Категорії новин:

Неінвазивна перфузійно-зважена візуалізація в клінічній рутині. Проведення безконтрасних досліджень

Анотація

 

Для завершення неврологічного обстеження важливо мати огляд як анатомічних зображень, так і судинного впливу на мозок, щоб надати нейрохірургу всю необхідну інформацію.

 

Інтеграція артеріального спінового маркування (ASL) у стандартний протокол виявляється придатною технікою для отримання кількісної інформації про перфузію з мозку без використання контрастної речовини. ASL є абсолютно неінвазивною та безконтрастною технікою, яка дозволяє використовувати ендогенний маркер, тобто магнітно-мічені протони артеріальної крові, для кількісної оцінки кровотоку. Цю методику можна використовувати для пацієнтів з алергією на контрастні речовини або з обмеженою функцією нирок.

 

Також легко вести подальші спостереження, щоб побачити прогресування захворювання або ефективність лікування, оскільки послідовність ASL можна повторювати нескінченно.

 

Крім того, ця методика підходить для педіатричних пацієнтів через згаданий вище аргумент, що не потрібно вводити контрастну речовину. Техніка ASL використовується в поєднанні з усіма іншими послідовностями, які є в розпорядженні радіолога. Її цінність збільшує внесок кожної послідовності в повний огляд, який допомагає отримати найточніший діагноз.

 

Опис методики

 

Зображення з міткою потоку або зображення мітки отримують за допомогою радіочастотного імпульсу, який інвертує або збуджує протони крові, що надходять у мозок. Таким чином артеріальна кров стає магнітно поміченою і її можливо у подальшому відстежувати (рис. 1).

Рис. 1. Схема послідовності ASL, як описано в тексті: nss (невибірковий зріз), TEC (умова закінчення тегу), TI (час інверсії), ASLpreSAT (насиченість фону), control-IR (магнітне маркування контролю за межами голови).

Також робиться контрольне зображення, яке помічає область за межами зони сканування, після чого зображення з магнітною міткою віднімається від контрольного зображення. Таким чином усі умови сканування є рівними на контрольному зображенні, крім маркування.

 

Завдяки додаванню затримки між маркуванням і отриманням зображення, яке називається часом затримки інверсії (TI), мічена кров може протікати через капіляри, а її сигнал показує перфузовану ділянку. Однак сигнал ASL швидко затухає, і можна виміряти лише невелику кількість початкової інтенсивності сигналу. Тому відношення сигнал/шум за своєю суттю є низьким. Сигнал від міченої припливної крові становить лише 0,5%-1,5% повного сигналу тканини.

 

Віднімання мічених зображень із контрольних зображень усуває статичний сигнал тканини, а сигнал, що залишився, є відносною мірою перфузії, пропорційною церебральному кровотоку.

 

Кілька пар зображень із магнітною міткою та контрольне збираються та усереднюються для створення карт церебрального кровотоку. Для кількісного визначення церебрального кровотоку робиться еталонне зображення, щоб мати посилання на загальну кількість доступних протонів (PD посилання). Разом ці зображення використовуються для розрахунку перфузії, щоб досягти значень, які можна порівняти з методами візуалізації перфузії з використанням гадолінію. Різні моделі розрахунку можуть призвести до (невеликих) відмінностей в отриманих значеннях. Більш важливим є порівняння результатів з контр-латеральною тканиною або іншою здоровою тканиною.

 

Протокол

 

Загалом використовується однаковий протокол для всіх пацієнтів: 3D-FLAIR, 3D-T1-MPRAGE, Axial DTI з 12 напрямками, 3D-FSBB (Flow Sensitive Black Blood (T2*)), Coronal STIR, ASL і за запитом 3D-T1 постконтраст. Оскільки всі 3D-зображення проходять багатопланарну реконструкцію, ізотропна просторова роздільна здатність є кращою. Використання DTI замість DWI на рутинній основі дозволяє краще оцінити ADC і дозволяє реконструювати трактографію провідних шляхів мозку.

 

Результати

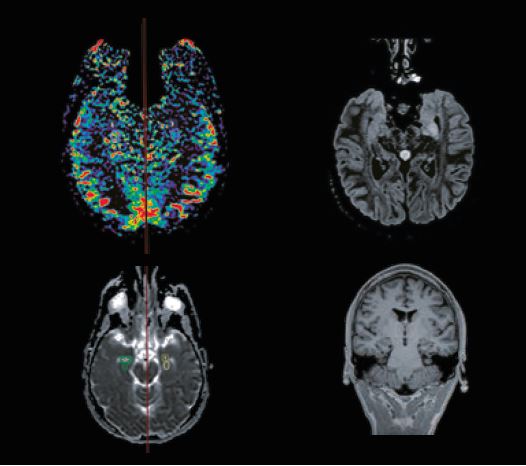
На рисунку 2 показано склероз лівого гіпокампу у пацієнта з лівосторонньою скроневою епілепсією.

