Категорії новин:

КТ-дослідження трьох диких тюленів із симптомами захворювання

Тюлені — дикі тварини, тому їх рідко приносять до ветеринарів, коли вони хворі. Винятком є
заповідники, куди приймають хворих або молодих тюленів із недостатньою вагою, яких викинуло на мілину, і їм надають медичну допомогу. Прикладом цього є некомерційна організація A-Seal у
Стеллендамі. Організація рятує та реабілітує тварин, які застрягли на березі поблизу. Ці тюлені часто є дитинчатами, яких відокремили від матерів, але вони також можуть бути молодими або дорослими тваринами, які хворі або поранені. Якщо реабілітація та лікування проходять успішно, тюленів зрештою випускають назад у дику природу.

 

Під час огляду тюленя ветеринари стикаються з кількома проблемами, оскільки дикі тварини часто не хочуть співпрацювати. Інші практичні проблеми пов'язані з кремезною статурою і товстим шаром жиру, що ускладнює, наприклад, ручний огляд хребта, кінцівок або суглобів. Крім того, отоскопія (при підозрі на захворювання вуха) обмежена вузьким зовнішнім слуховим проходом.

 

Щоб подолати деякі з цих проблем, у цьому реабілітаційному центрі часто проводять рентгенографічні дослідження, головним чином для оцінки кісткових структур і легень. Однак у деяких пацієнтів КТ може бути швидким і неінвазивним способом отримання додаткової та більш детальної інформації.

 

Ця серія випадків ілюструє важливість використання детальних зображень КТ у дикій природі. Користувачі  демонструють, що ця методика підходить для оцінки анатомічних структур, які нечітко видно на звичайній рентгенографії.

 

Троє молодих тюленів з A-Seal були нещодавно врятовані на пляжі. Їх оглянув відповідальний ветеринар, доктор Махтельд Геут. Тюленям жартома дали імена, які відповідали їхнім клінічним скаргам:

- Вінсент, хронічні проблеми з вухами
- Касада, Травма голови
- Елвіс, Ненормальна хода та можливий тазовий біль

 

Більше клінічних подробиць наведено далі в статті. Клінічні результати трьох випадків були обговорені з доктором. Герт тер Хаар та доктором Сюзанна А.Е.Б. Боровка. Міждисциплінарна консультація дійшла висновку, що КТ-дослідження є необхідним для оптимальної візуалізації та оцінки представлених пацієнтів. Для всіх трьох випадків було вирішено виконати комп’ютерну томографію всього тіла, щоб отримати як клінічно значущу інформацію, так і якомога більше анатомічної інформації про цей вид, оскільки його дуже рідко досліджують на комп’ютерній томографії.

Анестезія
У цих диких тварин не можна було провести ретельне преанестезійне обстеження, тому попередні клінічні проблеми могли не бути виявлені. Специфічні проблеми можуть виникнути при анестезії у ластоногих через їх анатомо-фізіологічні адаптації, пов’язані з тривалим зануренням. Так звана «відповідь на занурення» викликає апное та глибоку брадикардію. Така ж реакція апное часто спостерігається в поєднанні з лікуванням або під час анестезії. Це може призвести до гіпоксемії та у важких випадках до зупинки серця1.

 

Використовувався протокол анестезії, підготовлений ветеринаром з морських ссавців Джеральдін Лакав.

 

Спочатку знеболили внутрішньом'язовою ін'єкцією (буторфанол). Після того, як пацієнти були достатньо знеболені індукційний препарат (пропофол) вводили через епідуральну вертебральну вену (вертебральний синус) у поперековий відділ спини. Ця жилка добре розвинена у всіх ластоногих. КТ-контрастну речовину також було введено таким чином в одну з тварин  (Вінсент). Після індукції  інтубували та підключали до петлевої дихальної системи з механічною вентиляцією, а анестезію підтримували ізофлураном у кисні.

 

Пацієнти під анестезією були доставлені в кімнату КТ і розміщені в стернальному положенні на столі апарату.

