просторовій роздільній здатності.3

Неперевершена візуалізація

Під час інтервенцій, використовуючи режими FPD зі стандартною роздільною здатністю для грубої навігації, катетери та пристрої направляються від місця доступу до проксимального місця ураження. Остаточне розміщення та розгортання пристроїв виконується у режимах високої роздільної здатності Hi-Def із меншими FOV. У сліпому дослідженні, яке порівнювало зображення Hi-Def і FPD, зображення Hi-Def були оцінені як чіткіші та візуально кращі [оцінка «набагато кращі» в 73% випадків] порівняно з зображеннями з нижчою роздільною здатністю FPD.2

«Режим високої чіткості нової системи детектора еквівалентний мікроскопу, який можна використовувати на критичних етапах втручання».

 

— Adnan Siddiqui, MD, PhD, FACS, FAHA FAANS

Kaleida Health-Gates Vascular Institute, Баффало, Нью-Йорк

 

Посилання

1Setlur Nagesh SV, et al., Proc. SPIE 10573, Medical Imaging 2018: Physics of Medical Imaging, 1057365 (9 March 2018).

2Setlur Nagesh SV, et al., AJNR Am J Neuroradiol. 2019 Feb;40(2):302-308.

3Krebs J, et al., Proc. SPIE 10948, Medical Imaging 2019: Physics of Medical Imaging, 109480E (1 March 2019).

Останні новини та події