Категорії новин:

Всесвітній день печінки: роль ранньої діагностики

Захворювання печінки

Глобальна проблема охорони здоров'я

Зі зростанням поширеності, стеатотична хвороба печінки, пов'язана з метаболічною дисфункцією (MASLD), є найпоширенішою причиною хронічних захворювань печінки в усьому світі та зростаючою проблемою громадського здоров'я. Це тихий стан, який може прогресувати від стеатогепатиту до фіброзу, а зрештою цирозу – основного фактора для трансплантації печінки та смертності.

 

Пакет аналізу печінки від Canon пропонує перевірені методи багатопараметричного скринінгу, оцінки та стадіювання захворювань печінки. За лічені хвилини ви можете отримати повний стан печінки під час планового обстеження, встановити діагноз для вашого пацієнта та потенційно скоротити тривалість та інвазивність біопсій.

 

Швидка діагностика як частина рутинного обстеження

Пакет дослідження печінки Aplio допомагає оптимізувати робочий процес у гепатології. За потреби додаткові методи візуалізації швидко виконуються в межах стандартного обстеження, а кількісні результати одразу доступні для інтегрованого планування лікування.

 

Надійні застосування, підтверджені численними клінічними публікаціями

У різних незалежних рецензованих дослідженнях лікарі відзначають корисність і надійність параметричної візуалізації печінки для стадіювання дифузних захворювань, включаючи кількісну оцінку жиру в печінці та в’язкоеластичних властивостей паренхіми.

 

Зрозуміла документація для оперативної підтримки прийняття рішень

Інтуїтивний мультипараметричний звіт Canon узагальнює всі результати обстеження печінки, включаючи зовнішні показники. Кольорова шкала або діаграма-павук забезпечують легке для розуміння відображення інформації, а графік динаміки дає швидкий зворотний зв’язок щодо прогресування показників.

 

Основні стадії стеатотичної хвороби печінки (СХП)

Оцініть стан своїх пацієнтів у цілісному плані

Клініцистам доступний цілий ряд неінвазивних інструментів, які допомагають в оцінці та кількісній оцінці повного спектру захворювань печінки, надаючи зрозумілі клінічні звіти та рекомендації як у візуальному, так і в кількісному форматах.

 

Раннє виявлення

УЗД Aplio може забезпечити чудову якість зображення та контрастну роздільну здатність. Це дозволяє клініцистам покращити раннє виявлення морфологічних змін та патологій.

Неінвазивне стадіювання

Потужні інструменти скринінгу та аналізу УЗД  Aplio розроблені для ультразвукової візуалізації, оцінки та стадіювання захворювань у щоденній практиці.

Складні інтервенційні втручання

Спеціалізовані датчики, інструменти візуалізації та навігації системи Aplio допоможуть вам виконувати інтервенційні процедури та подальше спостереження ефективно та впевнено.

Пакет аналізів печінки

Ефективний скринінг та діагностика

Якомога раннє виявлення та характеристика дифузного захворювання печінки важливі для визначення прогнозу та, особливо у випадку ранніх, оборотних стадій, для ефективної, ретельно контрольованої терапії. Canon пропонує комплексний пакет послуг, який можна безпосередньо застосовувати у вашій клінічній практиці.

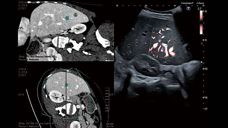
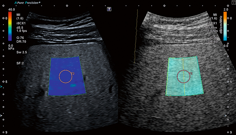
Візуалізація загасання (ATI) — це інноваційний інструмент, який може допомогти клініцистам в оцінці ступеня стеатозу. Рання характеристика наявного стеатозу є важливою як для надійного прогнозу, так і для ефективної терапії. ATI забезпечує кольорове кодування коефіцієнта загасання в тканинах печінки залежно від частоти.

Інноваційна візуалізація дисперсії зсувної хвилі (SWD), яка наразі проходить клінічну оцінку, дозволяє картувати поширення зсувної хвилі для ізольованої оцінки в'язкості паренхіми. Кольорове відображення може надати цінну додаткову інформацію, яка допоможе у подальшому веденні пацієнта.

Залежно від ступеня фіброзу, паренхіма печінки демонструє підвищену віскоelasticity (в’язкопружність). Клініцисти досліджують жорсткість печінки як один із показників для діагностики фіброзу або цирозу печінки. Жорсткість печінки можна виміряти за допомогою еластографії зсувної хвилі (SWE).

Комплексні інструменти кількісної оцінки

Розроблений робочий процес для впевненого прийняття рішень

Всього за кілька кліків комплексний пакет досліджень печінки від Canon дозволяє вам за лічені хвилини отримати повну інформацію про стан печінки, надаючи надійні результати вимірювань, які можуть допомогти поставити достовірний діагноз. Зведені в стислий звіт, показники можуть дозволити клініцистам швидко оцінювати стан пацієнта та приймати рішення щодо лікування, а також регулярно спостерігати за ним.

 

Швидші та надійніші результати

Хоча ми в Canon прагнемо забезпечувати високоякісні методи обробки зображень та кількісних вимірювань, для нас важливо, щоб результати були доступні швидко та легко. Саме тому ми співпрацюємо з нашими користувачами над розробкою інноваційних операційних концепцій та рішень для автоматизації робочих процесів, які дозволять вам досягати комплексних та стабільних результатів за менший час.

Розумні карти допомагають візуалізувати поширення зсувної хвилі в режимі реального часу. Унікальна карта поширення від Canon – це потужний та інтуїтивно зрозумілий інструмент для візуальної оцінки якості еластограми.

Унікальний режим чотирьохканального перегляду Canon дозволяє одночасно порівняти швидкість, еластичність, поширення та дисперсію зсувної хвилі для більш повної та надійної оцінки стану печінки.

ATI та SWE можна оцінювати одночасно за допомогою одного сканування. Завдяки цьому клініцисти можуть оцінити стеатоз печінки та фіброз ще швидше та ефективніше.

Багатопараметричний звіт підсумовує всі результати обстеження печінки, включаючи зовнішні вимірювання, такі як розмір печінки, або аналізи крові, такі як співвідношення АСТ/АЛТ. Кольорова гістограма або павутинна діаграма швидко та чітко інформує вас, ваших пацієнтів та лікарів, які їх направляють, про стан печінки.

Графік тренду ATI дозволяє користувачеві інтуїтивно переглядати та аналізувати результати вимірювань протягом терапії. Вибір попередньої точки даних на графіку тренду ATI автоматично запускає відображення графіка, на якому відображаються всі інші відповідні вимірювання, отримані за цей день.

Останні новини та події