 

КТ дослідження
Проведено КТ всього тіла до та після контрастування. Усі сканування виконувалися одним і тим же мультиспіральним сканером (Aquilion CX 128). Обстежуваних розташовували в положенні лежачи на спині,  дослідження проводили в спіральному режимі  з товщиною зрізу 0,5 мм, детальним пітчем, часом обертання трубки 0,5 с, 120 кВп, змінною мА (75-250 мАс).). КТ-дослідження були доступні як для м’яких тканин, так і для кісткового фільтра. Йодовмісну контрастну речовину Xenetix 300 вводили через хребетний синус у дозі 2 мл/кг.

 

Вінсент
Вінсент звернувся з хронічними гнійними виділеннями з лівого вуха. Особливе значення у цього хворого мала оцінка зовнішнього слухового проходу, середнього та внутрішнього вуха.

 

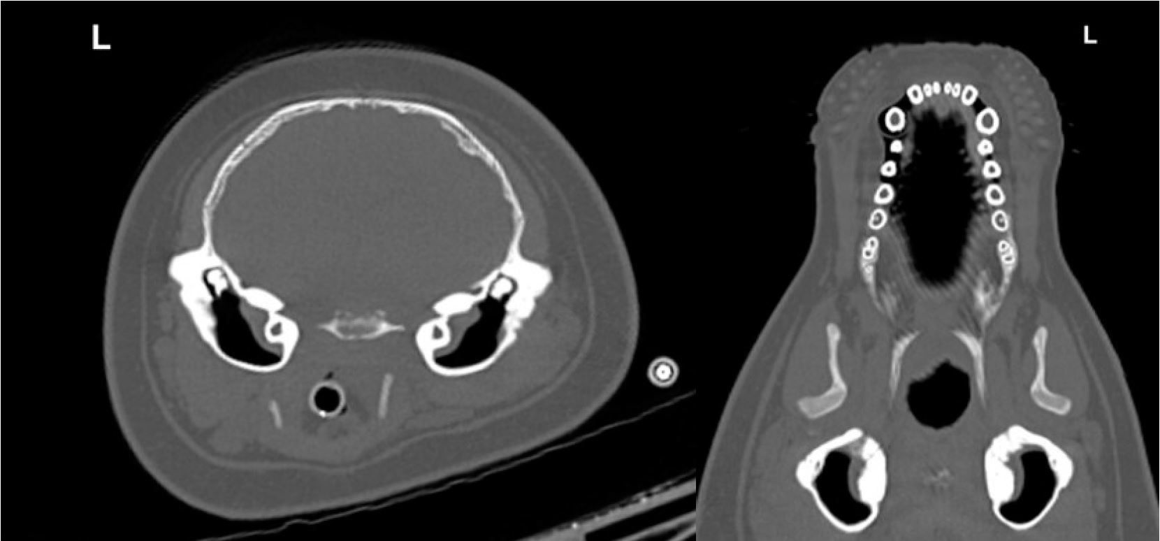
У тюленів немає зовнішньої вушної раковини, а є невеликий отвір, який закривається під водою. Існує прямий і дуже вузький горизонтальний слуховий прохід без вертикальної частини.

 

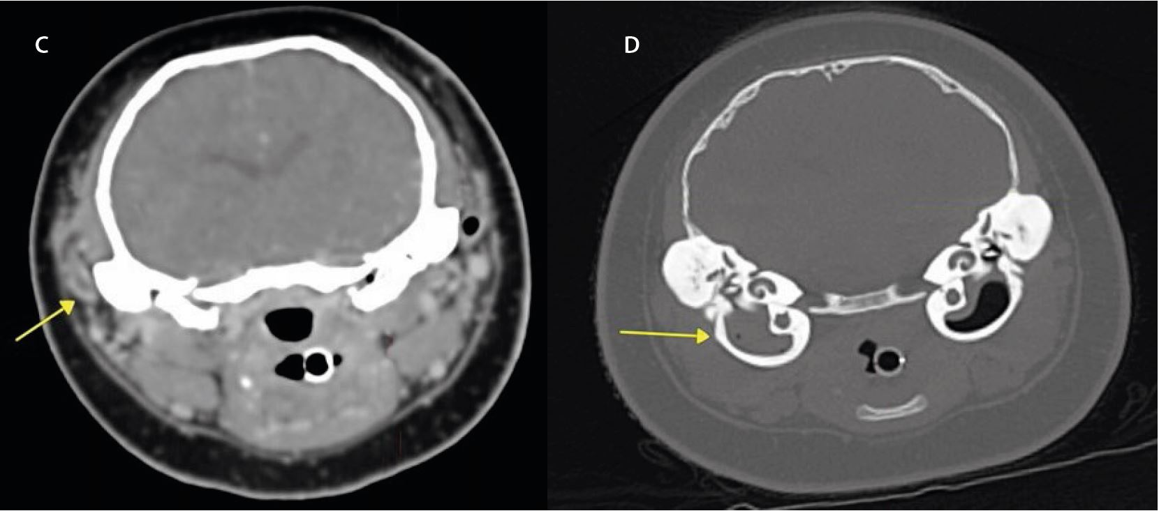
КТ показала чітку або повну оклюзію лівого зовнішнього слухового проходу внаслідок потовщення м’яких тканин (мал. 1). Крім того, ліва барабанна трубка була заповнена м’якою тканиною. Права була нормально заповнена повітрям.

