Категорії новин:

Розширення діагностичних можливостей у ветеринарній медицині (частина 1)

КТ має важливе значення для діагностики багатьох ветеринарних захворювань. Системи КТ Aquilion від Canon Medical забезпечують найкращу якість зображень у ветеринарії. Використовуючи інноваційні методи візуалізації, новітні алгоритми реконструкції та чудову апаратну конструкцію, ці КТ-системи забезпечують виняткову чіткість і дозволяють ставити більш впевнені діагнози. Існує три різні моделі Aquilion, розроблені для забезпечення функціональності для потреб різних видів ветеринарної практики.

«Наша лікарня обрала Aquilion Start, оскільки він особливо ефективний у
неврології, ортопедії та внутрішніх хворобах».


Доктор Луїс Лобо
Директор Ветеринарної лікарні Порту (HVP)

Універсальність для різноманітності у ветеринарній практиці
 

КТ часто потрібна у ветеринарній практиці для діагностики і все частіше для лікування на основі зображень широкого спектру захворювань, часто у різних видів тварин, які відрізняються за розміром, фізіологією і поведінкою, і які потребують ветеринарної допомоги в широкому діапазоні обставин, від рутинних клінічних потреб до травматичних ситуацій.

 

Крім того, ветеринарна медицина розвивається так само швидко, як і медицина людини, завдяки новим відкриттям, методам та інструментам. Багато ветеринарних практик відіграють важливу роль у наукових дослідженнях, проводячи власні клінічні дослідження. Компанія Canon Medical розуміє багато специфічних практичних вимог, які пред'являються до КТ у ветеринарній практиці - при роботі з ветеринарними пацієнтами з різними розмірами і масою тіла, підвищеним серцевим викидом, наприклад, дрібними породами, занепокоєнням тварин і необхідністю мінімізації анестезії там, де це можливо.
 

Системи КТ Aquilion поєднують в собі передові технології та універсальність, що забезпечує оптимальний результат для оператора, спеціаліста та пацієнта.


Легкий доступ
Апертура гентрі Aquilion з діаметром отвору 78 см забезпечує унікальний доступ до сканування для широкого спектру тварин. Вона також є менш дискомфортною для тривожних тварин. Наявний простір для пристроїв, що обмежують рух, зменшує потребу в анестезії і значно полегшує процедури, керовані зображенням, такі як біопсія, зі значно швидшим часом відновлення, ніж при більш інвазивній хірургії.
Сканування в оптимальному напрямку можливе завдяки використанню кута нахилу гентрі +/- 30 градусів, що дозволяє побачити анатомію, яка в іншому випадку була б прихована ортогональними проекціями через кінцівки.


Процедури під контролем зображення можна планувати та виконувати за допомогою нашої унікальної опції флюороскопії КТ.

 

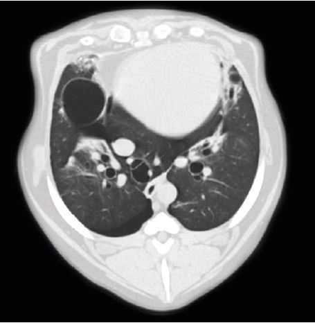
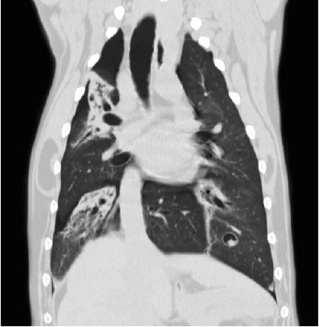
Діафрагмальна грижа

Дихальні шляхи

КТ-ангіографія

Кістки та м'які тканини

Швидко отримуйте високоякісні зображення
Чіткі, різкі зображення з високою роздільною здатністю необхідні для встановлення найточнішого діагнозу. А швидке отримання та інтерпретація оптимізує робочий процес і має важливе значення в екстрених ситуаціях. Ви можете досягти високої якості зображення швидше за допомогою багаторядного детектора PUREVision від Aquilion, який має на 40% більшу світловіддачу порівняно з іншими системами. Це єдиний доступний багаторядний детектор з фактичною роздільною здатністю 0,5 мм. Справжня ізотропна роздільна здатність унікального детектора Aquilion PUREVision дозволяє проводити багатоплощинні реконструкції з найвищою просторовою роздільною здатністю у всіх площинах.

 

Чутлива технологія управління контрастом забезпечує стабільно високу якість результатів для діагностики різних судинних захворювань. Технологія SEMAR (Single Energy Metal Artifact Reduction) від Canon Medical мінімізує артефакти від металу та покращує візуалізацію імплантатів, опорної кістки та прилеглих м'яких тканин. Передові технології Canon Medical для комп'ютерного томографа Aquilion включають методи адаптивного ітеративного зменшення дози 3D (AIDR 3D) та вдосконалену інтелектуальну реконструкцію з глибоким навчання Clear-IQ Engine (AiCE) (DLR). Ця виняткова реконструкція на основі штучного інтелекту значно знижує рівень шуму і підвищує SNR (співвідношення сигналу до шуму).

 

«Aquilion Start, безумовно, добре підходить для ветеринарної практики, це
швидкий і дуже зручний у використанні сканер, який забезпечує відмінну якість зображення».


Пан Гільєрме Ассіс
Керуючий директор групи компаній Onevet.

Onevet Group
Onevet Group була заснована в січні 2012 року, має стратегію купівлі та будівництва в
португальській ветеринарній галузі, спрямовану на розвиток загальнонаціональної корпоративної
групи. В даний час володіє 19 підрозділами, 7 лікарнями та 12 клініками, з достатнім географічним
покриттям. Тим не менш, Група більше зосереджена на узбережжі, через високу концентрацію
міського населення в цих регіонах і низьку сезонність.


У цих регіонах та низькою сезонністю цих ринків. Onevet Group охоплює як ветеринарів загальної
практики, так і більш спеціалізованих лікарів, включаючи досвід у таких проривних галузях, як
кардіологія, онкологія, офтальмологія та дерматологія. Сьогодні Onevet Group налічує понад 200
співробітників і є найбільшою компанією з надання ветеринарних послуг у Португалії.

Встановлення нового стандарту у візуалізації
Global Illumination - це нова революційна технологія 3D/4D рендерингу, яка допомагає створити більш фотореалістичне зображення анатомії. Редагуйте, сегментуйте та фіксуйте фотореалістичні
зображення для покращення лікування пацієнтів та передопераційного планування.



До замовлення доступні відновлені КТ-системи за програмою Secondlife:

  • 044 338 00 95
  • secondlife@inmedua.com

 

Останні новини та події