Категорії новин:

Відгук лікарів про використання ангіографічної системи

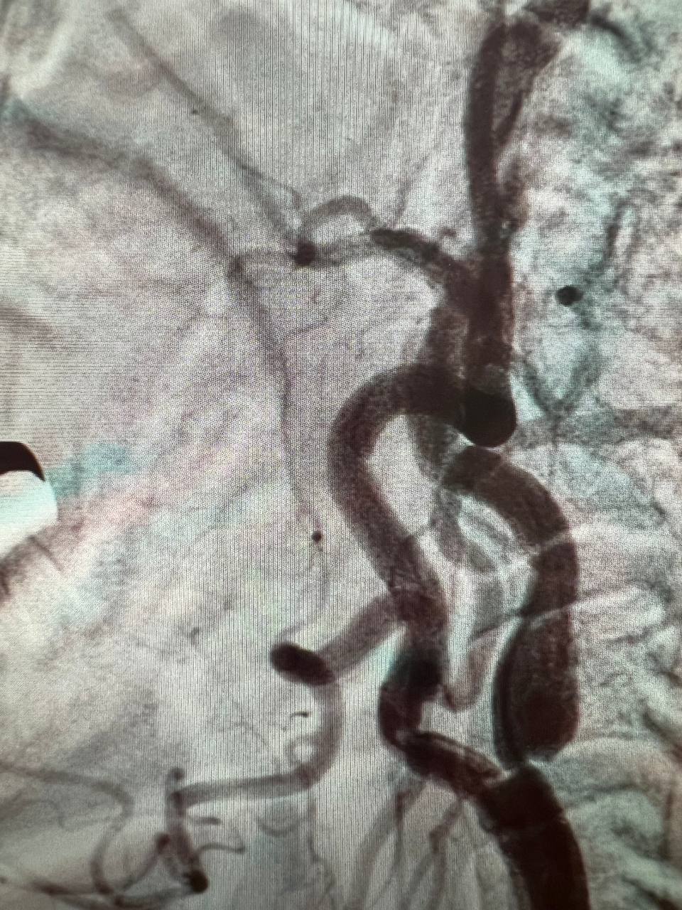
На ангіографічній системі Infinix 2011 року випуску вперше в історії госпіталя провели ургентне стентування та балонну ангіопластику лівої внутрішньої сонної артерії. 

 

Історія пацієнта

У відділення неврології поступив пацієнт з повторним ішемічним атеротромботичним інсультом в басейні лівої СМА  з елементами моторної афазії. Атеросклеротична субоклюзія (85%) С1 сегменту лівої внутрішньої сонної артерії. Дисліпідемія. Гіпертонічна хвороба ІІІ ст., 3 ст., ризик 4.

 

Терміново проведено ургентне оперативне втручання: ендоваскулярне стентування стенотичного ураження гирла С1 сегменту лівої внутрішньої сонної артерії. Селективна церебральна ангіографія. Це була дуже складна операція, але пройшла успішно. Відкрили ЛВСА на 90%.

 

В районі пункції утворилася незначна підшкірна гематома внаслідок подвійної антиагригантної та антикомгулянтної терапії. Стан пацієнта задовільний, переніс операцію добре, на ранок регресувала вся неврологічна симптоматика, окрім незначних проявів моторної афазії.

 

«Використання даної ангіографічної системи стало важливим кроком у нашій медичній практиці. Система надає нам не тільки високоякісні та деталізовані зображення, але й спрощує процес діагностики та планування лікування. Він дозволяє нам точно оцінювати стан судин та забезпечує впевненість у виборі оптимального плану лікування. Ми дуже вдячні за допомогу апліканту Павлу Грищенко та всій вашій команді!» - зазначили військові лікарі.

 

Команда Canon Medical вітає лікарів госпіталю з успішним проведенням складної операції, бажає професійних успіхів та подальшої плідної співпраці.

 

Дякуємо за довіру!

 

Результати дослідження до та після ургентного оперативного втручання:





Останні новини та події