 

Після введення контрасту спостерігається  забарвлення злегка потовщеної стінки лівого зовнішнього слухового проходу, але жоден вміст у порожнині не свідчить про рідину, сірку або слиз. Вміст лівої порожнини також не показав контрастного фарбування. Кам’яниста кістка, включаючи вушну раковину, не була нічим примітною.

 

На малюнках 1a і 1b показано слуховий прохід пацієнта в кістковому фільтрі (жовті стрілки).

На аксіальних зображеннях видно вузький слуховий прохід (а), виражене звуження лівого зовнішнього слухового проходу (б), набряк м’яких тканин лівого зовнішнього слухового проходу на постконтрастному скануванні та набряк м’яких тканин у лівій барабанній порожнині. Звужений зовнішній слуховий прохід з потовщеною і неправильною стінкою сумісний з інфекцією зовнішнього вуха. Ослаблення м’яких тканин лівої порожнини вказує на середній отит (запалення середнього вуха).

 

Цей стан може виникнути внаслідок хронічної інфекції зовнішнього вуха через дренаж ексудату та інфекційних організмів через розрив барабанної перетинки, але також можливе поширення інфекції в порожнину середнього вуха з неушкодженими барабанними перетинками.

 

У випадках важкої інфекції зовнішнього вуха та середовища, що не реагує на медикаментозне лікування, можна виконати тотальну абляцію слухового проходу з латеральною остеотомією булли (TECA-LBO). Ця техніка була описана досить часто у собак і кішок. Нещодавно група дослідників також застосувала цю методику до чотирьох атлантичних тюленів з хронічним середнім отитом2.

Малюнок 1c і 1d. На малюнку 1c показано заблокований слуховий прохід у фільтрі м’яких тканин, а на малюнку 1d показано заповнену рідиною порожнину в кістковому фільтрі. 

Вінсент кілька разів лікувався з приводу інфекції зовнішнього вуха системною терапією (спіраміцин і метронідазол, пізніше амоксицилін, клавуланова кислота і доксицилін) і місцевою терапією (Гідрокортизону ацепонат, міконазол і гентаміцин). Після міждисциплінарної консультації було вирішено, що Вінсенту потрібна операція для повного одужання. Його знову транспортували до SDU-Anicura і підготували до операції. Після розтину шкіри, підшкірного шару та підшкірної тканини зовнішній слуховий прохід розсікали від навколишніх м’яких тканин і видаляли. Булла була оголена, і хірургічним бором видалили частину бічної стінки. Видалені м'які тканини і потовщена слизова оболонка булли. Після цього підшкірний шар і краї шкіри зашивали швами.

