Категорії новин:

Зустрічайте Aquilion Serve SP від Canon

Новий КТ Aquilion Serve SP від Canon Medical Systems був представлений на RSNA (Радіологічне товариство Північної Америки) у 2023 році. Aquilion Serve SP забезпечує швидшу пропускну здатність із додатковою увагою на пацієнта, узгоджені результати візуалізації з меншим навчанням і кращу якість зображення з меншою дозою опромінення.

 

Новий КТ був розроблений, щоб полегшити зростаючий тиск на медичних працівників через постійне збільшення робочого навантаження, потреби у зображенні, які стали значно вимогливіші, нестачу персоналу, фінансові обмеження та зростаючу потребу в стійкості обладнання.

 

Потужний робочий кінь
Нова система КТ оснащена INSTINX, цілісним рішенням Canon Medical для робочого процесу, яке створює нові стандарти ефективності та узгодженості і було спеціально розроблено для вдосконалення кожного аспекту ланцюжка візуалізації. Завдяки легким у навчанні операціям Aquilion Serve SP скорочує час навчання персоналу.

 

Крім того, скорочення кроків робочого процесу в системі на 40% економить час, зменшує тиск на перевантажений персонал і розширює можливості обслуговування більшої кількості пацієнтів, зберігаючи при цьому оптимальну точність. INSTINX забезпечує 24% скорочення часу для виконання планування сканування та 97% точність налаштування діапазону сканування, включаючи поле зору.


Крім того, простота використання INSTINX забезпечує більшу узгодженість сканування, коли використовується кількома технологами, і дозволяє більш гнучкий розподіл персоналу. «Поєднуючи потужність технологій Canon Medical із підтримкою штучного інтелекту та повністю перероблений робочий процес, який робить сканування легшим, ніж будь-коли, Aquilion Serve SP розроблено для задоволення всіх клінічних потреб із чудовою продуктивністю», — сказав Рой Верлан, європейський директор КТ Canon Medical System.


«Використовуючи новітні технології та програми для підвищення якості зображення та підтримки швидкості та точності діагностики, він задовольняє всі клінічні потреби. Aquilion Serve SP — це КТ, який може зробити все, від рутинних до спеціалізованих потреб у клінічній практиці».

 

Скринінг легень
Рак легень є однією з головних причин смертності від онкології у всьому світі. Його раннє виявлення за допомогою КТ з низькою дозою дає змогу призначити раннє лікування та кращий прогноз. Однак найбільше занепокоєння при скринінгу легень за допомогою КТ викликає доза, а по- друге, як організації охорони здоров’я можуть інтегрувати додаткову
пропускну здатність великої кількості кандидатів на скринінг. Окрім забезпечення високої пропускної здатності, Aquilion Serve SP має функцію SilverBeam, яка змінює правила гри у візуалізації легень на низьких дозах. 

 

Фільтр SilverBeam від Canon Medical у поєднанні з INSTINX і реконструкція із штучним інтелектом для КТ забезпечує зниження дози опромінення, збільшення пропускної здатності пацієнтів, покращену якість дослідження з мінімальним шумом зображення, зберігаючи загальну якість та точність діагностики.


Очевидна додаткова цінність
Завдяки потужній продуктивності та оновленому робочому процесу Aquilion Serve SP швидко демонструє свою цінність для клінічних команд, які прагнуть скоротити час сканування, спростити навчання та мінімізувати витрати на електроенергію та вимоги до інфраструктури.

 

Основні характеристики Aquilion Serve SP:

  • робочий процес INSTINX
  • апертура гентрі 80 см
  • 7.5 МТО рентгенівська трубка, 72 кВ генератор
  • 0.35 сек ротація, що ідеально підходить для кардіології
  • Дві вбудовані оптичні камери Canon
  • Сенсорні панелі гентрі – позиціонування однією кнопкою
  • Боковий зсув столу (± 85 мм)
  • 3D Landmark Scan з виявленням анатомічних орієнтирів для автоматизованого тпланування сканування
  • Фільтр SilverBeam для низьких доз сканування
  • Реконструкція із штучним інтелектом AiCE
  • Сканування подвійною енергією
  • Технологія Precise IQ Engine (PIQE) з матрицею 512 х 1024
  • Автоматичне підвішування макетів для перегляду зображень

Зображення MPR та Global Illumination з остеосинтезом кісток передпліччя

Множинні метастази чітко видно на MPR-реконструкціях кісток і Global Illumination Rendering.