 

Рис. 2 Склероз гіпокампу: зниження CBF (угорі ліворуч), гіперінтенсивне зображення склерозу на аксіальному FLAIR MPR (угорі праворуч), карта ADC (внизу ліворуч) і корональний MPRAGE MPR.

Зображення FLAIR показують гіперінтенсивний сигнал у лівому гіпокампі, а MPRAGE використовується для класифікації склерозу. ROI встановлюються як на нормальній зоні, так і на склерозі карт ADC і церебрального кровотоку. ASL показує ліву скроневу гіпоперфузію.

 

У таблиці на рисунку 3 показано значення церебрального кровотоку як для нормальної зони, так і для склерозу: виявлено зниження на 25% церебрального кровотоку для склерозу, що можна пояснити низькою васкуляризацією цієї області.

Рис. 3. Показано оптичні тракти, накладені на аксіальний MPR FLAIR. У таблиці наведені абсолютні значення церебрального кровотоку (CBF) в нормі та в зоні склерозу.

Пацієнту було рекомендовано операцію та проведено трактографію для візуалізації оптичних волокон. Для нейрохірурга важливо знати точний маршрут цих трактів, щоб запобігти пошкодженню волокон.

 

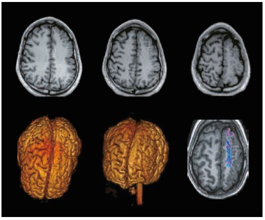
На рисунку 4 показана однобічна лівостороння лобова полімікрогірія у пацієнта чоловічої статі з епілепсією. Осьовий 3D MPRAGE MPR показує багато складок (звивин). Об’ємні зображення показують аномальні звивини.

Рис. 4. Показані невеликі складки на аксіальних зображеннях MPRAGE (угорі), зниклі звивини під час рендерингу об’єму (внизу ліворуч і посередині) та аномальні ділянки волокон білої речовини на DTI (унизу праворуч).

Полімікрогірія характеризується як аномальний розвиток головного мозку до народження, а розвиток дрібних і багатьох складок може бути причиною такого неврологічного розладу, як епілепсія.

 

ПЕТ-КТ – це одне з обстежень, яке можна виконати для виявлення аномалій перфузії, які можуть свідчити про метаболічні та функціональні аномалії. У цих випадках перфузія ASL є хорошою альтернативою, яка є неінвазивною, не вимагає опромінення та її легко запланувати за стандартним протоколом. На рисунку 4 показано на картах церебрального кровотоку дефекти перфузії на лівій лобовій стороні, які можна співвіднести з аномальними складками в цій області.

 

Рис. 5. Карти перфузії ASL з областями інтересу, розміщеними в патологічних і контрольних областях. У таблиці показано значення церебрального кровотоку (CBF), які відрізняються між лівим і правим зображенням.

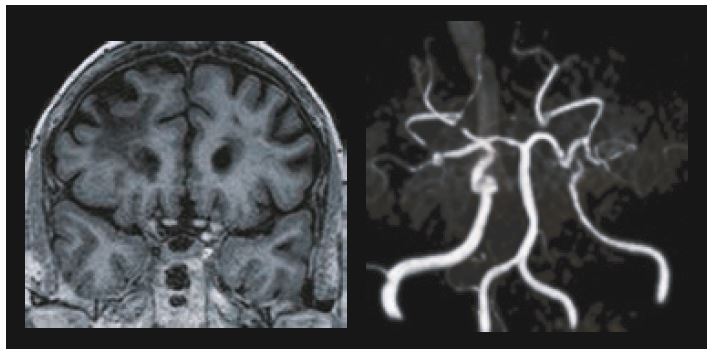
Прогресуюче звуження або повна обструкція мозкових артерій характеризує хворобу Мойя Мойя. Ці артерії відповідають за постачання мозку киснем і поживними речовинами. Для компенсації нестачі кисню розвивається багато вторинних капілярів. Це захворювання більш поширене в Японії, і його назва походить від зовнішнього вигляду цих капілярів, які виглядають як «клуб диму» («Мойя Мойя» японською). Також тут ASL може мати значну додаткову цінність у протоколі. На рисунку 6 показано пацієнта з хворобою Мойя Мойя, який переніс енцефало-дуро-артеріо-міо-синангіоз.

Рис. 6. Корональна MPR MPRAGE показує ішемічні ускладнення правої лобної частини.

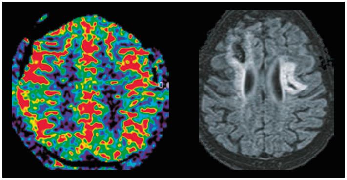
Рис. 7. Після операції ASL-послідовність показує нормальну перфузію мозку. Осьовий MPR Flair показує деякі інсультні порожнини з гліозом.

Останні новини та події