 

Після операції та одужання Вінсента повернули до A-Seal, де його кілька днів тримали поза водою, перш ніж випустити в резервуар із солоною водою. На цьому етапі було відмічено незначне розкриття рани. Це поширене незначне ускладнення при хірургічних операціях (у всіх ущільненнях у вищевказаному дослідженні було розкриття рани) і, ймовірно, пов’язане зі слабкою васкуляризацією жирового шару, що подовжує загоєння ран3

 

Каскада
Каскаду було госпіталізовано з травмою голови, але без виділень з вух. КТ було використано для виключення середнього/ внутрішнього отиту. Поперечні та дорсальні КТ зображення показують нормальне ослаблення повітря в обох скроневих буллах (мал. 2). На основі КТ було виключено інфекцію середнього вуха. Також не було видимих   змін у тканині мозку.

 

Елвіс
Елвіс продемонстрував ненормальну ходу та, ймовірно, біль у тазі. При таких проблемах, як переломи хребта. Для виключення вивиху або перелому кісток таза виконано КТ (мал. 3). КТ не виявила ознак переломів і вивихів. 

 

Малюнок 2: Жодних аномалій не спостерігалося на обох реконструкціях кісткового фільтра

Малюнок 3: Не було виявлено аномалій у будь-якому напрямку у кістковій реконструкції.

ДОДАТКОВІ ЦІКАВІ РЕЗУЛЬТАТИ КТ

 

Легені
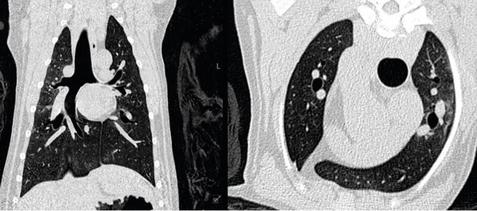
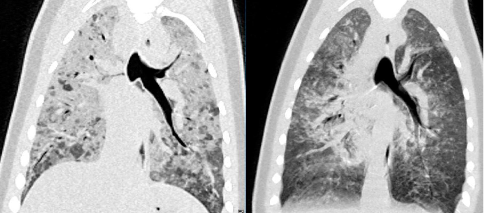
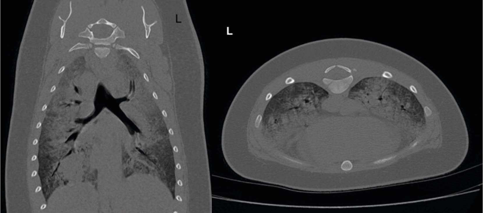
Цікавим виявленням було те, що всі КТ-сканування показали чіткі інтерстиціальні та альвеолярні зміни в легенях (мал. 4). Зверніть увагу на відмінності від сканування нормальних легенів собаки (мал. 5). Швидше за все зміни були викликані ателектазом внаслідок реакції апное, пов’язаної з анестезією. Тюлені були інтубовані та штучно вентильовані, але лише після того, як вони були достатньо анестезовані після внутрішньом’язової ін’єкції. Це могло спричинити пригнічення дихання і, отже, зміни в легенях. Ця гіпотеза підтверджується тим фактом, що зміни частково зникли на другому комп’ютерному скануванні Елвіса, яке було зроблено приблизно через 15 хвилин після першого сканування (мал. 6).

 

У ластоногих відносно часто зустрічаються бактеріальні та паразитарні респіраторні захворювання, які можуть викликати подібні зміни на КТ. Однак у Вінсента не було клінічних симптомів захворювання легенів. Крім того, через кілька днів після КТ було проведено рентгенологічне дослідження, інфільтратів не було виявлено.

 

Малюнок 4: Ф ронтальне MPR і аксіальне КТ-зображення у вікні кістки Вінсента показують дифузні інтерстиціальні та альвеолярні інфільтрати. Ці знахідки різною мірою були помічені в усіх трьох тюленях.

Малюнок 5: Фронтальні та аксіальні зображення здорової собаки демонструють нормальний вигляд легеневої паренхіми.

Малюнок 6: Фронтальні зображення грудної клітини Елвіса на одному рівні показують зменшення інтерстиціальних/альвеолярних змін між серіями сканування. Праве сканування було зроблено через 15 хвилин після лівого.

Печінковий синус та велика селезінка
На комп’ютерній томографії всіх пацієнтів у паренхімі печінки виявлено велику порожнину, яка вбирає рідину. Цей висновок узгоджується з тонкостінним печінковим синусом, структурою, утвореною розширенням печінкових вен, що впадають у задню порожнисту вену. Тюлені також показали велику селезінку порівняно з собаками. Поєднання великої порожнини печінки та великої селезінки також зустрічається в інших пірнаючих ссавців.

