Категорії новин:

Ультразвукова діагностика: стеатометрія печінки

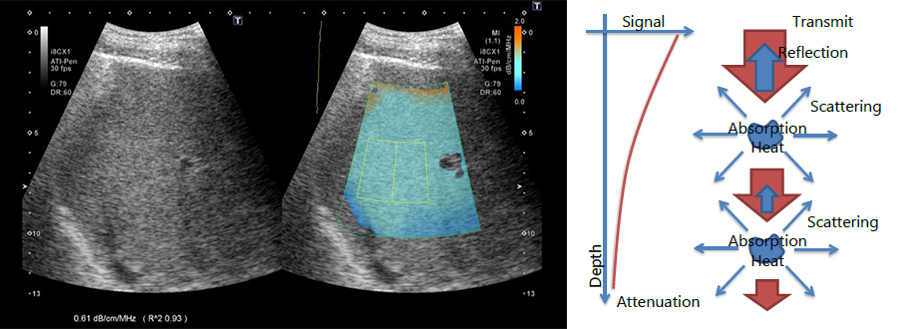
Стеатометрія печінки - це новий інструмент, для кількісної оцінки стану печінки, і найбільш безпечна альтернатива біопсії. Суть її полягає у вимірюванні коефіцієнта загасання (КЗ в дБ/см).

 

Стеатоз печінки, або жировий гепатоз, - найбільш поширена патологія, серед гепатозов печінки, для якої властиві жирові накопичення в клітинах.

 

Стеатоз має кілька ступенів розвитку:

  • Ступінь S.1 - легкий стеатоз (частина клітин печінки / гепатоцитів з жиром становить> 5% до 33%, а КЗ 0.63-0.70 дБ / см/Мгц);

 

  • Ступінь S.2 - помірний (частина клітин печінки / гепатоцитів з жиром становить> 33% до 66%, а КЗ 0.71 - 0.74 дБ / см/Мгц);

 

  • Ступінь S.3 - важкий (частина клітин печінки / гепатоцитів з жиром становить 66%, а КЗ> 0.75 дБ / см/Мгц);

 

  • Ступінь S.0 це норма з відсутністю стеатоза.

 

Причинами стеатоза можуть бути:

  • токсичний вплив (наркотики, певні ліки, алкоголь);
  • патологічні стани організму, деякі хвороби (метаболічний синдром, ожиріння, цукровий діабет та інші ендокринологічні патології, а також хронічні захворювання шлунково-кишкового тракту);
  • надмірна калорійність їжі;
  • малорухливий спосіб життя;
  • генетичні фактори.

 

На даний момент стеатоз виявлений у 25-30% населення багатьох розвинених країн.  Згодом, до ожиріння печінки може додатися, також, і її запалення, що, в свою чергу, призводить до розвитку стеатогепатиту і цирозу.  

 

Саме тому вкрай важливо визначити стеатоз на ранній стадії.  Зовсім ще недавно, визначення жирового гепатиту було дуже складним завданням, тому що  звичайне УЗД виявляє ожиріння печінки, тільки в разі досягнення жирового шару 25-30%.  

 

У зв'язку з цим, виявлення ожиріння печінки на ранніх стадіях було можливим, тільки за допомогою біопсії, методика якої полягала у взятті зразка тканини печінки, для подальшого дослідження.  Природно, що ця процедура була вкрай важкою для хворого.

 

 

Стеатометрія стала інноваційним методом дослідження, дозволила виміряти жировий шар, за допомогою УЗ-апарату Canon Medical, і зробила виявлення, діагностування та лікування стеатозу на ранніх стадіях, незрівнянно комфортною процедурою, як для пацієнта, так і для лікаря.  

 

Стеатометрія, на відміну від біопсії, є неінвазивною процедурою, яка дозволяє отримати набагато більше інформації, тому що  досліджується не окремий елемент печінки, а весь орган.  

 

Окремо варто відзначити, що процедуру можна проводити настільки часто, наскільки цього вимагає процес лікування.

 


Дізнатися більше про модельний ряд ультразвукових систем від провідного виробника діагностичного обладнання Canon Medical - перейти за посиланням

 

Ми завжди на зв'язку, готові відповісти на ваші питання та надати необхідну допомогу:

  • 044 338 00 95
  • office@inmedua.com

Останні новини та події