Категорії новин:

Побачити більше з SEMAR

SEMAR - технологія зниження артефактів від металу 

 

Клінічні виклики

Металеві імплантати викликають проблеми з якістю зображення під час КТ-досліджень через ефекти зміцнення пучка (beam hardening effect) та фотонного голодування, що призводить до артефактів. Ці артефакти не тільки перешкоджають оцінці металевих імплантів та навколишніх кісткових структур, але, що більш важливо, вони можуть заважати оцінці прилеглих м’яких тканин. Враховуючи старіння населення та прогрес у протезуванні суглобів, дедалі зростає кількість пацієнтів, які звертаються до відділення радіології з металевими імплантатами, протезами і рутинна оцінка грудної клітки та живота у цих пацієнтів часто є незадовільною.

 

Протягом багатьох років було розроблено низку методів для зниження або усунення артефактів, викликаних металевими імплантатами. Алгоритми корекції зміцнення пучка були певною мірою успішними і можуть бути застосовані в рутинних дослідженнях. Нещодавно сканування подвійною енергією та спеціалізована постобробка виявилися більш успішними у зменшенні артефактів металевих смуг, через можливість реконструювати монохроматичні зображення. Однак для використання цієї методики потрібна система КТ, що здатна проводити сканування подвійною енергією і рішення про використання цього методу має прийматися проспективно. Крім того, такі скани включають постобробку, яка потребує додаткового часу і тому небажана для рутинних обстежень.

 

SEMAR

Single Energy Metal Artifact Reduction (SEMAR) це інноваційний метод ітераційної реконструкції на основі необроблених даних, який можна застосувати до будь-якого звичайного спірального, аксіального або об’ємного сканування. Смуги артефактів від металевих протезів і зубних імплантатів усуваються, що призводить до отримання зображень без дефектів. SEMAR можна ввімкнути в протоколі сканування, тому реконструкція буде повністю автоматичною, не вимагаючи додаткового введення оператора. Алгоритм SEMAR є складним і містить кілька ітераційних процесів.

 

По суті, алгоритм реконструює вихідні необроблені дані за допомогою відфільтрованої зворотної проекції. Потім металеві компоненти ідентифікуються на зображенні та вилучаються. Ці вилучені дані прогнозуються проспективно щоб остаточно отримати виправлені необроблені дані без металевих компонентів. Кілька ітеративних і коригувальних процесів для забезпечення точності цього виправленого необробленого набору даних і для забезпечення високоякісних результатів.

 

Після цього кроку виправлені необроблені дані реконструюються з адаптивним ітеративним зменшенням дози 3D (AIDR 3D) для отримання набору даних зображення без металевих компонентів і пов’язаних з ними артефактів. Раніше вилучені металеві компоненти далі додаються для створення зображень SEMAR.

 

SEMAR забезпечує неперевершену візуалізацію структур м’яких тканин, що оточують металеві імплантати, дозволяючи провести повну діагностичну оцінку м’яких тканин, що раніше було неможливо. SEMAR також має важливе значення для оцінки цілісності металевих протезів, що підтримують кістку, і забезпечує чудову візуалізацію самих протезів.

 

З використанням SEMAR наявність металевого протеза більше не є перешкодою для успішного КТ-обстеження та встановлення остаточного діагнозу.

 

Алгоритм SEMAR

Усунення артефактів від зубних пломб

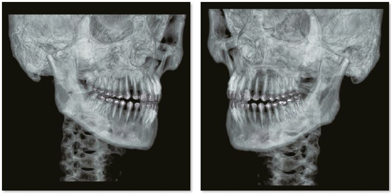
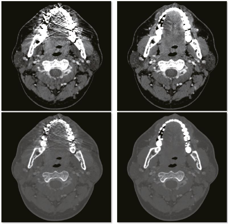
Артефакти з амальгамних пломб повністю усуваються за допомогою реконструкції SEMAR, що дозволяє точно оцінити прилеглі м’які тканини. На цьому постконтрастному скануванні кісток обличчя видно невелику пухлину, яка прилягає до нижньої щелепи.

3D зображення нижньої щелепи

Звичайне зображення

Зображення з SEMAR

Лікоть з внутрішньою фіксацією

Металеві артефакти більше не є перешкодою для точної післяопераційної оцінки переломів за допомогою пристроїв внутрішньої фіксації. Незрощення перелому проксимального відділу променевої кістки дуже детально показано на реконструкції SEMAR.

3D зображення ліктьового суглоба

Звичайне зображення

Зображення з SEMAR

Післяопераційний гомілковостопний суглоб

Зображення SEMAR чітко демонструють перелом малогомілкової кістки. Без SEMAR перелом прихований артефактами, які заважають діагностиці. Крім того, точні положення пристроїв внутрішньої фіксації можна чітко оцінити без артефактів на зображеннях SEMAR.

Звичайне зображення гомілковостопного суглобу

Зображення гомілкостопного суглобу з SEMAR

Звичайне зображення

Зображення з SEMAR

Заміна колінного суглоба

Для стабілізації заднього відділу хребта та збереження хребетного каналу використовується внутрішня фіксація. Зображення SEMAR забезпечують чудову деталізацію хребетного каналу без артефактів. Міжхребцеві дискові простори звужені та дегенеративні в цій частині поперекового відділу хребта

3D зображення коліна

Звичайне зображення

Зображення з SEMAR

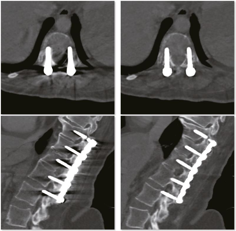
Фіксація поперекового відділу хребта

Для стабілізації заднього відділу хребта та збереження хребетного каналу використовується внутрішня фіксація. Зображення SEMAR забезпечують чудову деталізацію хребетного каналу без артефактів. Міжхребцеві дискові простори звужені та дегенеративні в цій частині поперекового відділу хребта.

3D зображення поперекового відділу хребта

Звичайне зображення

Зображення з SEMAR

Обстеження м'яких тканин тазу

SEMAR можна вільно застосовувати, проспективно чи ретроспективно, до отриманих необроблених даних під час сканування будь-якого обсягу. У цьому випадку SEMAR застосовували для зниження металевих артефактів і отримання чіткого огляду м’яких тканин малого тазу. Пухлина сечового міхура чітко видно на реконструйованих зображеннях SEMAR.

3D зображення тазу

Звичайне зображення

Зображення з SEMAR

Останні новини та події