 

Дослідники виявили, що у морських слонів існує кореляція між гематокритом і розміром порожнини печінки та селезінки на МРТ4. Вони виявили, що під час занурення у тюленя збільшувався гематокрит, а об'єм селезінки зменшувався. Одночасно збільшувався об'єм печінкового синуса. Очевидно, селезінка скорочується під час занурення, щоб проштовхнути еритроцити в кровообіг, щоб збільшити кількість кисню в крові. Додаткові еритроцити також з’являються в печінковому синусі, звідки вони доступні для циркуляції.

 

Шийний венозний синус
Постконтрастне дослідження Вінсента показало ефектне венозне сплетення в шийному відділі (мал. 8). Ці судини вбудовані в коричневу жирову тканину5. Кровотік через сплетення посилюється під час пірнання. Його точна функція невідома, але було припущено, що сплетення допомагає знизити температуру тіла, можливо, уповільнюючи метаболізм і зберігаючи кисень6.

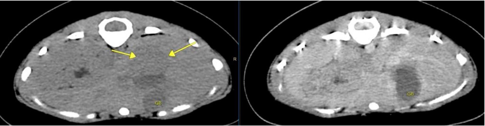
Малюнок 7: Аксіальні зображення живота Вінсента до і після контрастування показують велику заповнену рідиною порожнину в печінці, що відповідає печінковому синусу (GB — жовчний міхур).

Малюнок 8: Аксіальні зображення шиї Вінсента до і після контрастування показують венозне сплетення.

Малюнок 9: корональний вид показує чітке поглинання контрасту обома нирками. Характерною є багатолопатева структура, яка виглядає як «білі крапки».

Список літератури
1Huuskonen, V., Hughes, L. & Bennett, R. Anaesthesia of three young grey seals (Halichoerus grypus) for fracture repair ('Verdoving van drie jonge grijze zeehonden (Halichoerus grypus) voor het herstel van breuken'). Irish Vet J 64, 3–3 (2011).

2Ready, Z. C., Flower, J. E., Collins, J. E., Kochin, E. &  Williams, C. R. TOTAL EAR CANAL ABLATION AND LATERAL BULLA OSTEOTOMY (TECA-LBO) IN ATLANTIC HARBOR SEALS (PHOCA VITULINA CONCOLOR) FOR SUCCESSFUL SURGICAL MANAGEMENT OF OTITIS MEDIA ('TOTALE GEHOORGANGABLATIE EN LATERALE BULLA-OSTEOTOMIE (TECA-LBO) BIJ ATLANTISCHE ZEEHONDEN (PHOCA VITULINA CONCOLOR) VOOR EEN SUCCESVOLLE CHIRURGISCHE BEHANDELING VAN OTITIS MEDIA'). J Zoo Wildlife Med 52, 827–837 (2021).

3Higgins, J. L. & Hendrickson, D. A. SURGICAL PROCEDURES IN PINNIPED AND CETACEAN SPECIES ('CHIRURGISCHE PROCEDURES BIJ VINPOTIGEN EN WALVISACHTIGEN'). J Zoo Wildlife Med 44, 817–836 (2013).

4Thornton, S. J. c.s. Effects of forced diving on the spleen and hepatic sinus in northern elephant seal pups ('Effecten van gedwongen duiken op de milt en de hepatische sinus bij zeeolifantspups'). Proc National Acad Sci 98, 9413–9418 (2001).

5Blix, A. S., Grav, H. J. & Ronald, K. Brown Adipose Tissue and the Significance of the Venous Plexuses in Pinnipeds ('Vetweefsel en de betekenis van de veneuze plexi bij vinpotigen'). Acta Physiol Scand 94, 133–135 (1975).

6Blix, A. S. The venous system of seals, with new ideas on the significance of the extradural intravertebral vein ('Het veneuze systeem van zeehonden, met nieuwe ideeën over de betekenis van de extradurale intravertebrale ader'). J Exp Biol 214, 3507–3510 (2011).

 

Останні новини та події