«Це хвилюючий час для Canon», — каже Рой Верлан. «З запуском Aquilion ONE / INSIGHT Edition і Aquilion Serve SP ми спрощуємо та оптимізуємо робочі процеси КТ, роблячи сканування більш ефективним для пацієнтів та операторів. Крім того, ми ще раз підтверджуємо нашу філософію «Made for Life», представляючи реконструкцію глибокого навчання в усьому нашому портфоліо КТ для підтримки швидкої та високоякісної візуалізації при низькій дозі для всіх пацієнтів».

«Від рутинних до спеціалізованих візуалізаційних потреб, комп'ютерний томограф
Aquilion Serve SP може зробити все».

Рой Верлан, Європейський директор КТ, Canon Medical Systems Europe.

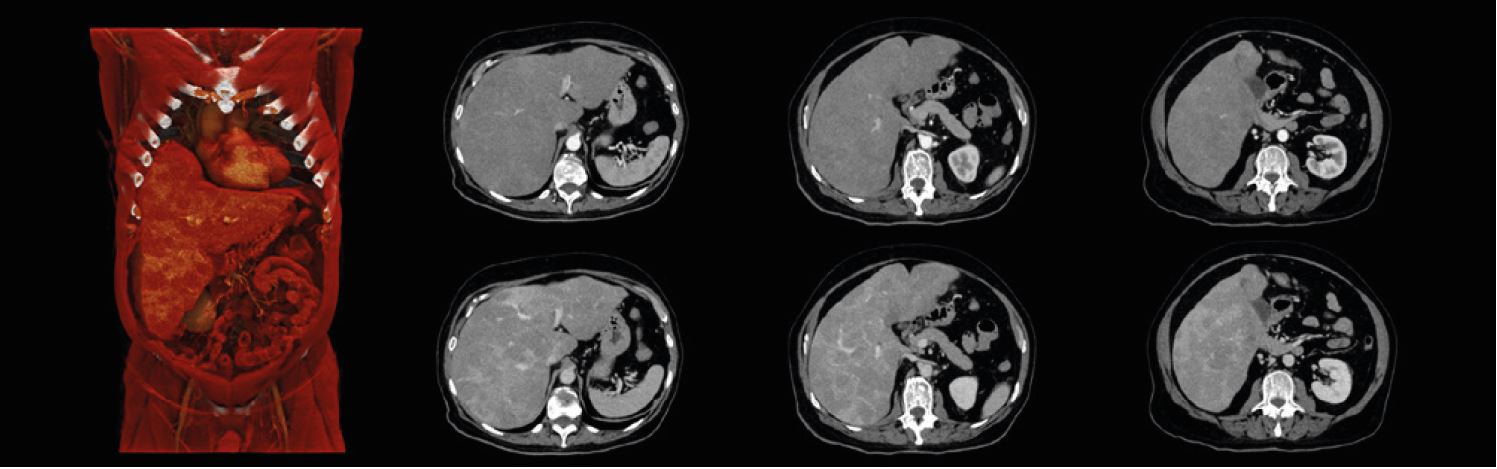
Артеріальне та венозне обстеження грудної клітки/черевної порожнини/таза показує збільшення печінки з численними ураженнями.

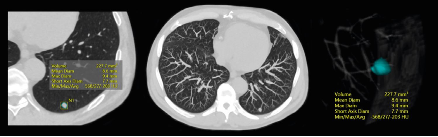
Одиночний легеневий вузлик із вимірюванням об’єму.

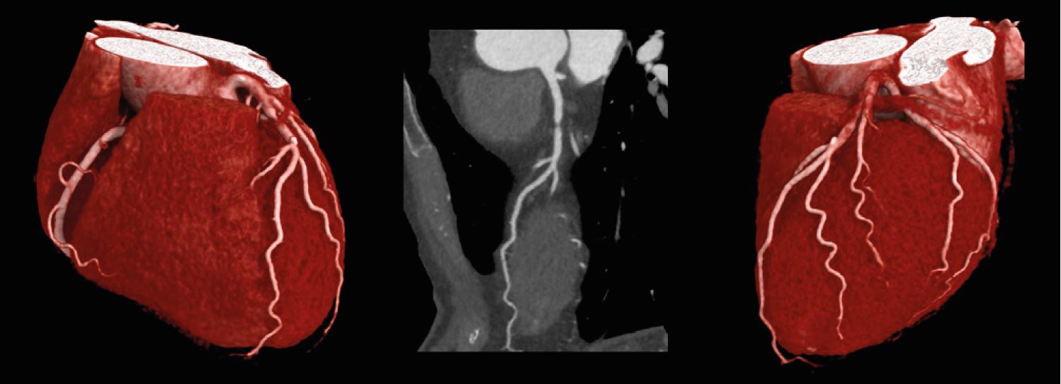
КT ангіографія серця зі стенозом проксимального відділу LAD.

Останні новини та події