Категорії новин:

SilverBeam: Створення нових можливостей у КТ скринінгу легень

Canon Medical представила SilverBeam, енергетичний фільтр, що формує рентгенівський промінь який забезпечує високоякісні КТ-зображення з низьким рівнем шуму, покращені штучним інтелектом (ШІ), оптимізовані для скринінгу легень. З огляду на високий попит КТ досліджень органів грудної клітини, а також зацікавленість багатьох країн у створенні національних програм скринінгу для раннього виявлення раку легень, новий фільтр вітається фахівцями в усьому світі.
Доктор Маркус Чен, директор кардіоторакальної візуалізації Національного інституту здоров’я
(НІЗ), Меріленд, США, брав участь у розробці SilverBeam. Він пояснив, що SilverBeam це «переломний момент» у протоколах ультранизькодозових досліджень легень.

 

Фільтр SilverBeam працює для видалення фотонів низької енергії зі спектру променя, які не впливають на якість зображення, але збільшують дозу та розсіювання. SilverBeam селективно оптимізує енергію променя.  

 

У поєднанні з технологією Advanced intelli-gent Clear IQ Engine (AiCE) від Canon Medical цей енергетичний фільтр, що формує промінь, може використовувати потужність ШІ для забезпечення високої роздільної здатності та низького рівня шуму для таких досліджень, як скринінг легень. «НІЗ працює з Canon Medical над технологією SilverBeam з жовтня 2021 року», — сказав доктор Чен. «SilverBeam — це фільтр, який застосовується до рентгенівського спектру для кращої візуалізації легень, але водночас для зменшення дози рентгенівського випромінювання та роботи в поєднанні зі штучним інтелектом. Отже, з SilverBeam ми можемо краще побачити паренхіму легень». 

 

«Зображення, які ми можемо отримати, є чіткішими, особливо в м’яких тканинах, оскільки SilverBeam зменшує шум. Тепер ми можемо бачити більш чіткі деталі, такі як матове помутніння, яке інакше може бути важко візуалізувати, і ми можемо точніше вимірювати розміри легеневих вузликів», – додав він. «Загалом, ми можемо значно зменшити дозу радіації, що покращує безпеку пацієнтів».

 

Інноваційна співпраця
НІЗ співпрацює з Canon Medical більше десяти років для вдосконалення технології КТ і якості зображень у багатьох дослідженнях.


«За останні дванадцять років у нас було п’ять різних комп’ютерних томографів Canon Medical», — зазначив доктор Чен. «У 2009 році ми інвестували в Aquilion ONE, оскільки вважали, що найкращий спосіб відобразити серце — це відобразити його за одне серцебиття за допомогою технології широкого детекторуAquilion. Це виявилося дуже вигідним. У 2015 році ми розмістили прототип КТ-системи надвисокої роздільної здатності з показником, що в чотири рази перевищує роздільну здатність звичайного КТ-сканера, і товщиною зрізу 0,25 мм. У 2020 році ми перейшли на Aquilion ONE / PRISM Edition, який має спектральне зображення».

 

Переломний момент
Розроблений для роботи в поєднанні з AiCE, SilverBeam забезпечує високоякісні КТ-зображення скринінгу раку легень із низьким рівнем шуму та покращеними штучним інтелектом при дозі опромінення на рівні рутинного рентгенівського дослідження грудної клітки.

 

«Загалом, я в захваті від фільтра SilverBeam», — сказав доктор Чен. «Це покращує якість зображення та зменшує кількість шумів зображення. Мене найбільше хвилює те, наскільки він здатний зменшити дозу опромінення, зберігаючи при цьому загальну якість зображення та діагностичну точність». 

 

Доза зменшується на достатній рівень, щоб спеціалісти могли заспокоїти пацієнтів, які можуть не бажати проходити дослідження через занепокоєння щодо опромінення.

 

«У мене були пацієнти, які не бажали приходити на КТ грудної клітини через страх радіації», — сказав доктор Чен. «Однак тепер із фільтром SilverBeam цей бар’єр усунено. І тепер ми можемо запропонувати ультранизьку дозу КТ грудної клітки для скринінгу раку легень. Це переломний момент!»

 

«Тепер ми можемо запропонувати дослідження органів грудної клітки з ультранизькими дозами для скринінгу раку легень. Це переломний момент!»

 

Доктор Маркус Чен, директор кардіоторакальної візуалізації Національного інституту здоров’я (НІЗ), Меріленд, США.

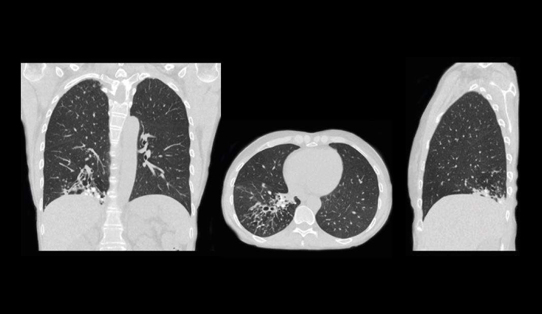
КТ легень, отримана за допомогою техніки SilverBeam, CTDIvol 0,4 / DLP 18,7.

КТ легень, отримана за допомогою техніки SilverBeam, CTDIvol 0,6 / DLP 24,5.

Наскільки важливим є скринінг раку легень?
У 2020 році рак легень став причиною смерті приблизно 1,8 мільйона людей1. Дослідження показали, що скринінг із застосуванням низьких доз КТ для осіб із високим ризиком може допомогти діагностувати рак на ранній стадії, коли успішне лікування більш імовірне.

 

Коротка історія скринінгу раку легень
Скринінг людей без симптомів на ранні ознаки раку легень розпочався в 1950-х роках з рентгеніографії грудної клітки для виявлення ранніх пухлин легень у груп чоловіків, але через невтішні результати скринінг раку легень був відсунутий на другий план.

 

У 1977 році було опубліковано перші дослідження КТ для виявлення раку легень2. Обчислювальна потужність у поєднанні з рентгенівськими променями означала, що легені можна побачити більш детально, ніж раніше, але кількість радіації, якій піддавалися пацієнти під час комп’ютерної томографії, була набагато вищою, ніж при традиційній рентгенографії органів грудної клітки.

 

У 1996 році дослідники показали, що нові КТ-сканери, які використовують меншу дозу радіації, краще виявляють аномалії.3

 

У 2002 році відбулося масштабне випробування - National Lung Screening Trial (NLST) - започатковано в США. У ньому взяли участь понад 50 000 людей з високим ризиком раку легень, які проходили щорічний скринінг протягом трьох років, використовуючи або рентген грудної клітки, або КТ з низькою дозою радіації. Результати показали приблизно на 20% зниження кількості смертей від раку легень у групі, яку спостерігали за допомогою комп’ютерної томографії з низькою дозою порівняно з рентгенографією. Результати були опубліковані у 2011 році4, і вдалося уникнути однієї смерті від раку легень на кожні 330 осіб, які проходили обстеження за допомогою низькодозової КТ порівняно з рентгенографією.

 

Зараз різні країни розглядають можливість запровадити певну форму національного скринінгу на рак легень у пацієнтів із групи високого ризику.

 

Список літератури

 

1 Insert reference from presentation.
2  https://pubmed.ncbi.nlm.nih.gov/865129/

3  https://pubmed.ncbi.nlm.nih.gov/8939234/

4  https://pubmed.ncbi.nlm.nih.gov/21714641/

Останні новини та події